아카이브 요약
이 페이지의 역할
서울바르디치과의원의 네이버 블로그 원문을 보존한 아카이브 페이지입니다. 3D 네비게이션 임플란트 카테고리의 미사 임플란트 보철 새로하고 연결했습니다. 글을 통해 병원의 한국어 정보 제공 방식과 진료 관련 안내 톤을 확인할 수 있습니다.
원문 검증
필요하면 원문 블로그와 병원 프로필로 바로 이동해 문맥을 다시 확인할 수 있습니다.
출처 아카이브 열기아카이브된 블로그 글
서울바르디치과의원 · Naver Blog
안녕하세요! 바르고 정직한 진료를 시행하는 서울바르디치과 장태현 원장입니다!! 임플란트도 구조별로 되어있어 머리 부분만 새로 만들 수가 있는데요. 오늘 환자분도 미사 임플란트 보철 새로하고 연결했습니다. 임플란트 양옆 치아에 문제가 생겨 치료한 이야기입니다. 끝까지 집!중! 은 센스~! 앞니가 흔...
게시일
2024년 7월 18일
원문 기준으로 확인된 발행일입니다.
카테고리
3D 네비게이션 임플란트
원문 블로그 카테고리를 정리해 함께 표시합니다.
이미지 수
10
현재 아카이브에 연결된 이미지 수입니다.
아카이브 요약
서울바르디치과의원의 네이버 블로그 원문을 보존한 아카이브 페이지입니다. 3D 네비게이션 임플란트 카테고리의 미사 임플란트 보철 새로하고 연결했습니다. 글을 통해 병원의 한국어 정보 제공 방식과 진료 관련 안내 톤을 확인할 수 있습니다.
원문 검증
필요하면 원문 블로그와 병원 프로필로 바로 이동해 문맥을 다시 확인할 수 있습니다.
출처 아카이브 열기안녕하세요!
바르고 정직한 진료를 시행하는
서울바르디치과 장태현 원장입니다!!
임플란트도 구조별로 되어있어
머리 부분만
새로 만들 수가 있는데요.
오늘 환자분도 미사 임플란트 보철 새로하고 연결했습니다.
임플란트 양옆 치아에 문제가 생겨
치료한 이야기입니다.
끝까지 집!중! 은 센스~!

앞니가 흔들려요

23.08.26
앞니가 흔들려서 씹지를 못하겠다고
불편감을 호소한 환자분입니다.
x-ray 상에서 뿌리 끝 염증이 보이네요~
정확한 판단을 위해서는 작은 x-ray 한장 더!!
필수죠?

23.11.07
치아가 흔들리는 이유는
잇몸뼈가 내려가서 흔들리는 것인데..
이 치아는 뿌리에 염증도 있어서
신경치료를 해도 못살리겠네요~
많이 흔들리기 전에 오셨으면
신경치료하고 살려볼 수도 있었을텐데 말입니다.

23.08.26
문제는 흔들리는 치아가
임플란트 보철 양 옆이라는 것입니다.
어금니라면 크게 문제 없겠지만
앞니의 경우 심미적이라
오래전 임플란트 보철과
새로하는 것이 비교가 됩니다.
모양이나 색깔
티가 많이 날 수 있습니다.
특히 기존에 했던 보철 종류가 다를경우
더더욱..
▼임플란트 보철 설명▼
https://blog.naver.com/implant_master/223456811500
예전에 임플란트 보철하셨던 재료가
pfm이라 하여
안쪽은 쇠
겉은 치아색깔이라
환자분께 위와같은 상황을 설명드렸습니다.
(티가 날 수 있다)
이왕 하는거 좋은걸로 해달라고 하셔서
타치과 임플란트 보철 새로하는 것으로
미사 임플란트 계획 잡아드렸습니다.

23.11.07

23.11.07
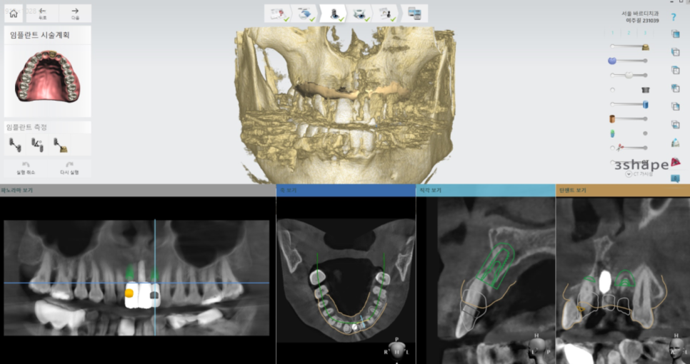
앞니 임플란트는 잇몸뼈가 얇아서
고난이도 임플란트 부분중 하나입니다.
뼈 손상을 최대한 줄이고
정확성이 그 어느때보다 중요한데요!
잘못 심으면 임플란트가 잇몸에 비춰보이는등
문제가 생길 수 있기 때문이죠
미사 임플란트가 자랑하는
네비게이션 수술법을 이용하여
치료를 해드렸습니다.

23.11.07
잇몸 뼈가 많이 녹았던터라
미사 임플란트 잇몸 안에 묻어두어
뼈가 차오르면 잇몸 밖으로 꺼내는
2차 수술법으로 진행했습니다.
그동안은 심미성이 중요해야하는 앞니이기에
임시틀니를 만들어드렸어요

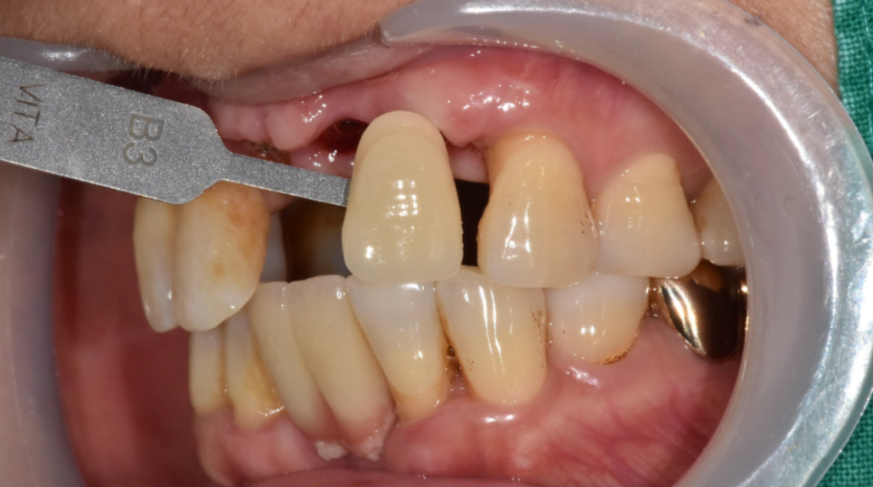
24.02.29
2차 수술까지 진행하고
이제 임플란트 보철 만들어 주어야겠죠?
앞니의 경우 제일 중요한 것이 색깔!
그리고 옆에 치아와 자연스럽게 어울리는 모양!
두가지 모두 충족해주어야합니다.

24.03.07
보철까지 디지털 방식으로 진행
입안을 스캔해서
미사 임플란트 마무리 해드렸습니다.

예전 임플란트 보철 새로하고
미사 임플란트 한 부위와 연결하여 더 튼튼하게
보철도 기존에 쇠가 들어간 재료에서
지르코니아로 업드레이드~~
▼치과 위치 확인▼
디지털 장비를 사용한 꼼꼼한 분석으로
고난이도 임플란트가 가능한 서울 바르디 치과!
5호선 상일동역에 치과가 위치합니다.
| 예약 전화하러 가기 |
|---|
| 02-481-4278 (누르면 연결됩니다) |
▼영상으로 요약▼
오늘은 타병원 임플란트 보철 새로하고
새로 심은 임플란트와 연결한 환자분을 말씀드렸습니다.
제가 블로그를 운영하는 이유는
환자분들과 병원 밖에서도 소통을 하기 위해서입니다.
이 글을 새벽에 읽으시던
주말에 보시던간에
궁금하신 점은 언제든지 블로그 댓글을 통해 남겨주세요.
대표원장 장태현이었습니다!!
| 본 게시물은 의료광고 법 제56조 1항을 준수하여의료 정보 제공 및 병원 홍보 목적으로 서울 바르디 치과에서 직접 작성하였습니다.제공된 정보는 참고만 하실 것을 권유 드리며 증상 파악 및 정확한 관리 방법은 의료기관에 내원 후 의료진을 통해 안내받으시길 바랍니다.치과에서 진행되는 모든 시술 / 수술은 개인에 따라 (염증, 출혈, 부기 등) 가능성이 있습니다.사전에 의료진과 충분한 상담을 통해 결정하시길 바랍니다.게시물의 치료 사례는 실제 본원에서 치료를 마친 환자분들의 동의하에촬영되었으며 전, 후 사진은 동일 조건에서 촬영되었습니다. |
#미사임플란트 #임플란트보철 #보철새로