아카이브 요약
이 페이지의 역할
서울바르디치과의원의 네이버 블로그 원문을 보존한 아카이브 페이지입니다. 병원소개 카테고리의 암사동 치과 골다공증 치료 중 임플란트 가능한가요?? 글을 통해 병원의 한국어 정보 제공 방식과 진료 관련 안내 톤을 확인할 수 있습니다.
원문 검증
필요하면 원문 블로그와 병원 프로필로 바로 이동해 문맥을 다시 확인할 수 있습니다.
출처 아카이브 열기아카이브된 블로그 글
서울바르디치과의원 · Naver Blog
안녕하세요! 환자분들의 고민 해결사 서울바르디치과 장태현 원장입니다. 요즘은 20-40 환자분들의 임플란트 수술이 크게 늘었지만 여전히 주 연령층은 노인분들이 많습니다. 그러다 보니 약 드시는게 많은데요. 암사동 치과 골다공증 치료 중 임플란트 가능한가요?? 오늘은 골다공증 치료와 수술의 관계에 대해...
게시일
2024년 7월 25일
원문 기준으로 확인된 발행일입니다.
카테고리
병원소개
원문 블로그 카테고리를 정리해 함께 표시합니다.
이미지 수
10
현재 아카이브에 연결된 이미지 수입니다.
아카이브 요약
서울바르디치과의원의 네이버 블로그 원문을 보존한 아카이브 페이지입니다. 병원소개 카테고리의 암사동 치과 골다공증 치료 중 임플란트 가능한가요?? 글을 통해 병원의 한국어 정보 제공 방식과 진료 관련 안내 톤을 확인할 수 있습니다.
원문 검증
필요하면 원문 블로그와 병원 프로필로 바로 이동해 문맥을 다시 확인할 수 있습니다.
출처 아카이브 열기안녕하세요!
환자분들의 고민 해결사
서울바르디치과 장태현 원장입니다.
요즘은 20-40 환자분들의 임플란트 수술이
크게 늘었지만
여전히 주 연령층은
노인분들이 많습니다.
그러다 보니 약 드시는게 많은데요.
암사동 치과 골다공증 치료 중 임플란트 가능한가요??
오늘은 골다공증 치료와 수술의 관계에 대해
말씀드릴까합니다.
끝까지 집중해서 읽어주세요~!!

약 먹는게 많아서 그런가
다들 대학병원 가라 하더라고요

23.07.20
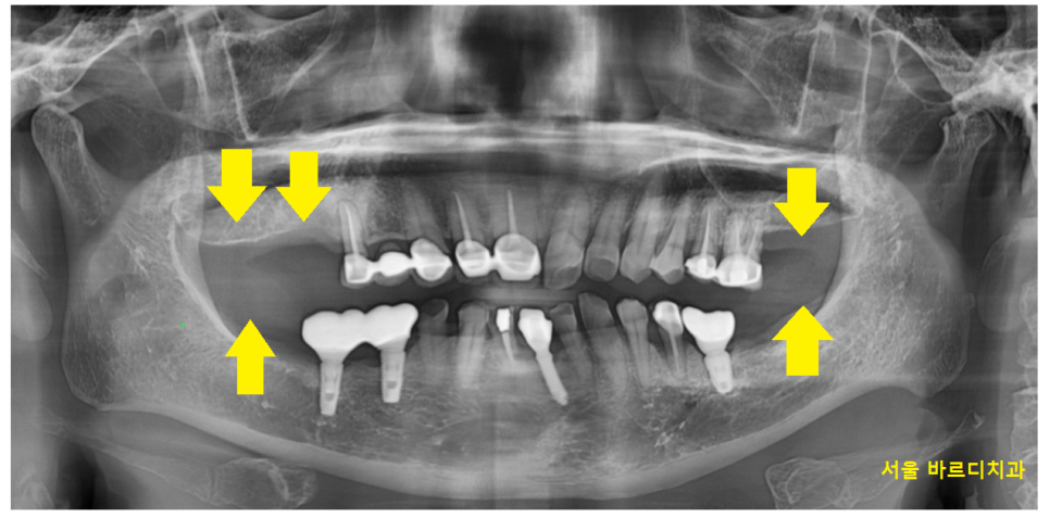
암사동 치과를 방문해주신 환자분입니다.
처음 방문하셨을 때
어금니 곳곳이 빠지신채로 오셨습니다.
몇년 전부터 무릎이 안좋아
골다공증 주사를 맞고 계신다 하셨는데
다들 수술이 어려우니 그냥 살라고 답변을 들으셨답니다.
수술을 못해준다 하니까 약 먹는 것을
숨겨야하나 고민까지 하셨답니다.

골다공증, 고혈압, 고지혈증
고혈압 고지혈증은 중장년분들에게는
흔히 있는 질병이고
골다공증으로 치료를 받는게 임플란트 수술에
영향을 끼치므로 문제가 되었습니다.
사실 정확히 말하면
골다공증 약 주사중에서도
골 대사와 직접적으로 영향을 끼치는
약물만 아니면
수술하는데 전혀 지장이 없습니다.

때문에 암사동 치과 직원분들께도
약 확인을 구체적으로 해야한다.
누누히 숙지를 시키고
데스크에 붙여놓을 정도입니다.
저도 진료를 하면서 여쭤보긴 하지만
두번 세번 확인하여
나쁠것은 없으니까요~!

23.07.20

23.07.20
구강내를 직접 보았더니
어금니가 몇개 결손 되었어도
양쪽으로 끝에 치아가 빠져서
위 아래 맞물리는 치아끼리 없어서
1개의 임플란트만 진행하면 되었습니다.
▼임플란트 안해도 되는 경우에 해당했습니다 .▼
https://blog.naver.com/implant_master/223440607543
제대로 확인해보지 않고
돌려보낼 수는 없죠~?
치료 받고 있는 병원에서 상태를 확인해보았습니다.

3년이면 꽤 오랜 시간
치료를 받으셨네요~
골다공증 약물 복용 중
골 흡수를 하는 성분을 지닌 약을 드시는데
임플란트를 하게 되면
치유가 지연되게됩니다.
간혹 최악의 경우 뼈가 썩기도하고요ㅠㅠ
이런것 때문에 골다공증 치료중 임플란트
어렵다고 말씀드리는데요.
다행히 중단 후 치과 치료가 가능하신 상태였습니다.
충분히 휴지기를 가지고
암사동 임플란트 진행하기로 하였습니다.

23.07.31
암사동 치과에서 임플란트 치료 진행하였습니다.

23.07.31
3년동안의 골다공증 치료
뼈가 약하신 환자분이셔서
뼈이식까지 진행 후 수술을 했는데요.
돔 형태로 예쁘게 상악동이 올라갔네요~
수술이 아주 잘되었습니다.

23.11.10
골다공증 치료 중이셨지만
무사히 치료를 끝냈습니다.
약을 드시는게 많을 수록
고려해야할 사항이 많지만
수술이 불가한것은 아닙니다.
해보기도 전에 안된다!
말하는 것은 제가 제일 싫어하는 말 중 하나입니다.
▼암사동 치과 위치 확인▼
당뇨가 심하셔도
투석중이어도
골다공증 주사를 오래 맞으셨어도
내과와 협진하에
암사동 임플란트 수술 가능합니다!!
| 예약 전화하러 가기 |
|---|
| 02-481-4278 |
▼오늘 진료 다시보기▼
오늘 환자분 골다공증 치료 중 임플란트 어렵다
얘기듣고 오신분이었습니다.
암사동 치과에서는 어떤 환자의
임플란트 수술이던간에
환영하고 있습니다.
환자분의 고민상담
비밀 댓글을 통하여 남겨주세요
대표원장 장태현이었습니다!!
| 본 게시물은 의료광고 법 제56조 1항을 준수하여의료 정보 제공 및 병원 홍보 목적으로 서울 바르디 치과에서 직접 작성하였습니다.제공된 정보는 참고만 하실 것을 권유 드리며 증상 파악 및 정확한 관리 방법은 의료기관에 내원 후 의료진을 통해 안내받으시길 바랍니다.치과에서 진행되는 모든 시술 / 수술은 개인에 따라 (염증, 출혈, 부기 등) 가능성이 있습니다.사전에 의료진과 충분한 상담을 통해 결정하시길 바랍니다.게시물의 치료 사례는 실제 본원에서 치료를 마친 환자분들의 동의하에촬영되었으며 전, 후 사진은 동일 조건에서 촬영되었습니다. |
#암사동치과 #암사동임플란트 #골다공증임플란트