아카이브 요약
이 페이지의 역할
서울바르디치과의원의 네이버 블로그 원문을 보존한 아카이브 페이지입니다. 3D 네비게이션 임플란트 카테고리의 고덕동 치과치료 씌운 치아 문제가 생겼어요 글을 통해 병원의 한국어 정보 제공 방식과 진료 관련 안내 톤을 확인할 수 있습니다.
원문 검증
필요하면 원문 블로그와 병원 프로필로 바로 이동해 문맥을 다시 확인할 수 있습니다.
출처 아카이브 열기아카이브된 블로그 글
서울바르디치과의원 · Naver Blog
안녕하세요! 바르고 정직한 진료를 시행하는 서울바르디치과 장태현 원장입니다. 치과 치료에도 수명이 존재합니다. 오래전 치료한 치아가 문제가 생기면 어떻게 치료해야하나 고민이 많으실텐데요. 고덕동 치과치료 씌운 치아 문제가 생겼어요 호소하시면서 내원하신 환자분 어떤 문제인지? 어떻게 해결해드렸을지 싹! 공...
게시일
2024년 7월 15일
원문 기준으로 확인된 발행일입니다.
카테고리
3D 네비게이션 임플란트
원문 블로그 카테고리를 정리해 함께 표시합니다.
이미지 수
9
현재 아카이브에 연결된 이미지 수입니다.
아카이브 요약
서울바르디치과의원의 네이버 블로그 원문을 보존한 아카이브 페이지입니다. 3D 네비게이션 임플란트 카테고리의 고덕동 치과치료 씌운 치아 문제가 생겼어요 글을 통해 병원의 한국어 정보 제공 방식과 진료 관련 안내 톤을 확인할 수 있습니다.
원문 검증
필요하면 원문 블로그와 병원 프로필로 바로 이동해 문맥을 다시 확인할 수 있습니다.
출처 아카이브 열기안녕하세요!
바르고 정직한 진료를 시행하는
서울바르디치과 장태현 원장입니다.
치과 치료에도 수명이 존재합니다.
오래전 치료한 치아가 문제가 생기면
어떻게 치료해야하나
고민이 많으실텐데요.
고덕동 치과치료 씌운 치아 문제가 생겼어요
호소하시면서 내원하신 환자분
어떤 문제인지?
어떻게 해결해드렸을지
싹! 공개해드릴께요!!

오른쪽 위에 씌운 치아 상한거 같아요

23.03.13
고덕동 치과치료를 위해 방문해주신 환자분
치료한지 20년 가까이 된 치아라 하셨습니다.
언제 치료했는지 기억도 못하지만
흔들리고
냄새도 나는 것 같아서
이가 상했다며
방문해주셨습니다.

23.03.13
이제는 취급을 잘 안하는
은니를 사용해 씌운 치아입니다.
세월의 흔적을 보여주는 증거네요~
치아에 충치도 있고
잇몸 뼈도 녹아 흔들리고
예후를 생각하여 씌운 치아 뽑아서
고덕동 임플란트로 교체하는 것으로
상담해드렸습니다.

23.03.22
고덕동 치과 최대한 자연치아를 살리려 하기에..
뽑아야할 것 같았어도
보철부터 제거하여 안쪽 상태를 보았는데요.
치아 구멍이 뻥 뚫릴정도로
많이 썩고 삭았습니다.
이것은 못살리겠네요..
▼자연치아 살린 케이스는 이 글 보세요▼
https://blog.naver.com/implant_master/223505879886

23.03.22
씌운 치아 벗겨 내고
상태 보고 뽑았습니다.

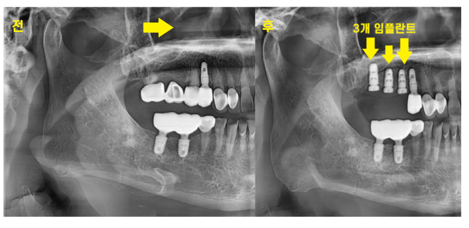
23.05.15
3d-ct를 통해
남아있는 뼈 분석하고 임플란트까지 완료했습니다.

23.05.15
예전에 치아가 빠지고 씌울 때는
2개 치아 -> 3개 머리 브릿지 형태로 하셨지만
20년만에 치료하시는만큼
더 튼튼하게 씹을 수 있도록
치아 개수대로 계획을 잡아드렸습니다.
3개 치아 빠진 개수만큼
고덕동 임플란트
진행해드렸습니다.

이제 씹는 맛을 훨씬 더
잘 느끼실 수 있을겁니다.

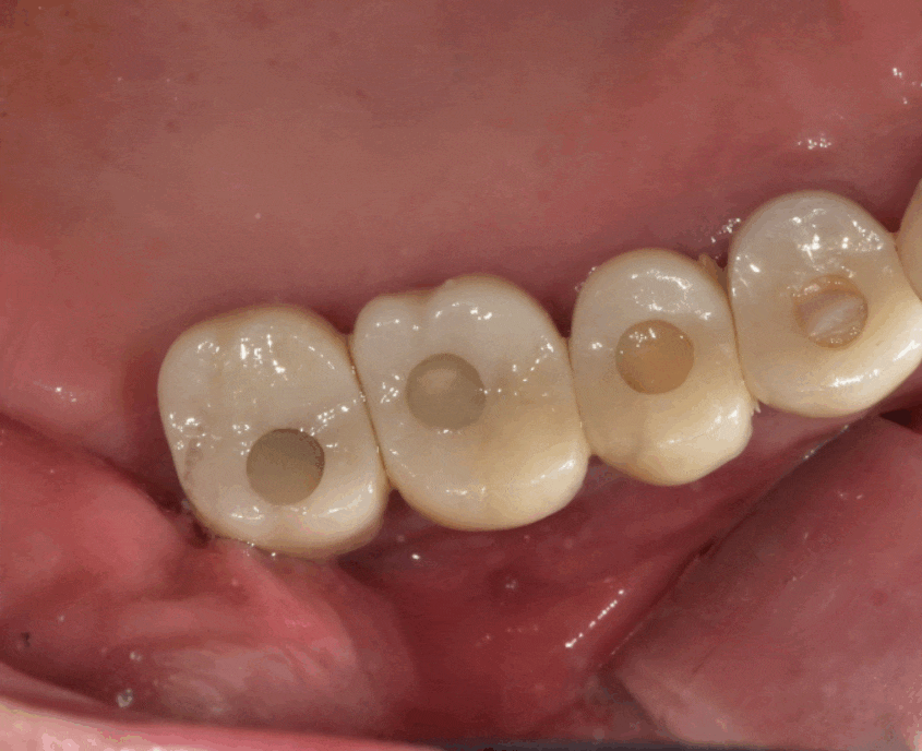
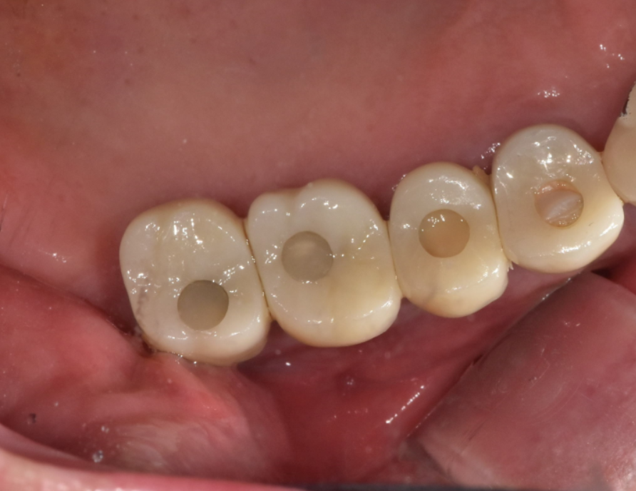
24.01.22
고덕동 치과치료 트렌드 따라 가야겠죠?
예전에는 은니로 많이 치료했지만
하얗고 단단한 지르코니아로~!
색깔도 맞춰서 마무리 해드렸습니다.
▼고덕동 치과 위치 확인▼
고덕동 치과치료 어디가지?
고민은 이제 그만!~
꼭 필요한 진료만 권유해드리는
서울바르디치과입니다.
| 예약 전화하러 가기 |
|---|
| 02-481-4278 (클릭하기) |
▼영상으로 요약▼
오늘은 오래전 씌워놓은 치아가
문제가 생겨서 발치
그리고 고덕동 임플란트한 환자분의 이야기를
보여드렸습니다.
궁금하신 점, 환자분의 고민거리
언제든지 "비밀댓글"로 남겨주시길 바랍니다.
제가 직접 읽고 답변해드리겠습니다.
대표원장 장태현이었습니다!!
| 본 게시물은 의료광고 법 제56조 1항을 준수하여의료 정보 제공 및 병원 홍보 목적으로 서울 바르디 치과에서 직접 작성하였습니다.제공된 정보는 참고만 하실 것을 권유 드리며 증상 파악 및 정확한 관리 방법은 의료기관에 내원 후 의료진을 통해 안내받으시길 바랍니다.치과에서 진행되는 모든 시술 / 수술은 개인에 따라 (염증, 출혈, 부기 등) 가능성이 있습니다.사전에 의료진과 충분한 상담을 통해 결정하시길 바랍니다.게시물의 치료 사례는 실제 본원에서 치료를 마친 환자분들의 동의하에촬영되었으며 전, 후 사진은 동일 조건에서 촬영되었습니다. |
#씌운치아 #고덕동치과치료