안녕하세요!
바르고 정직한 진료를 시행하는
서울바르디치과 장태현 원장입니다.
임플란트의 장점은 개수대로 안심어도 된다는 것인데요.
오늘 소개해드릴 환자분도
치아가 상실하고
개수대로 안심은 환자분입니다.
오늘은 하남 미사 치과에서
둔촌동 치과 아래 앞니 임플란트 뼈가 없을 때 일체형으로!
어떻게 해결했을지
3분만 집중해주세요!!!

임플란트 하려고요

22.12.13
둔촌동 치과를 방문해주신 환자분입니다.
처음 내원하셨을 때
어금니, 앞니 여기저기 상실된 채로 내원하셨는데요.
환자분께 먼저 여쭤보았습니다.
오른쪽, 왼쪽
앞니 이곳 저곳 하실 곳이 많은데...
먼저 원하시는 곳이 있을까요~??

22.12.02
아래 앞니가 제일 불편하다고 하셨는데요.
뼈가 많이 녹으면서
위로 솟았습니다.
손으로 뽑아도 뽑힐정도였으니ㅠㅠ
아래 앞니 임플란트 치료를 1순위로 하기로 결정했습니다.

22.12.13
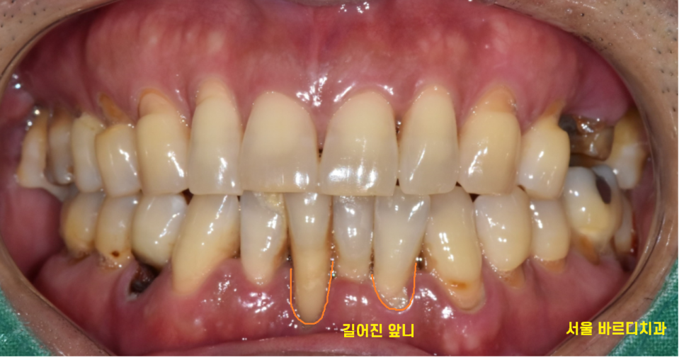
환자분께서는 거울을 보시면서
불편하기도 불편한데
앞니가 길어져서 보기 싫다고 하시더라고요~

문제는 치아 잇몸뼈가 너무 녹아서...
뼈가 없었습니다.
임플란트 중에서는 앞니가 어려운 이유는
1)잇몸뼈가 얇기도 하면서
2)심미적인것
두개 다 만족을 시켜야하기 때문에 어렵습니다.
하지만 제가 누구인가요!
해결사 장태현 아닙니까~
퇴근을 안하고 환자분들 케이스를 돌려보고
어떻게 해결할 수 있을까 고민하는 저 아닙니까
치료가 어렵다는 환자분들도
최신 의료 기술들을 활용하여
여럿 치료했습니다.
▼틀니 불가 환자분 치료 케이스▼
https://blog.naver.com/implant_master/223477459850
둔촌동 치과에서는 오스템, 포인트
2가지 종류의 임플란트를 사용하는데요.
그중 오스템 제품
"일체형 임플란트"를 사용해서
뼈가 없는 아래 앞니 임플란트 환자분도 해결했습니다.
일체형 임플란트?
임플란트와 기둥이 합쳐진 임플란트입니다.
이 일체형 임플란트를 활용한 이유는
기존 제품으로 대응이 어려웠기 때문이죠ㅠㅠ
뼈가 너무 없어서
좁은 뼈에도 시술 할 수 있기에
이 제품을 사용했습니다.

23.06.16
ct를 보시면 임플란트가 뼈 폭에
기가막히게 딱 ! 맞아 떨어집니다!
두개의 임플란트를 못심을정도로
뼈가 없었지만
일체형 임플란트를 통해
아래 앞니 임플란트 해결했습니다!!

23.06.16
기존 임플란트와 비교해보았을 때
차이가 나는게 딱 보이죠~!?
치료 완성본 나갑니다.
.
.
.
.
.
.
(두근두근)

24.02.19
둔촌동 치과에서 2개가 빠졌지만
1개의 임플란트로 2개 효과를 ㅎㅎ

24.02.19
그렇지만 엑스레이로 보면?
1개의 임플란트죠~?
뼈가 없어도 방법을
어떻게든 찾아드립니다!!!
▼둔촌동 치과 위치 확인▼
환자분의 요구도가 1순위 반영사항입니다.
치아 상실 개수대로 심는 것이 아닌
최소 개수 식립으로 꽉 찬 효과를 내는
서울바르디치과입니다.
오스템 임플란트 750,000원부터!
병원에 방문해주셔서 상담해주세요~!
| 상담 전화하러 가기 |
|---|
| 02-481-4278 |
▼둔촌동 치과 케이스 영상으로 요약▼
오늘은 아래 앞니 임플란트
환자분의 케이스를 소개해 드렸습니다.
-
환자분의 요구도 1순위
-
어렵고 힘든 케이스도 어떻게든 해결
2가지로 오늘 글 요약하며 마치겠습니다.
대표원장 장태현이었습니다!!
| 본 게시물은 의료광고 법 제56조 1항을 준수하여의료 정보 제공 및 병원 홍보 목적으로 서울 바르디 치과에서 직접 작성하였습니다.제공된 정보는 참고만 하실 것을 권유 드리며 증상 파악 및 정확한 관리 방법은 의료기관에 내원 후 의료진을 통해 안내받으시길 바랍니다.치과에서 진행되는 모든 시술 / 수술은 개인에 따라 (염증, 출혈, 부기 등) 가능성이 있습니다.사전에 의료진과 충분한 상담을 통해 결정하시길 바랍니다.게시물의 치료 사례는 실제 본원에서 치료를 마친 환자분들의 동의하에촬영되었으며 전, 후 사진은 동일 조건에서 촬영되었습니다. |
#둔촌동치과 #아래앞니임플란트 #일체형임플란트