아카이브 요약
이 페이지의 역할
서울바르디치과의원의 네이버 블로그 원문을 보존한 아카이브 페이지입니다. 병원소개 카테고리의 강일동 임플란트 씌운 치아 통증 불편할 때는 치과를 방문해주세요 글을 통해 병원의 한국어 정보 제공 방식과 진료 관련 안내 톤을 확인할 수 있습니다.
원문 검증
필요하면 원문 블로그와 병원 프로필로 바로 이동해 문맥을 다시 확인할 수 있습니다.
출처 아카이브 열기아카이브된 블로그 글
서울바르디치과의원 · Naver Blog
안녕하세요! 바르고 정직한 진료를 시행하는 서울바르디치과 장태현 원장입니다. 보철물의 수명 ? 당연히 존재합니다! 이를 씌우고도 관리가 잘 안될경우 혹은 딱딱한 음식을 먹다가 자칫 잘못하다가 부러지는 경우가 생길 수 있는데요. 오늘 환자분도 씌워놓은 보철에 문제가 생긴 환자분입니다. 강일동 임...
게시일
2024년 7월 20일
원문 기준으로 확인된 발행일입니다.
카테고리
병원소개
원문 블로그 카테고리를 정리해 함께 표시합니다.
이미지 수
8
현재 아카이브에 연결된 이미지 수입니다.
아카이브 요약
서울바르디치과의원의 네이버 블로그 원문을 보존한 아카이브 페이지입니다. 병원소개 카테고리의 강일동 임플란트 씌운 치아 통증 불편할 때는 치과를 방문해주세요 글을 통해 병원의 한국어 정보 제공 방식과 진료 관련 안내 톤을 확인할 수 있습니다.
원문 검증
필요하면 원문 블로그와 병원 프로필로 바로 이동해 문맥을 다시 확인할 수 있습니다.
출처 아카이브 열기안녕하세요!
바르고 정직한 진료를 시행하는
서울바르디치과 장태현 원장입니다.
보철물의 수명 ?
당연히 존재합니다!
이를 씌우고도 관리가 잘 안될경우
혹은 딱딱한 음식을 먹다가 자칫 잘못하다가
부러지는 경우가
생길 수 있는데요.
오늘 환자분도 씌워놓은 보철에
문제가 생긴 환자분입니다.
강일동 임플란트 씌운 치아 통증 불편할 때는 치과를 방문해주세요
통증 해결사인 제가
어떻게 해결했는지 확인해주세요~!

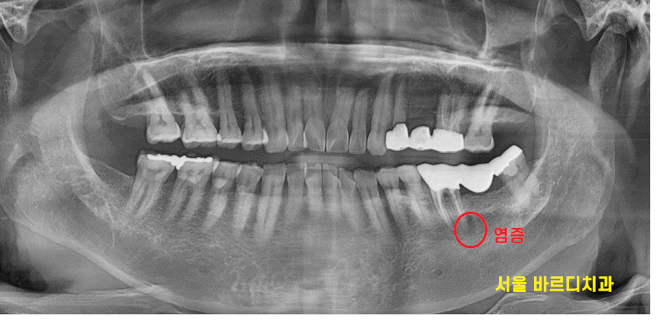
씌운 치아 아파요

23.06.27
예전에 치료한 부위가 아프다고 하신 환자분
x-ray를 찍어 보니
왼쪽 아래 씌운 치아 뿌리 끝에 농양이 보입니다.
염증이 있으니 씌운 치아 통증 있을 수 밖에요

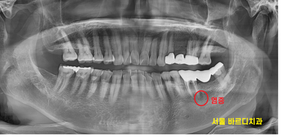
23.06.27
예전에 금니로 씌운 부분이
탈이 생겼는데
환자분은 사랑니가 예쁘게 올라와서
사랑니와 묶어서 보철을 하신 상황이었습니다.
이렇게 예쁘게 올라와 잘 사용하시는 환자분이
몇 안계시는데 축복받으셨네요~
어쨋든간에 x-ray에서 농양이 보여서
자세히 보이는 사진을 한장 더 찍어보았습니다.

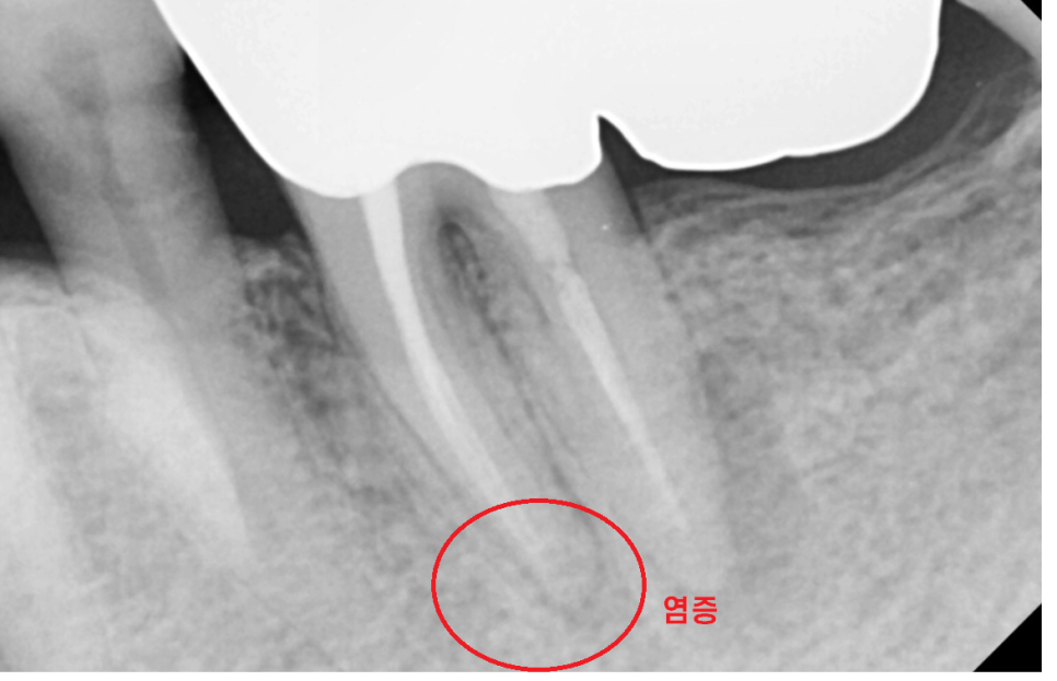
23.06.27
역시나 뿌리 끝에 염증이 보이네요.

23.06.27
ct를 찍어 확인해보니
콧물 흐르듯 염증도 주루룩...
씌운 치아 통증 해결을 위해서는
발치한다.
강일동 임플란트한다.
▼비슷한 케이스▼
https://blog.naver.com/implant_master/223512274467
씌운 치아 통증으로 발치 하시긴 했지만
사랑니로 워낙 오랜 시간 식사하셨기에
예전과 같은 형태로 제작해드릴지
혹은
사랑니 부분을 치료하지 않고
강일동 임플란트를 할지
치료계획 2개로 잡아드렸습니다.
사진을 함께 보시면서 이해해보실까요~?

23.07.04
사진처럼 치아 개수대로
(임플란트 2개 보철 2개 )
치료하는 방안도 있었습니다.
위에 맞물리는 치아가 사랑니가 없었기에
2개 큰 어금니를 만들어 드리는 방법 역시
큰 문제가 되진 않았습니다.
오히려 환자분께는 보철 1개 가격을
덜어 드릴 수 있어서 경제적이라 말할 수 있죠!

23.07.04
기존 처럼 사랑니 부분에 임플란트를 심고
브릿지 형태로 만들어 드릴 수도 있어서
환자분께 충분한 설명을 진행
환자분께서는 치아 개수대로 맞춰달라고
하셨습니다.

23.12.06
강일동 치과 완성본입니다.
각각 맞물리는 치아가
끝자리가 7번 - 7번으로 끝나죠~?
짝 맞춰서 치료를 끝내드렸습니다.
기존과 같은 구강 상태를 재현하는게
환자분께 좋은 일이라 생각하지 않습니다.
더 경제적이고 좋을 수 있다면
언제든지 환자분을 설득시키겠습니다!!!
▼강일동 치과 위치 확인▼
환자분께 최적의 치료 방안을 생각하는
서울 바르디치과입니다.
환자분의 경제 상황, 우선순위에 맞춰서
치료계획을 잡아드립니다.
| 예약 전화하러 가기 |
|---|
| 02-481-4278 (누르기) |
▼영상으로 요약▼
오늘은 씌운 치아 통증으로 내원하신 환자분
임플란트로 해결해드린 이야기를 해드렸습니다.
참다가 병 난다는 말이 있습니다.
제 글을 읽는 환자분들은
부디 참지 마시고 저를 찾아 와주시길 바라겠습니다.
대표원장 장태현이었습니다!!
| 본 게시물은 의료광고 법 제56조 1항을 준수하여의료 정보 제공 및 병원 홍보 목적으로 서울 바르디 치과에서 직접 작성하였습니다.제공된 정보는 참고만 하실 것을 권유 드리며 증상 파악 및 정확한 관리 방법은 의료기관에 내원 후 의료진을 통해 안내받으시길 바랍니다.치과에서 진행되는 모든 시술 / 수술은 개인에 따라 (염증, 출혈, 부기 등) 가능성이 있습니다.사전에 의료진과 충분한 상담을 통해 결정하시길 바랍니다.게시물의 치료 사례는 실제 본원에서 치료를 마친 환자분들의 동의하에촬영되었으며 전, 후 사진은 동일 조건에서 촬영되었습니다. |
#강일동치과
#강일동임플란트
#씌운치아통증