안녕하세요!
환자분들의 해결사
서울바르디치과 장태현 원장입니다.
뼈이식 최대한 피하는게 좋지만... ㅠㅠ
고덕역 임플란트 시기를 놓쳤을 때
벌어질 수 있는 일에 대해 말씀드리려고합니다.
고덕역 임플란트 잇몸 뾰루지 뼈이식 두번 하여 해결했습니다.
얼마나 없었길래
두번씩 진행했는지 말씀드리겠습니다.
퇴근하고 피곤함을 꾹 참고
쓴 글이니 끝까지 읽어주세요!!

오른쪽 이 해야할꺼같아요

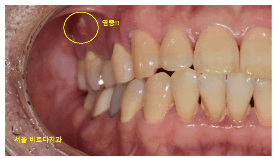
23.03.20
맨 처음 방문하셨을 때 사진입니다.
해당 환자분은 치아가 안좋은걸 느끼셨지만
꾹 참았다 하셨는데요.

23.03.20
잇몸 뾰루지 몇번씩 올라오면 제거하고
약먹고 치료받고
더 쓰고 싶어서 계속 버텼다고 하셨어요.
많이 흔들리고
입에서 염증 맛도 느껴지고 해서
뽑아야할꺼같다 하셨는데요.
내 치아는 몇개월 더 쓸 수 있었지만..
뼈 상태는 ... 말그대로 처참했습니다ㅠㅠ
▼작은 사진▼

23.03.20
계속된 잇몸 뾰루지로
염증이 치아 주변 뼈를 녹였네요.
심지어 치아 뿌리가 일부 흡수된 모습까지 관찰
ct를 한번 찍어보았습니다.

23.03.29
치아 뿌리가 갈라지는 부위도 보이고
뿌리가 녹으면서 뼈에 웅덩이 파이듯
구멍 뚫린게 보이네요ㅠㅠ

23.03.29
뼈가 너무 없어서
이대로라면 고덕동 임플란트가 어려웠습니다.
발치 후 뼈이식을 1차적으로 진행
뼈가 찰때까지 기다렸는데요.

23.05.19
발치 후 뼈이식을 진행하고 두달 뒤
뼈가 차기는 했지만
아직 이 뺀 흔적이 보입니다.

23.07.14
발치 후 4달
계속 뼈가 만들어 지는 과정을 지켜보았습니다.
치아 뾰루지가 한두번 났을 때
뽑고 임플란트를 했으면
이렇게까지 안기다리셔도 됐을텐데ㅠㅠ
잇몸 염증으로 고름이 나오는 경우에는
더 둬봤자 좋을께 없습니다.
주변 뼈를 다 녹여서
멀쩡한 내 치아에까지 영향을 끼칠 수 있기에...

23.09.15
처음 고덕동 임플란트를 위해 내원하신 뒤
6개월이 지나서 수술하게 되었습니다.
발치하면서 1차적으로 뼈를 이식해두긴 했지만
워낙 방대한 양의 뼈가 없어서
한번 더 상악동 구조물을 올리고
뼈이식을 진행했습니다.
(뼈이식만 두번~~!!)
▼ 상악동거상술 케이스 보러가기 ▼
https://blog.naver.com/implant_master/223407832925

24.01.02
고덕동 임플란트 수술 후 약 4개월 뒤
보철을 올려드렸습니다.
발치하고 6개월
수술하고 4개월
10개월정도 걸렸네요.
환자분들은 단 하루도 치아가 빠지면 불편해하시는데
1년 정도를 이 없이 사셨으니
많이 힘드셨을겁니다.
그래도 도중에 포기하지 않고
계속 병원에 방문해주셔서 감사했습니다!!

24.01.02
두개의 임플란트를 묶어
튼튼하게 만들어드렸습니다.
오늘 글을 마무리 하면서...
정말 드리고 싶은 말씀은
자연치아 살리는것 중요합니다.
저 역시도 살릴 수 있는 치아는 최대한 살리려
노력합니다.
https://blog.naver.com/implant_master/223505879886
똑같은 잇몸 뾰루지라도
위에 환자분처럼 치아에 염증이 생긴 경우와
잇몸뼈가 녹아 흔들리는 치아가 있는 경우는 다릅니다.
그냥 방치하셨다가
오늘 환자분처럼 뼈에 웅덩이가 파일정도로
녹아 사라지실 수 있습니다.
경우에 따라 치료방법이 달라지기에
병원에 방문하셔서 진단 받아보시길 바랍니다!
▼치과 위치 확인▼
디지털 장비를 사용한 꼼꼼한 분석으로
원인을 찾아 해결해드리는 서울바르디치과!
5호선 상일동역에 치과가 위치합니다.
| 예약 전화하러 가기 |
|---|
| 02-481-4278 |
▼영상으로 요약▼
오늘은 뼈이식만 2번 진행한
환자분의 이야기를 해드렸습니다.
절대 참지 마시길 바랍니다.
시간도 2배
돈도 2배
통증도 2배입니다.
불편하신 점은 즉각 즉각
병원에 오셔서 저에게 보여주십쇼.
언제든 해결해드리겠습니다.
대표원장 장태현이었습니다!!
| 본 게시물은 의료광고 법 제56조 1항을 준수하여의료 정보 제공 및 병원 홍보 목적으로 서울 바르디 치과에서 직접 작성하였습니다.제공된 정보는 참고만 하실 것을 권유 드리며 증상 파악 및 정확한 관리 방법은 의료기관에 내원 후 의료진을 통해 안내받으시길 바랍니다.치과에서 진행되는 모든 시술 / 수술은 개인에 따라 (염증, 출혈, 부기 등) 가능성이 있습니다.사전에 의료진과 충분한 상담을 통해 결정하시길 바랍니다.게시물의 치료 사례는 실제 본원에서 치료를 마친 환자분들의 동의하에촬영되었으며 전, 후 사진은 동일 조건에서 촬영되었습니다. |
#고덕동임플란트 #잇몸뾰루지