안녕하세요
환자분들의 환한 미소를 되찾아드리고싶습니다!!
서울바르디치과 대표원장 장태현입니다!!
웃을때 말할때 가장 잘보이는 부분이
앞니이죠~
갑작스러운 사고로 혹은
잇몸이 안좋아 앞니가 빠졌을 때
임플란트로 치료하면 완성까지 최소 3개월 걸리는데요.
환자분들이 사회생활을 하셔야하다보니
스트레스를 받곤 하셨어요.
이런 환자분들의 고민
해결해드릴 수 있을 것 같습니다.
명일동 치과 심미적인 앞니는 하루만에 끝내는 빠른 임플란트로 하세요!!

아래 앞니 뺄래요

24.04.16
불편하다고
아래 앞니를 뽑으러 마음먹고 오셨습니다.
대부분의 환자분들은 최대한 내 치아를 쓰시고싶어하시는데
뽑아달라 말씀하실 정도이니
그동안 많이 불편하셨나봐요~!

24.04.16
눈으로 보았을 때 안좋은 치아가 딱! 보입니다.
티가 납니다!!
유독 한부분만 잇몸이 푹 꺼져있죠~?

24.04.16
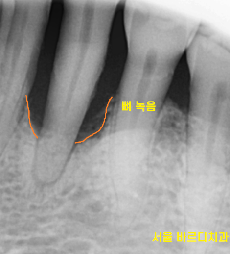
x-ray 상에서도 잇몸이 많이 녹아있네요ㅠㅠ
잇몸뼈가 많이 녹아
치아 뿌리만 겨우 붙잡고 있습니다.
붙잡고 있는게 얼마 없어
식사할때마다 흔들렸을꺼고
많이 불편하셨겠어요~
뽑고 나서 치료를 해야하는데..
앞니는 빠르게 머리를 끼워드리는게 포인트!!
명일동 임플란트 수술 방법 중
빠른 완성이 가능한 치료가 있어서
진단을 해보았습니다.
하루 임플란트
말 그대로 1일만에 끝내는 임플란트입니다.
다른말로 "빠른 임플란트"라고 불립니다.
발치와 동시에 임플란트를 수술하고
당일 보철을 만들어드리는 치료인데요.
완성 속도가 굉장히 빨라
환자분들이 만족해하십니다.

24.04.26
심미성이 요구되는 앞니 임플란트 수술을 할때
주로 이 방법을 사용하는데요.
모든분들이 할 수 있는 것은 아닙니다ㅠㅠ
명일동 치과에서 경우에 따라 진행됩니다.

24.04.26
왜 경우에 따라 명일동 빠른 임플란트가 가능하냐?
솔직하게 말씀드려서...
뼈가 약한데 빠른 임플란트를 할 수는 없습니다.
하루만에 보철을 만들어드려도
내 뼈와 임플란트가 충분히 붙지 않았을 때
식사를 하게 되면
당장은 문제가 없어도 곧... 탈이 나게 됩니다.
그럼 수술도 두번
환자분 고통도 두...번
안되는 것은 명확하게
어렵다고 말씀드리고 있습니다!!
3d ct를 통해 분석
뼈가 충분한 곳에 명일동 임플란트를 심고
기계를 통해 뼈랑 얼마나 잘 붙었는지
확인하였을때
▼명일동 치과 하루 임플란트 결과▼

80 이상 수치가 나오면
내 뼈와 잘 붙은겁니다.
환자분도 81/80
두곳에서 수치를 재어보았을 때
80이상이 나와서 뽄을 떴습니다.
(수술 당일 측정)
수술 당일은 아니고...
3일 뒤에요!!!

24.04.29
수술 그 자체만으로도 긴장을 하시기 때문에
당일에 진료를 너무 오래하는것보다
나누어 진료하는데요.
(1시간 이상 입 벌리기 생각보다 힘듭니다ㅠㅠ)
보통은 소독하러 오셨을 때
또는 실밥을 제거할 때 본을 뜨고 있습니다.

24.04.29
환자분도 3일 뒤 명일동 치과에 소독하러 오셨을 때
본 뜨는 것을 진행했습니다.
3일 뒤에 뽄을 뜨다니
정말 빠른 임플란트 맞죠~?

24.05.08
뽄을 뜨고 보철이 만들어오기까지
수술하고 정확히
13일 걸렸습니다!
환자분만 괜찮으시면...
수술하는날 뽄을 뜨고
더 빨리도 완성이 가능합니다!!
▼명일동 치과 위치 확인하기▼
디지털 분석으로 빠른 임플란트가 가능한
서울 바르디치과
상일동역 4번출구에서 1분 거리에 위치합니다.
| ▼진료시간 안내▼ |
|---|
| 월~금 |
| 토요일 |
| 점심시간 |
▼오늘 진료 다시보기▼
▼진료예약하러 가기▼
☎02-481-4278
하루 임플란트 수술법은 모든 환자분께 해당하는 것은 아닙니다
심미성이 요구되는 앞니 부분에
부분적으로 진행해드리는데
정확한 것은 병원에 방문하시면
명일동 임플란트 가능한지
제가 직접 말씀 드릴께요~!!
무엇이든 직접 보아야
정확한 법입니다.
대표원장 장태현이었습니다!
| 본 게시물은 의료광고법 제56조 1항을 준수하여의료 정보 제공 및 병원 홍보 목적으로서울바르디치과에서 직접 작성하였습니다.제공된 정보는 참고만 하실 것을 권유 드리며증상 파악 및 정확한 관리 방법은 의료기관에 내원 후 의료진을 통해 안내 받으시기 바랍니다.치과에서 진행되는 모든 시술/ 수술은 개인에 따라 (염증, 출혈, 부기 등) 가능성이 있습니다. 사전에 의료진과 충분한 상담을 통해 결정하시길 바랍니다. 게시물의 치료 사례는 실제 본원에서 치료를 마친 환자분들의 동의하에촬영되었으며 전, 후 사진은 동일 조건에서 촬영되었습니다. |
#명일동치과 #명일동임플란트 #하루임플란트 #빠른임플란트