아카이브 요약
이 페이지의 역할
서울바르디치과의원의 네이버 블로그 원문을 보존한 아카이브 페이지입니다. 사랑니 발치 카테고리의 상일동 사랑니 맨날 뽑아야지는 그만!! 매복 치아도 깔끔하게 뽑으세요 글을 통해 병원의 한국어 정보 제공 방식과 진료 관련 안내 톤을 확인할 수 있습니다.
원문 검증
필요하면 원문 블로그와 병원 프로필로 바로 이동해 문맥을 다시 확인할 수 있습니다.
출처 아카이브 열기아카이브된 블로그 글
서울바르디치과의원 · Naver Blog
안녕하세요! 수술을 좋아하고 사랑하는 서울바르디치과 장태현 원장입니다. 하루에 1분의 환자분은 꼭! 수술을 하다보니 플러스 대학병원까지 가기 어려운 환자분들을 치료하다보니 어렵고 까다로운 케이스를 많이 진료하게되었습니다. 오늘의 환자분도 대학병원에 가라 얘기 들으셨지만 서울 바르디치과에서 해결하신 분입니...
게시일
2024년 7월 14일
원문 기준으로 확인된 발행일입니다.
카테고리
사랑니 발치
원문 블로그 카테고리를 정리해 함께 표시합니다.
이미지 수
8
현재 아카이브에 연결된 이미지 수입니다.
아카이브 요약
서울바르디치과의원의 네이버 블로그 원문을 보존한 아카이브 페이지입니다. 사랑니 발치 카테고리의 상일동 사랑니 맨날 뽑아야지는 그만!! 매복 치아도 깔끔하게 뽑으세요 글을 통해 병원의 한국어 정보 제공 방식과 진료 관련 안내 톤을 확인할 수 있습니다.
원문 검증
필요하면 원문 블로그와 병원 프로필로 바로 이동해 문맥을 다시 확인할 수 있습니다.
출처 아카이브 열기안녕하세요!
수술을 좋아하고 사랑하는
서울바르디치과 장태현 원장입니다.
하루에 1분의 환자분은 꼭!
수술을 하다보니
플러스
대학병원까지 가기 어려운 환자분들을
치료하다보니
어렵고 까다로운 케이스를
많이 진료하게되었습니다.
오늘의 환자분도 대학병원에 가라 얘기 들으셨지만
서울 바르디치과에서 해결하신 분입니다.
상일동 사랑니 맨날 뽑아야지는 그만!! 매복 치아도 깔끔하게 뽑으세요
깨끗하고 깔끔한 진료
끝까지 읽어주세요~!

사랑니 뽑아야 하는지만 봐주세요
▼인증▼

오늘의 환자분
절.대 뽑지 않겠노라!
의지가 느껴집니다.

23.07.03
그냥 쓰실지
뽑아야할지 판단하려면
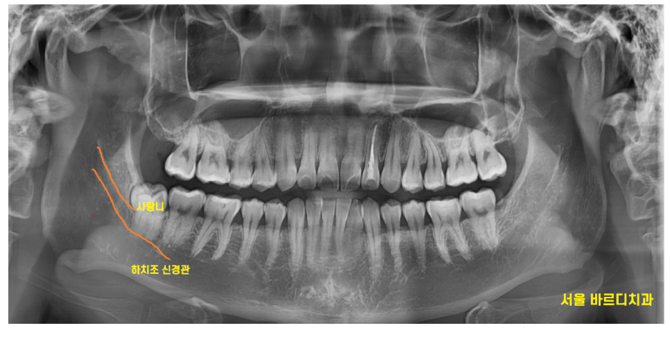
X-RAY부터 찍어보았는데요
아래 사랑니의 최대의 적
하치조 신경관과 딱! 붙어있네요.
자세한 것은 CT를 한장 찍어보기로 하고
우선 구강 상태부터 보았습니다.

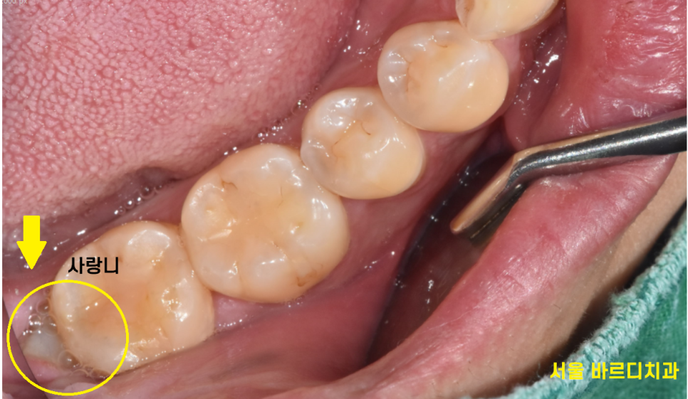
빼꼼~
머리만 살짝 보여줄듯 말듯 하고 있는 상일동 사랑니
이럴 경우 음식물이 자꾸 끼어서
문제가 많습니다.
| 1)냄새도 나고 |
|---|
| 2)음식물이 끼어서 충치 유발 |
| 3)사랑니 염증으로 잇몸뼈 녹음 |
사랑니는 없어도 되는 치아라 괜찮지만
내 어금니가 썩을 수 있어서
환자분께 오신김에 뽑고 가시죠~
이건 뽑아야 탈이 없겠어요~
말씀드렸습니다.

23.07.10
사랑니 주변으로 잇몸뼈도 녹아있어서
좋을게 없었거든요~
환자분께서는 그동안 뽑을까 말까
수십번 고민하셨답니다.
사랑니 뽑으면 아프다
신경이랑 눌려있어서 감각이 없어질 수 있다
말에 약 먹고 청소하고 하면서
견디셨답니다.
맨날 뽑아야지.. 뽑아야지.. 미루시면서 말이죠.

23.07.03
3D-CT를 통해 사랑니와 신경이 근접해 있는 정도
어떻게 발치할 것인가
직접 그리면서 보여드렸죠.

23.07.03
화살표 방향으로 뽑아낼꺼다...
저희 계획중 일부입니다.
저의 이런 작은 노력,,?
치료 계획 설명만 해드렸을 뿐인데!!
미뤄놨던 숙제를 하시겠다면서
뽑아 달라하셨습니다.

23.07.10
신경과 근접해 있기 때문에
최대한 조심스럽게
치아를 조각내 문제없이
깨끗하게 뽑아드렸습니다.
▼또 다른 케이스 ▼
https://blog.naver.com/implant_master/223506746951
완전 뼈 속에 묻혀있는 안보이는 매복치도 뽑는데
일부 나와있는 사랑니
보이니까 더 잘뽑아드려야죠!!
깔끔하게 뽑아드렸습니다.
▼ 상일동 사랑니 발치 병원 ▼
상일동 사랑니 당일 발치 가능한
서울바르디치과
5호선 상일동역에 치과가 위치합니다.
| 예약 전화하러 가기 |
|---|
| 02-481-4278 |
▼영상으로 요약▼
뽑을까 말까 고민만 하지 마세요!
붓고 아픈 것은 이제 그만!!
상일동 사랑니 뽑고 나면
숙제가 해결됩니다.
속 시원하게~
미뤄놨던 사랑니 발치
뽑으러 방문 부탁드리겠습니다.
대표원장 장태현이었습니다!!
| 본 게시물은 의료광고 법 제56조 1항을 준수하여의료 정보 제공 및 병원 홍보 목적으로 서울 바르디 치과에서 직접 작성하였습니다.제공된 정보는 참고만 하실 것을 권유 드리며 증상 파악 및 정확한 관리 방법은 의료기관에 내원 후 의료진을 통해 안내받으시길 바랍니다.치과에서 진행되는 모든 시술 / 수술은 개인에 따라 (염증, 출혈, 부기 등) 가능성이 있습니다.사전에 의료진과 충분한 상담을 통해 결정하시길 바랍니다.게시물의 치료 사례는 실제 본원에서 치료를 마친 환자분들의 동의하에촬영되었으며 전, 후 사진은 동일 조건에서 촬영되었습니다. |
#상일동사랑니 #상일동매복 #상일동매복치아