안녕하세요!
바르고 정직한 진료를 시행하는
서울바르디치과 장태현 원장입니다.
지난 시간 임플란트 1개 가격에 대한 글
작성해드렸는데요.
▼안보신 분 읽고 오세요▼
https://blog.naver.com/implant_master/223502672407
오늘은 고령에 전신질환
임플란트 수술을 한번도 안해본 환자분을 치료한 이야기입니다.
고덕동 치과 임플란트 거부감이 있었지만 네비게이션 수술법으로 해결했습니다.
어떻게 설득했는지 끝까지 읽어주세요!!!

23년 27일 환자분을 처음 만나게 되었습니다.
처음 고덕동 치과 방문하셨을 때
스켈링 해달라고 하셔서 진행해드렸습니다.

23.06.27
엑스레이상 치석도 보이고..
잇몸뼈도 많이 내려가
풍치가 진행된 상태였는데요.
잇몸치료는 필수로 진행하시고...
뼈가 많이 녹은 왼쪽 위에는
뽑아야할꺼같다고 조심스레 말씀드렸습니다.

겉으로는 멀쩡해 보이는데
속은 다.. 녹아서
흔들리고 있었거든요.
나이도 있고...
임플란트는 안하는 쪽으로 할래요
환자분은 나이가 많아서 그렇다고
수술은 부담스럽다고 하셨습니다.
동맥경화로 인해 스텐트를 하셨다고
임플란트를 원하지 않으셨는데요.
더 써보시고 싶다고 하셔서
다음번 관리 약속을 잡아드리고 보내드렸습니다.
그리고 3개월 뒤..

23.10.10
오래전에 한 보철이 벗겨져서
고덕동 치과 내원하셨습니다.
안쪽이 충치로 다 부서지고 깨져서
뽑을 수 밖에 없었는데요.
뽑는 김에 뒤에 흔들리는 치아도 같이 뽑고
고덕동 임플란트를 해야하는 상황
어금니 2개나 뽑았으니 치료가 필요했습니다.
환자분을 설득하기 위해
고덕동 임플란트 수술과정을 보여드리고
네비게이션 임플란트를 추천해드렸습니다.
가족분들과 상의하고 오신다고 하시더니
고덕동 임플란트
진행하시고 싶다 말씀해주셨습니다.
딸이 검색도 해봤는데
네비게이션 그게 안전하다면서요.
어차피 해야하는거면 안전한게 낫죠
디지털 진료를 시행하는 서울 바르디치과!!
▼네비게이션 임플란트 수술이란..?▼
하남시청치과 내비게이션 임플란트 뭐가 좋아요?? : 네이버 블로그 (naver.com)
환자분은 고령에 전신질환을 가지고 계셨고
임플란트 수술도 처음이라
고민을 많이 하셨는데요.
네비게이션 임플란트는
오차 없는 수술이 필요할 때 추천드리고 있습니다.
고덕동 임플란트 수술을 준비하기위해
약 드시고 있는게 있어서
환자분이 다니고 계신 병원에 협진을 진행하였습니다.
▼협진 내용 일부▼

간혹 환자분 중에서 약 5일정도 끊으면 된다
내시경 할 때도 그렇게 했다
말씀하시는 분들이 계신대요.
나이가 있으시다보면 몸 상태가 확확 바뀌기 때문에
고덕동 치과에서는 안전하게! 진행하는 것이 최우선입니다.
작은 것도 놓치지 않습니다.
협진을 통해 NSAID 계열 약물을 쓰지말라고
소중한 정보를 얻었습니다~
(메모 메모)
자 이제 고덕동 임플란트 수술을 위해
제가 준비하는 부분!!
퇴근을 안하고
환자분 자료를 통해 분석을 합니다.

23.10.30
3D-CT를 통해 해부학적 구조물과 뼈를 파악하고
환자분의 구강 상태를 분석하는데
.
.
.
.

어떤 위치에 고덕동 임플란트를 심으면 좋을지
시뮬레이션을 돌려보고 또 돌려봅니다.
1-2년 쓰실것이 아니기 때문에
최적의 위치를 생각하는거죠~
임플란트 사이즈와 길이도
미리 정해두고요!
찍어놓은 구강 내 사진도 보고
X-RAY도 돌려보고 하면서
보고 또 봅니다.
(그래서 저희 병원이 다른 치과에 비해 사진을 많이 찍습니다. )
분석하기 위해서죠..!
단 1개의 임플란트도요.
제 성격이 INTP이라
완벽을 추구하다보니
간단한 임플란트도
쉽게 생각하지 않거든요~
그리고 나서 모델을 만듭니다.

제 방에 작업 기계가 있어서
직접 만듭니다.

중간에 뻥 뚫린 구멍은
원하는 위치에 정확히 심기 위해 가이드 해주는 구멍입니다.
단단한 뼈에 구멍을 뚫어
고덕동 임플란트 수술을 하다보니
조금만 삐끗해도 잘못된 각도로 심어질 수 있습니다.
실수없이 원하는 각도에 심기위한
보조 장치다 생각하시면됩니다.
네비게이션 임플란트 기술을 이용하여
최적의 위치를 파악했으니
그대로 심어야겠죠??

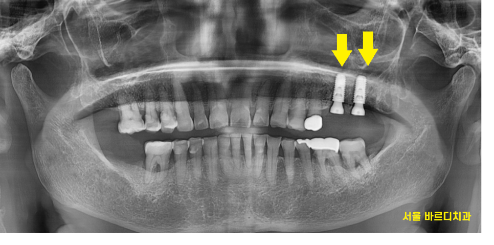
23.10.30
고덕동 치과 수술 결과입니다.
아주 예쁘게 심어졌습니다.ㅎㅎ
환자분도 고령에 약 드시는것도 있고 하셔서
수술에 대한 부담감을 가지고 계셨습니다.
제가 환자분 구강 상태를 분석하고
수술 예측한 것을 보여드리니까
안심하고 수술받으셨던 기억이 납니다.

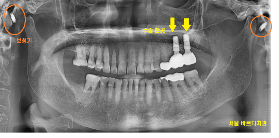
24.04.16
보청기를 끼셔서 소통이 어려운 부분도 없지 않았지만
글로 쓰고
사진으로 과정 보여드리면서 노력했던 환자분
마무리까지 완성 되었습니다!
▼고덕동 치과 위치 확인▼
디지털 장비를 사용한 꼼꼼한 분석으로
당일 임플란트가 가능한 서울 바르디 치과!
환자 1분당 진단 시간이 30분은 소요 되기때문에
예약 후 방문해주시면 감사하겠습니다.
| 예약 전화하러 가기 |
|---|
| 02-481-4278 |
▼영상으로 요약▼
오늘은 수술에 대한 거부감이 있던 환자분
네비게이션 임플란트로 수술한 케이스를 소개해드렸습니다.
앞으로도 시간이 걸리더라도
뭐 하나 대충 진료하지 않겠습니다~!!
대표원장 장태현이었습니다!!
| 본 게시물은 의료광고 법 제56조 1항을 준수하여의료 정보 제공 및 병원 홍보 목적으로 서울 바르디 치과에서 직접 작성하였습니다.제공된 정보는 참고만 하실 것을 권유 드리며 증상 파악 및 정확한 관리 방법은 의료기관에 내원 후 의료진을 통해 안내받으시길 바랍니다.치과에서 진행되는 모든 시술 / 수술은 개인에 따라 (염증, 출혈, 부기 등) 가능성이 있습니다.사전에 의료진과 충분한 상담을 통해 결정하시길 바랍니다.게시물의 치료 사례는 실제 본원에서 치료를 마친 환자분들의 동의하에촬영되었으며 전, 후 사진은 동일 조건에서 촬영되었습니다. |
#고덕동치과 #고덕동임플란트