아카이브 요약
이 페이지의 역할
서울바르디치과의원의 네이버 블로그 원문을 보존한 아카이브 페이지입니다. 앞니마법사 카테고리의 고덕 그라시움 치과 벌어진 앞니 메꾸기 당일 레진으로 치료했습니다. 글을 통해 병원의 한국어 정보 제공 방식과 진료 관련 안내 톤을 확인할 수 있습니다.
원문 검증
필요하면 원문 블로그와 병원 프로필로 바로 이동해 문맥을 다시 확인할 수 있습니다.
출처 아카이브 열기아카이브된 블로그 글
서울바르디치과의원 · Naver Blog
안녕하세요! 세심하고 꼼꼼한 진료를 시행하는 서울바르디치과 이주리 원장입니다. " 앞니 사이 떼워주세요" "앞니 공간 메꿀 수는 없나요?" 많은 환자분들이 질문해주시는데요~ 고덕그라시움 치과 벌어진 앞니 메꾸기 당일 레진으로 치료했습니다. 치료하는 방법은 많지만 오늘은 레진으로 떼워드린 환자분 이야기를...
게시일
2024년 7월 19일
원문 기준으로 확인된 발행일입니다.
카테고리
앞니마법사
원문 블로그 카테고리를 정리해 함께 표시합니다.
이미지 수
8
현재 아카이브에 연결된 이미지 수입니다.
아카이브 요약
서울바르디치과의원의 네이버 블로그 원문을 보존한 아카이브 페이지입니다. 앞니마법사 카테고리의 고덕 그라시움 치과 벌어진 앞니 메꾸기 당일 레진으로 치료했습니다. 글을 통해 병원의 한국어 정보 제공 방식과 진료 관련 안내 톤을 확인할 수 있습니다.
원문 검증
필요하면 원문 블로그와 병원 프로필로 바로 이동해 문맥을 다시 확인할 수 있습니다.
출처 아카이브 열기안녕하세요!
세심하고 꼼꼼한 진료를 시행하는
서울바르디치과 이주리 원장입니다.
" 앞니 사이 떼워주세요"
"앞니 공간 메꿀 수는 없나요?"
많은 환자분들이 질문해주시는데요~
고덕그라시움 치과 벌어진 앞니 메꾸기 당일 레진으로 치료했습니다.
치료하는 방법은 많지만
오늘은 레진으로 떼워드린 환자분 이야기를 말씀드릴께요~!!
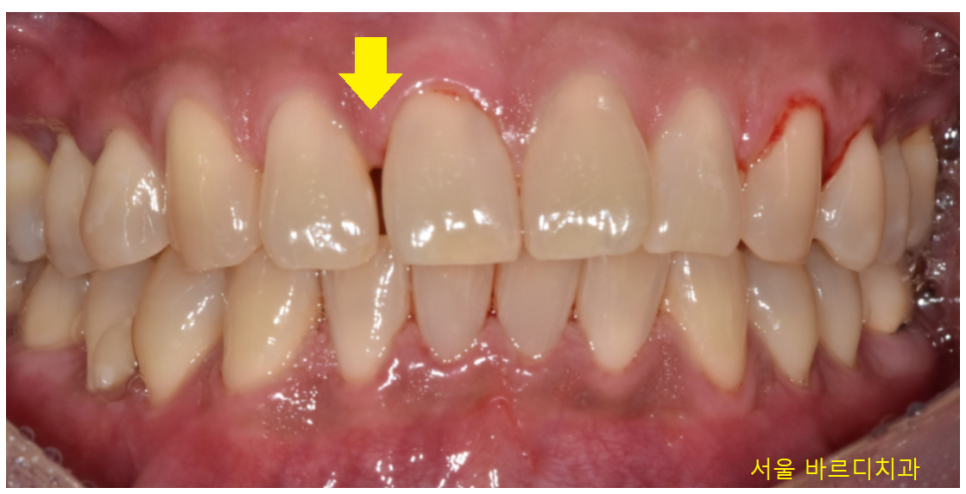
앞니가 벌어진 경우
남녀노소 가리지 않고
환자분들께서 공간을 메꾸고 싶어하시더라고요~
아무래도 심미적으로 벌어진 치아가 예쁘지 않고
말하거나 하면서 바람이 새기 때문인데요!!

23.01.30
고덕 그라시움 치과 방문해주신 환자분의 경우에도
미세하지만 앞니 사이 공간이 있었습니다.
▼집중!▼

23.01.30
작은 틈새이지만
공간이 있어서 떼우고 싶다고 하셨습니다.
아무래도 반대편 치아의 경우
붙어있어서 더 비교가 되셨나봐요~

23.01.30
반대편 치아만 해도 잘 붙어있는데
유독 윗니 앞 부분 치아만 틈이 있네요~
벌어진 앞니 메꾸기 방법에는 3가지가 있습니다.
레진
라미네이트
크라운
오늘 환자분처럼 비교적 벌어진 공간이 적으면
레진으로도 가능합니다!
하지만 사이 공간이 너무 넓을 경우
떼워야 할 부분이 많아져
치아가 오히려 커져보일 수 있는데요!
이럴경우 레진으로 부분적으로 떼우기보다
라미네이트나 크라운과 같은
전반적으로 치아를 진료하는 보철치료가 필요합니다!

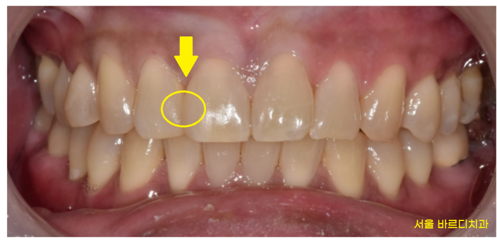
23.01.30
오늘 환자분의 경우
옆 치아와의 공간이 1mm도 채 안되어서
(아주 작은 공간이라는 뜻입니다!)
벌어진 앞니 메꾸기 레진으로 가능했습니다~!
직장인 분이셔서 자주 시간내기 어려우셨기에
당일 레진 치료 진행해드렸는데요~!
고덕 그라시움 치과
치료결과를 보실까요~?

23.01.30
벌어진 앞니 레진으로 공간을 없애드렸습니다.
사진만 봐서는 어떤게 레진이고
내 치아 부위가 어디인지
구분이 잘 안가시겠죠~??

23.01.30
레진이라는 재료가
치아 색깔과 똑같아서 구분이 잘 안가실꺼에요~
그만큼 심미성이 요구되는 앞니에는
딱! 알맞은 치료입니다.

어디가 변했는지 바로 보이시겠죠~?
앞니 레진은 고도의 집중력이 필요합니다.
심미적이기도 하고
모양을 옆에 치아와 비슷하게 만들어서
티가 나지 않도록 떼워드리는게 중요하거든요~

23.01.30
미적 감각이 요구되는
벌어진 앞니 메꾸기 치료
섬세하고 꼼꼼한 저의 감각으로
예쁘게 메워드리겠습니다!!
그동안 앞니가 벌어져서 고민이셨던 환자분들
고덕 그라시움 상가 2층에 치과가 위치합니다.
저는 월요일과 금요일에 출근해서 진료중입니다!
제가 상시 근무하는게 아니다보니
꼭 전화 주시고 방문해주세요~!
☎02-481-4278
▼고덕 그라시움 치과 위치 확인▼
환자분들의 고민
마음으로 위로해드리고 싶습니다.
상일동. 고덕역 주민 분들께
도움을 드리고 싶어요!!
서울 바르디 치과!
5호선 상일동역에서 1분거리
고덕 그라시움 상가 내에 치과가 위치합니다.
(지하 주차장 이용)
▼영상으로 요약▼
오늘은 앞니 공간을
레진으로 당일 수복해드린 이야기를 해드렸습니다.
환자분과 자주 소통하기위해 노력하겠습니다~!
블로그 댓글로 고민 남겨주시면
저와 장태현 원장님이 확인 후
답변 빠르게 남겨드릴께요~!
대표원장 이주리였습니다!!
| 본 게시물은 의료광고 법 제56조 1항을 준수하여의료 정보 제공 및 병원 홍보 목적으로 서울 바르디 치과에서 직접 작성하였습니다.제공된 정보는 참고만 하실 것을 권유 드리며 증상 파악 및 정확한 관리 방법은 의료기관에 내원 후 의료진을 통해 안내받으시길 바랍니다.치과에서 진행되는 모든 시술 / 수술은 개인에 따라 (염증, 출혈, 부기 등) 가능성이 있습니다.사전에 의료진과 충분한 상담을 통해 결정하시길 바랍니다.게시물의 치료 사례는 실제 본원에서 치료를 마친 환자분들의 동의하에촬영되었으며 전, 후 사진은 동일 조건에서 촬영되었습니다. |
#고덕그라시움치과 #벌어진앞니