안녕하세요!
환자분들의 문제점을 해결해드리는
서울바르디치과 장태현 원장입니다.
오늘은 임플란트 수술을 하고 병원이 폐업해
치료가 중단된 환자분을 치료해드린 이야기입니다.
상실감이 너무 커서
치과는 사기꾼이라 생각이 드셨답니다.
이어서 치료를 해야하는데
받아주는 곳은 없고
고민 끝에 방문해주신 환자분의 이야기입니다.
상일동역 근처 치과 타원 임플란트 제거 후 재식립 케이스
3분만 집중해서 읽어주세요!

이빨 한 10개 해야해요
처음 상일동역 근처 치과 방문하셨을 때
환자분 스스로도 치아 할 곳이 많다 하셨습니다.
구강 상태를 보실까요~?

23.12.16
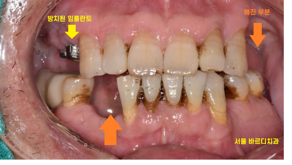
병원을 처음 방문하셨을때부터
이미 심어둔 임플란트가 있었습니다.
환자분께서는 머리도 못올려보고
병원이 없어져서 몇년동안 치아를 방치해두셨다고 하셨습니다.

23.12.16
치아가 빠진 부분도 많고
치석도 많은 상태입니다.

23.12.16
흠...
애연가이시다보니
치아에 착색도 많이 되었습니다.
임플란트 수술과 담배는 천적인데요
치아 해야할 부분은 많고
흡연 , 고혈압 , 당뇨
전신질환을 함께 가지고 계시다보니
수술 후 치유가 잘 될까
걱정이 되었습니다.
그래도 식사가 안되시는 상황이고
고민끝에
상일동 근처 치과를 방문하셨으니 해결해드려야겠죠~?
전신질환 문제는 협진을 통해 조절을 하기로 하고
ct를 분석하였습니다.

23.02.20
문제가 된 예전에 치료받은 임플란트를 먼저 제거하고
네비게이션 임플란트 수술 방법으로
치료 하기로 계획
▼수술 방법 보러가기▼
https://blog.naver.com/implant_master/223503703440

23.02.28
ct를 통해 분석을 해보니
예전에 식립한 임플란트 3개 중
1개는 그대로 쓰셔도 되었습니다.
식립한지 몇년 지났지만
문제가 없어서 기존 임플란트를 활용
나머지 부분에 대해서만
임플란트 재수술 하기로 결정하였습니다.
기존에 해두었던 임플란트를 먼저 제거하고
뼈이식을 하여 뼈가 만들어지기를
충분히 기다렸습니다.

23.07.26
약 5개월 뒤 뼈가 충분히 만들어진 것을 확인 후
임플란트 재수술 시행하였습니다.
치아가 없던 부분도 당일 전악 임플란트를 시행하였습니다.
네비게이션 임플란트 기술을 활용하여
수술 시간은 짧고
꼭 필요한 부분만 절개하기 때문에
당일 다수의 임플란트 수술이 가능했습니다.

23.11.03
뼈가 좋은 오른쪽 먼저 치아를 완성했습니다.
기존 1개 살린 임플란트와
임플란트 제거 후 재식립한 부분을 연결하여
완성했습니다.

23.11.14
상일동역 근처 치과는
임플란트 처음부터 끝까지 디지털 기술을 활용합니다.
보철을 완성할 때도
스캔 기술을 활용하여 입안 구석구석 사진을 찍어
재현합니다.
보철이 들어갈 부분을 예측하면서
환자분의 입안 상태를
돌려보고 또 돌려봅니다.

24.01.22
뼈가 약해서 조금 더 기다린 오른쪽도
마저 완성을 한 모습입니다.
임플란트는 영원할꺼라고 많이들 생각하시지만
평균적으로 10년정도 지나면 문제가 생깁니다.
특히 환자분의 경우는
보철도 올려보지 못하고 병원이 폐업해
고생을 많이 하셨었는데요.
서울 바르디 치과 에서는
병원이 폐업해 곤란에 처한 환자분들도
기꺼이 치료해드립니다.
▼임플란트 잘하는 곳 찾는 방법▼
https://blog.naver.com/implant_master/223477423978
▼상일동역 근처 치과 위치 확인▼
디지털 장비를 사용한 최신 의료기술
적극 활용하는 서울 바르디 치과
5호선 상일동역에 치과가 위치합니다.
| 예약 전화하러 가기 |
|---|
| 02-481-4278 |
▼오늘 글 영상으로 요약▼
궁금하신 점
환자분의 고민 언제든지 블로그 댓글을 통해 남겨주세요!
바로 확인은 어렵더라도
진료가 끝나고 확인하겠습니다.
대표원장 장태현이었습니다!!
| 본 게시물은 의료광고 법 제56조 1항을 준수하여 의료 정보 제공 및 병원 홍보 목적으로 서울 바르디 치과에서 직접 작성하였습니다. 제공된 정보는 참고만 하실 것을 권유 드리며 증상 파악 및 정확한 관리 방법은 의료기관에 내원 후 의료진을 통해 안내받으시길 바랍니다. 치과에서 진행되는 모든 시술 / 수술은 개인에 따라 (염증, 출혈, 부기 등) 가능성이 있습니다. 사전에 의료진과 충분한 상담을 통해 결정하시길 바랍니다. 게시물의 치료 사례는 실제 본원에서 치료를 마친 환자분들의 동의하에 촬영되었으며 전, 후 사진은 동일 조건에서 촬영되었습니다. |
#상일동역근처치과 #임플란트재수술