아카이브 요약
이 페이지의 역할
서울바르디치과의원의 네이버 블로그 원문을 보존한 아카이브 페이지입니다. 3D 네비게이션 임플란트 카테고리의 풍산동 치과 임플란트 양쪽 치료 가능한가요? 글을 통해 병원의 한국어 정보 제공 방식과 진료 관련 안내 톤을 확인할 수 있습니다.
원문 검증
필요하면 원문 블로그와 병원 프로필로 바로 이동해 문맥을 다시 확인할 수 있습니다.
출처 아카이브 열기아카이브된 블로그 글
서울바르디치과의원 · Naver Blog
안녕하세요! 꼭 필요한 진료만 시행하는 서울바르디치과 장태현 원장입니다. 일반적으로 치과치료는 여러군데 치료가 필요할 경우 한쪽씩 하는 것이 일반적입니다. 식사를 하셔야하기 때문인데요~ 어쩔 수 없는 사정으로 양쪽 치아에 문제가 생길 수도 있겠죠? 풍산동 치과 임플란트 양쪽 치료 가능한가요? 이 질문...
게시일
2024년 7월 17일
원문 기준으로 확인된 발행일입니다.
카테고리
3D 네비게이션 임플란트
원문 블로그 카테고리를 정리해 함께 표시합니다.
이미지 수
14
현재 아카이브에 연결된 이미지 수입니다.
아카이브 요약
서울바르디치과의원의 네이버 블로그 원문을 보존한 아카이브 페이지입니다. 3D 네비게이션 임플란트 카테고리의 풍산동 치과 임플란트 양쪽 치료 가능한가요? 글을 통해 병원의 한국어 정보 제공 방식과 진료 관련 안내 톤을 확인할 수 있습니다.
원문 검증
필요하면 원문 블로그와 병원 프로필로 바로 이동해 문맥을 다시 확인할 수 있습니다.
출처 아카이브 열기안녕하세요!
꼭 필요한 진료만 시행하는
서울바르디치과 장태현 원장입니다.
일반적으로 치과치료는
여러군데 치료가 필요할 경우
한쪽씩 하는 것이 일반적입니다.
식사를 하셔야하기 때문인데요~
어쩔 수 없는 사정으로
양쪽 치아에 문제가 생길 수도 있겠죠?
풍산동 치과 임플란트 양쪽 치료 가능한가요?
이 질문에 대한 답변
3분안에 해결해드리겠습니다!!

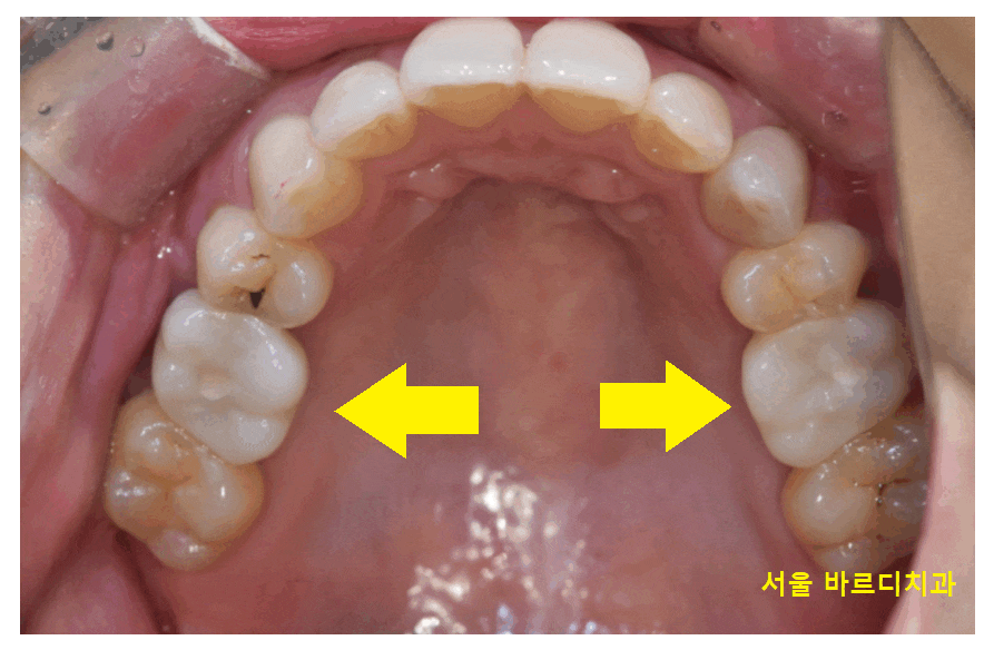
충치가 있어서 치료해야해요

23.12.30
20대 젊은 여성분
나이가 젊은데 불구하고
직접 본 구강상태는 치료가 꼭 필요했습니다.

23.12.30
윗니 어금니의 경우 양쪽 모두
충치가 진행되어 뿌리만 남을정도로 썩었습니다.
아래 치아에도 충치가 있긴 했지만
윗니 어금니에 비해서는 상황이 좋은편이었습니다.

23.12.30
특징적인 것으로는
모두 제 1큰 어금니가 썩으셨네요~
처음 영구치가 올라올때 나오는 치아인데
6살때 올라와서
평생을 써야하는 어금니입니다.
문제는 유치라고 생각하여
충치가 있어도 치료를 안하는 경우가 많은데요.
환자분도 유치인줄 알고 방치하다가
성인이 되어서 발치 후
풍산동 임플란트 진행하게 되었습니다.

23.12.30
오른쪽 어금니의 경우
위 아래 모두 문제였지만

23.12.30
아래 치아의 경우
남아있는 치아 부분도 많고
뿌리에 문제도 없어서
기존 떼워둔 부위를 제거 후
충치 치료하여
살릴 수 있겠네요~

23.12.30
위에 치아의 경우
치아가 조각 조각 있죠~?
뿌리 개수 3개 형태가 남은것입니다.
머리는 다 썩어 없어졌네요.
이건 누가 와도 못살립니다.
발치 후
풍산동 임플란트를 흑흑

23.12.30
환자분께 상담드렸던 내용입니다.
임플란트 양쪽 치료가 필요했습니다.
윗니 어금니의 경우 상악동이라는 구조물이 있는데
남아있는 잇몸뼈가 없는 경우
이 상악동을 들어 올려 뼈이식을 진행하여야합니다.

23.12.30
환자분도 2mm 정도 남아 있어서
(일반적으로 임플란트는 8mm정도 필요합니다)

23.12.30
상악동을 들어올리고
뼈 이식을 한뒤
풍산동 임플란트가 필요했습니다.
▼더 많은 상악동거상술 정보는,,?▼
https://blog.naver.com/implant_master/223408720869
임플란트 양쪽 치료 가능한가요?
많은 분들이 물어보시는데요.
가능합니다!!

24.01.12
임플란트 양쪽 동시에 해야하는 경우
잇몸 절개가 동시에 진행해야해서
많이들 불편해하시지만
풍산동 치과는 90% 이상을
무절개 임플란트를 시행합니다.
▼무절개 임플란트 케이스 보러가기▼
https://blog.naver.com/implant_master/223425953111
불필요한 잇몸 절개 꼬맴이 없어서
양쪽 임플란트 동시에 수술해도
일상생활, 일상 문제 없습니다!

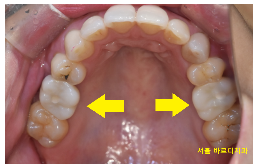
24.03.30
풍산동 임플란트 상악동 올리고
뼈이식을 시행한 부위입니다.
돔 형태로 잘 이식이 되었습니다

24.07.12
4개월정도 지나 치료가 완료되었습니다.
양쪽으로 치료를 동시에 시행했을 때의 장점
치료도 똑같이 끝납니다!!

24.07.12
환자분들 상태에 맞춰서
양쪽, 편측, 위아래
치료 계획은 변경될 수 있습니다.
▼풍산동 치과 위치 확인▼
환자 상황에 맞춰
임플란트 계획을 세우는 병원 서울 바르디치과입니다.
| 예약 전화하러 가기 |
|---|
| 02-481-4278 |
▼영상으로 요약▼
오늘은 양쪽 치아가 충치가 있어서
풍산동 임플란트 한 환자분의 이야기를 해드렸습니다.
오늘 환자분
첫번째 나는 큰 어금니가 문제가 생기셨었는데요.
유치때부터 관리가 이루어져야
성인이 되어도
건강한 치아를 유지할 수 있습니다.
어린이 구강검진부터 노인 틀니까지
온 가족이 진료받을 수 있는
서울 바르디치과 대표원장 장태현이었습니다!!
| 본 게시물은 의료광고 법 제56조 1항을 준수하여의료 정보 제공 및 병원 홍보 목적으로 서울 바르디 치과에서 직접 작성하였습니다.제공된 정보는 참고만 하실 것을 권유 드리며 증상 파악 및 정확한 관리 방법은 의료기관에 내원 후 의료진을 통해 안내받으시길 바랍니다.치과에서 진행되는 모든 시술 / 수술은 개인에 따라 (염증, 출혈, 부기 등) 가능성이 있습니다.사전에 의료진과 충분한 상담을 통해 결정하시길 바랍니다.게시물의 치료 사례는 실제 본원에서 치료를 마친 환자분들의 동의하에촬영되었으며 전, 후 사진은 동일 조건에서 촬영되었습니다. |
#풍산동임플란트 #풍산동치과 #양쪽임플란트