아카이브 요약
이 페이지의 역할
서울바르디치과의원의 네이버 블로그 원문을 보존한 아카이브 페이지입니다. 충치/ 보철 치료 카테고리의 망월동 치과 신경치료 후 보철 꼭 씌워야 하나요?? 글을 통해 병원의 한국어 정보 제공 방식과 진료 관련 안내 톤을 확인할 수 있습니다.
원문 검증
필요하면 원문 블로그와 병원 프로필로 바로 이동해 문맥을 다시 확인할 수 있습니다.
출처 아카이브 열기아카이브된 블로그 글
서울바르디치과의원 · Naver Blog
안녕하세요! 환자분들의 아픔에 공감하는 서울바르디치과 장태현 원장입니다. 씌우는 치료는 보험이 안되는건가요..?? 많은 분들이 여쭤보십니다. 아무래도 크라운 1개 가격이 나가다보니 ... 부담스러워 하시는 분들이 많습니다. 망월동 치과 신경치료 후 보철 꼭 씌워야 하나요?? 안씌우면 어떻게 되나요??...
게시일
2024년 7월 28일
원문 기준으로 확인된 발행일입니다.
카테고리
충치/ 보철 치료
원문 블로그 카테고리를 정리해 함께 표시합니다.
이미지 수
8
현재 아카이브에 연결된 이미지 수입니다.
아카이브 요약
서울바르디치과의원의 네이버 블로그 원문을 보존한 아카이브 페이지입니다. 충치/ 보철 치료 카테고리의 망월동 치과 신경치료 후 보철 꼭 씌워야 하나요?? 글을 통해 병원의 한국어 정보 제공 방식과 진료 관련 안내 톤을 확인할 수 있습니다.
원문 검증
필요하면 원문 블로그와 병원 프로필로 바로 이동해 문맥을 다시 확인할 수 있습니다.
출처 아카이브 열기안녕하세요!
환자분들의 아픔에 공감하는
서울바르디치과 장태현 원장입니다.
씌우는 치료는 보험이 안되는건가요..??
많은 분들이 여쭤보십니다.
아무래도 크라운 1개 가격이
나가다보니 ...
부담스러워 하시는 분들이 많습니다.
망월동 치과 신경치료 후 보철 꼭 씌워야 하나요??
안씌우면 어떻게 되나요??
이런 질문을 많이 해주시는데요.
이 질문에 대한 답변 드리겠습니다!!
3분만 집중해서 읽어주세요!!


22.04.21
왼쪽 아래가 씹을 때 불편해요
증상으로 망월동 치과를 내원하셨습니다.

22.04.21
치아가 많이 닳아지다 보니
신경 부분이 표면으로 노출되어
씹을 때마다 자극을 주었습니다.

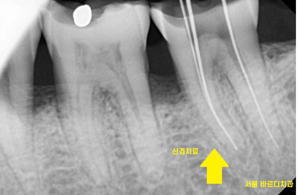
22.04.26
신경이 살아있기에
치아가 통증을 느끼는 거라서
많이 파인 치아를 망월동 치과에서
신경치료 하였습니다.

22.05.11
신경치료의 마무리는
보철을 씌우는 것으로 마무리됩니다.
신경을 제거하고나면
내부가 텅 비게 되는데
한마디로 텅빈 강정이 되어버립니다.
치아는 신경을 통해
영양분을 공급받는데
신경치료를 받게되면
신경을 제거하면서
영양공급이 끊겨버리기 때문이죠~!
신경치료 후 보철을 씌워주는 이유는
치아를 보호해주기 위해서인데요.

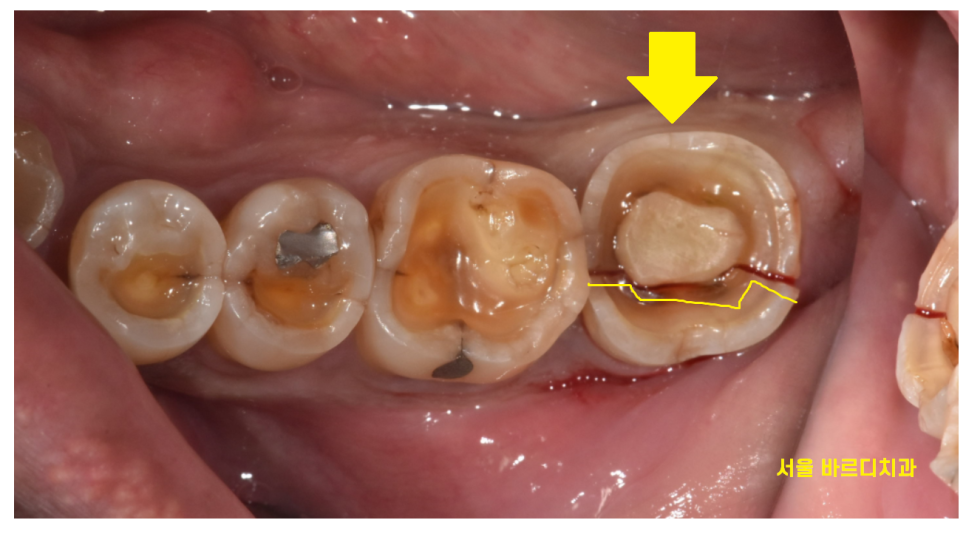
23.10.10
환자분께서는 신경치료 후 보철을 원하지 않으셨습니다.
그래서 신경치료를 위해 뚫어둔
구멍만을 메꿔서 치료를 마무리 해드렸습니다
환자분께는
신경치료 후 보철을 하지 않으면 발생할
문제점에 대하여 충분히 설명을 드렸습니다.
환자분 , 보철을 해주는 것은 치아를 보호하기 위해서입니다.
단단한 힘을 받게되면
치아가 금이가거나 부러질 수 있어요.
단단한 음식은 반드시 피해주세요!!
그리고 정확히 6개월뒤
환자분께서 망월동 치과를 다시 방문하셨습니다.
이가 갈라진것 같아요

23.10.16
네...
이가 반으로 갈라졌습니다.
이런 불상사를 방지하기 위하여
신경치료 후 보철을 해야한다고 말씀드리는거에요.
반드시 치료가 끝나고 꼭! 씌우는 것은 아닙니다.
예후가 좋지 않은
많이 안좋은 치아들은 그대로 쓰시라고도 말씀드립니다.
몇년 못쓸꺼같은
치아들 경우에는요.

23.10.16
결국 이가 반으로 갈라져서
환자분은 발치 후 임플란트 치료를 진행하셨답니다.
▼다른 보존치료 글 확인하기▼
https://blog.naver.com/implant_master/223518490213
▼망월동 치과 위치 확인▼
환자분을 위한 치료만 진행합니다.
불필요한 진료는 권유해드리지 않습니다.
신경치료 후 보철을 씌울지 안씌울지는
환자분 상황에 따라 달라집니다.
치아 상태에 대해서는
직접 보고 말씀드릴께요~~~
| 예약 전화하러 가기 |
|---|
| 02-481-4278 |
▼영상으로 요약▼
오늘은 망월동 치과를 방문해주신
안타까운 환자분의 이야기를 들려드렸습니다.
신경치료가 끝나고
치아를 덮어서 보호해주었더라면
최소 몇년은 더 자기 치아를 쓰실 수 있으셨을텐데 ..
개인적으로는
아쉬움이 남는 분입니다 .
조금 더 적극적으로 어필했어야했는데..
치과의사로써의 아쉬움이랄까요..?
이 글을 읽고 계신 환자분들은
알아가셨다면
그것으로 저는 만족합니다.
대표원장 장태현이었습니다!!
| 본 게시물은 의료광고 법 제56조 1항을 준수하여의료 정보 제공 및 병원 홍보 목적으로 서울 바르디 치과에서 직접 작성하였습니다.제공된 정보는 참고만 하실 것을 권유 드리며 증상 파악 및 정확한 관리 방법은 의료기관에 내원 후 의료진을 통해 안내받으시길 바랍니다.치과에서 진행되는 모든 시술 / 수술은 개인에 따라 (염증, 출혈, 부기 등) 가능성이 있습니다.사전에 의료진과 충분한 상담을 통해 결정하시길 바랍니다.게시물의 치료 사례는 실제 본원에서 치료를 마친 환자분들의 동의하에촬영되었으며 전, 후 사진은 동일 조건에서 촬영되었습니다. |
#망월동치과 #신경치료후보철