아카이브 요약
이 페이지의 역할
서울바르디치과의원의 네이버 블로그 원문을 보존한 아카이브 페이지입니다. 치료케이스 카테고리의 상일동역 스케일링 치과 잇몸치료 받아야하는 이유 필독! 글을 통해 병원의 한국어 정보 제공 방식과 진료 관련 안내 톤을 확인할 수 있습니다.
원문 검증
필요하면 원문 블로그와 병원 프로필로 바로 이동해 문맥을 다시 확인할 수 있습니다.
출처 아카이브 열기아카이브된 블로그 글
서울바르디치과의원 · Naver Blog
안녕하세요! 환자분들의 어려움을 해결해드리는 서울바르디치과 장태현 원장입니다. 지난 시간 풍치로 인하여 잇몸치료 과정에 대하여 설명해드렸는데요. ▼지난 글 읽고오기▼ https://blog.naver.com/implant_master/223521900587 오늘은 실제로 잇몸치료를 받고 효과를 보신 환자분을...
게시일
2024년 7월 23일
원문 기준으로 확인된 발행일입니다.
카테고리
치료케이스
원문 블로그 카테고리를 정리해 함께 표시합니다.
이미지 수
7
현재 아카이브에 연결된 이미지 수입니다.
아카이브 요약
서울바르디치과의원의 네이버 블로그 원문을 보존한 아카이브 페이지입니다. 치료케이스 카테고리의 상일동역 스케일링 치과 잇몸치료 받아야하는 이유 필독! 글을 통해 병원의 한국어 정보 제공 방식과 진료 관련 안내 톤을 확인할 수 있습니다.
원문 검증
필요하면 원문 블로그와 병원 프로필로 바로 이동해 문맥을 다시 확인할 수 있습니다.
출처 아카이브 열기안녕하세요!
환자분들의 어려움을 해결해드리는
서울바르디치과 장태현 원장입니다.
지난 시간 풍치로 인하여 잇몸치료 과정에 대하여
설명해드렸는데요.
▼지난 글 읽고오기▼
https://blog.naver.com/implant_master/223521900587
오늘은 실제로 잇몸치료를 받고
효과를 보신 환자분을 말씀드릴까해요.
상일동역 스케일링 치과 잇몸치료 받아야하는 이유 필독!
기가막히게 전후가 변화하신
환자분 이야기입니다.
Let's go!!!!!

양치할 때 피가나요

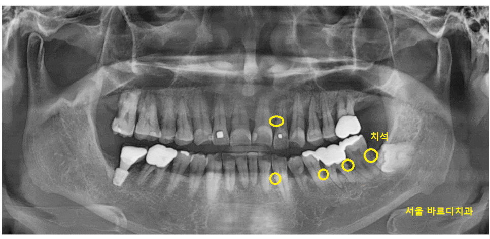
22.12.16
처음 상일동역 치과 방문해주셨을 때
입에서 피가 난다고 내원을 해주셨습니다.
x-ray를 촬영해보니까
치석들이 x-ray 에 보일 정도로 많은 상황이었습니다.

22.12.16
잇몸 밖에 붙어있는 치석 외에도
뿌리쪽에도 있다는 얘기로
치석이 무지 많다는 말입니다ㅎㅎ
잇몸이 안좋아 피가 나시는것이라
일단 상일동역 스케일링을 먼저 진행
잇몸치료 진행하기로 계획을 잡아드렸습니다.

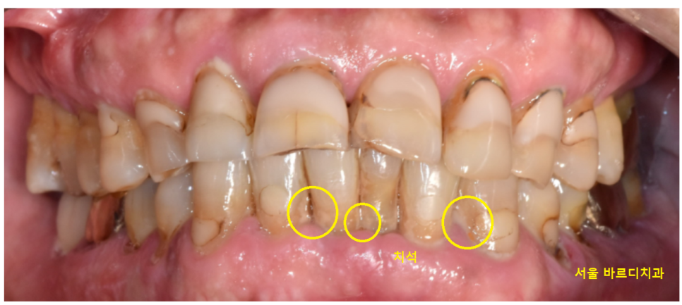
23.05.11
잇몸치료 전 잇몸입니다.
치아 뿌리 부분에 울퉁불퉁한 조각들이
붙어있죠~?
상일동역 스케일링을 1차 받고
찍은 사진임에도 큰 치석들이 남아있습니다.
일반적인 치석제거로는
뿌리쪽이 제거가 어렵기 때문에
잇몸치료가 꼭 필요한데요!!
기구를 사용하여 제거
중간중간 제거가 잘 되었는지
x-ray를 찍어 확인해보았습니다.

23.05.11
제거가 다 된듯 하여도
이렇게 사진을 찍어보면
일부 붙어있는 치석들을 볼 수가 있습니다.
남아있는 녀석들을
빡빡 긁어줍니다.
조금이라도 남아있으면
잇몸 염증이 재발하거나
안좋아지기 쉽기 때문에
깨끗하게 긁어 주어야해요~

치료 후 사진을 보시면
깨끗해 진게 보이시죠~?

23.11.18
잇몸 뿌리에 붙어있던 오돌토톨한게
다 사라졌습니다.
이제 상일동역 스케일링을 6개월마다 받으시면서
계속 관리해주시면
잇몸치료 자주 받을 필요 없답니다!
▼상일동역 치과 위치 확인▼
잇몸 관리는 평생 해야할 친구같은 존재입니다.
귀찮을수록 몸에 좋은거다~! 라는 말이 있더라고요.
환자분은 상일동역 치과 방문만 해주세요.
귀찮고 어려운일은 저희가 할테니
시간만 내주시면 감사하겠습니다.
| 예약 전화하러 가기 |
|---|
| 02-481-4278 |
▼영상으로 요약▼
오늘은 상일동역 스케일링 다음과정인
잇몸치료를 받고 효과를 보신 환자분을 소개해드렸습니다.
내가 살고있는 집도 깨끗하게 청소하면
기분이 좋아지죠~
구강도 스케일링 받고
스윽 스윽 바람 통하는 기분이 들면
얼마나 좋을까요~?
깨끗하게 청소하고
상쾌해지는 기분을 체험하러 방문해주세요!!
궁금하신 점은 언제든지 블로그 댓글을 통해 남겨주세요.
대표원장 장태현이었습니다!!
| 본 게시물은 의료광고 법 제56조 1항을 준수하여의료 정보 제공 및 병원 홍보 목적으로 서울 바르디 치과에서 직접 작성하였습니다.제공된 정보는 참고만 하실 것을 권유 드리며 증상 파악 및 정확한 관리 방법은 의료기관에 내원 후 의료진을 통해 안내받으시길 바랍니다.치과에서 진행되는 모든 시술 / 수술은 개인에 따라 (염증, 출혈, 부기 등) 가능성이 있습니다.사전에 의료진과 충분한 상담을 통해 결정하시길 바랍니다.게시물의 치료 사례는 실제 본원에서 치료를 마친 환자분들의 동의하에촬영되었으며 전, 후 사진은 동일 조건에서 촬영되었습니다. |
#상일동역치과 #상일동역스케일링