아카이브 요약
이 페이지의 역할
서울바르디치과의원의 네이버 블로그 원문을 보존한 아카이브 페이지입니다. 3D 네비게이션 임플란트 카테고리의 하남시청치과 치아 욱신거림 임플란트로 치료해드렸습니다. 글을 통해 병원의 한국어 정보 제공 방식과 진료 관련 안내 톤을 확인할 수 있습니다.
원문 검증
필요하면 원문 블로그와 병원 프로필로 바로 이동해 문맥을 다시 확인할 수 있습니다.
출처 아카이브 열기아카이브된 블로그 글
서울바르디치과의원 · Naver Blog
안녕하세요! 하남 주민분들의 평생 치아주치의 서울바르디치과 장태현 원장입니다. 오늘은 치아가 우리하다~ 느끼신 환자분 저희 병원에 방문하셔서 치료받으셨는데요. 욱신거림의 원인 과연 무엇 때문이었을까요? 하남시청치과 치아 욱신거림 임플란트로 치료해드렸습니다. 끝까지 집중해서 읽어주세요!!! 오른...
게시일
2024년 7월 29일
원문 기준으로 확인된 발행일입니다.
카테고리
3D 네비게이션 임플란트
원문 블로그 카테고리를 정리해 함께 표시합니다.
이미지 수
11
현재 아카이브에 연결된 이미지 수입니다.
아카이브 요약
서울바르디치과의원의 네이버 블로그 원문을 보존한 아카이브 페이지입니다. 3D 네비게이션 임플란트 카테고리의 하남시청치과 치아 욱신거림 임플란트로 치료해드렸습니다. 글을 통해 병원의 한국어 정보 제공 방식과 진료 관련 안내 톤을 확인할 수 있습니다.
원문 검증
필요하면 원문 블로그와 병원 프로필로 바로 이동해 문맥을 다시 확인할 수 있습니다.
출처 아카이브 열기안녕하세요!
하남 주민분들의 평생 치아주치의
서울바르디치과 장태현 원장입니다.
오늘은 치아가 우리하다~ 느끼신 환자분
저희 병원에 방문하셔서 치료받으셨는데요.
욱신거림의 원인 과연 무엇 때문이었을까요?
하남시청치과 치아 욱신거림 임플란트로 치료해드렸습니다.
끝까지 집중해서 읽어주세요!!!

오른쪽 아래 치아가 우리해요
양치하면 괜찮은데
밥먹고 나면 아파요

23.04.24
오른쪽 아래 치아가 우리~하다고 내원하신 분입니다.
욱씬거리다의 사투리인데요.
쑤시는 느낌을 받으시나봅니다.
그동안은 진통제를 먹으면서
버티셨다고 해요.
밥 먹을 때는 특히 아프지만
양치하고 나면 괜찮아서
그럭저럭 버티셨다고 하셨는데요.
하남시청치과에 방문해주셨을 때
잇몸 뼈가 많이 내려가신 상황이었습니다.


처음 x-ray를 찍어 보았을 때
기록해 두었던 내용입니다.
probing은 잇몸 깊이를 뜻합니다.
9mm , 7mm
잇몸 깊이가 깊네요~
일반적인 잇몸 깊이가 3-4mm니까
적어도 2-3배 더 깊다는 것인데요.
잇몸뼈가 많이 내려가서 그렇습니다.
mob의 경우 mobillity
(움직임)을 뜻합니다.
mob 1 < mob 3
숫자가 커질수록 더 많이 흔들린다는 뜻입니다.
그만큼 잇몸이 안좋다는 뜻인데요.

23.04.24
잇몸 깊이, 흔들림 정도를 비교해보았을 때
치아 욱신거림을 유발하는 치아
2개로 특정되었습니다.
치아 욱신거림의 원인
충치가 있어도 느껴지실 수 있지만
해당 환자분은 잇몸으로 인해
쑤시는 느낌을 받으셨네요~
다른 치아들도 안좋긴 하지만
치료해서 사용할 수 있을 정도

23.05.01
치아 욱신거림 일찍 오셨으면
2개의 치아도
치료해보면서 살려보았겠지만
▼잇몸 살리는 치료과정 보기▼
https://blog.naver.com/implant_master/223522841861
시기를 놓쳐서 발치 후
하남시청치과에서 임플란트 수술을 진행하였습니다.

23.05.01
하남시청치과에서는 임플란트 후
기다리는 기간동안
다른 치아 잇몸치료를 진행해드렸습니다.

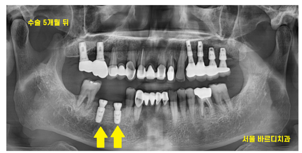
23.10.26
일반적으로는 아래 어금니는 3개월 뒤에
머리를 완성해드리지만
치아 욱신거림의 원인이
잇몸 이었던만큼
5개월정도
충분히 기다린 후 보철을 만들었습니다 .


23.11.02

23.11.09
치료 후 잇몸 염증이 많이 사라지긴 했지만
한번 내려간 잇몸의 경우
회복이 어렵습니다.
정기적으로 하남시청치과에 방문하셔서
임플란트와 잇몸
두가지 모두 관리하시기로 약속하셨답니다~
▼하남시청치과 위치 확인▼
단순히 치료를 끝내는 것이 아닌
치아를 오래 쓰게 하는 것이
저의 작은 목표입니다.
| 예약 전화하러 가기 |
|---|
| 02-481-4278 |
한분 한분 정성을 들여
진료를 하다보니
예약을 하고 오시면
기다리지 않게
바로 모시겠습니다!!
▼영상으로 요약▼
치아 욱신거림으로
진통제를 먹으며 버티고 계시지는 않으신가요?
결국은 약빨로 연명하고 계신겁니다.
약 효과가 떨어지면
즉시 이 쑤심은 재발할 것이기에
병원에 오셔서 진단 받아주세요~!!
대표원장 장태현이었습니다!!
| 본 게시물은 의료광고 법 제56조 1항을 준수하여의료 정보 제공 및 병원 홍보 목적으로 서울 바르디 치과에서 직접 작성하였습니다.제공된 정보는 참고만 하실 것을 권유 드리며 증상 파악 및 정확한 관리 방법은 의료기관에 내원 후 의료진을 통해 안내받으시길 바랍니다.치과에서 진행되는 모든 시술 / 수술은 개인에 따라 (염증, 출혈, 부기 등) 가능성이 있습니다.사전에 의료진과 충분한 상담을 통해 결정하시길 바랍니다.게시물의 치료 사례는 실제 본원에서 치료를 마친 환자분들의 동의하에촬영되었으며 전, 후 사진은 동일 조건에서 촬영되었습니다. |
#하남시청치과 #치아욱신거림