아카이브 요약
이 페이지의 역할
서울바르디치과의원의 네이버 블로그 원문을 보존한 아카이브 페이지입니다. 3D 네비게이션 임플란트 카테고리의 상일동 임플란트 치아 솟음으로 불편함을 느낄 때 글을 통해 병원의 한국어 정보 제공 방식과 진료 관련 안내 톤을 확인할 수 있습니다.
원문 검증
필요하면 원문 블로그와 병원 프로필로 바로 이동해 문맥을 다시 확인할 수 있습니다.
출처 아카이브 열기아카이브된 블로그 글
서울바르디치과의원 · Naver Blog
안녕하세요! 바르고 정직한 진료를 시행하는 서울바르디치과 장태현 원장입니다. 치아가 제자리에 딱! 고정되어 있을 것 같지만 조금씩 움직이는 것을 알고 계시나요? 오늘 환자분의 경우 그 미세한 차이를 느끼시고 방문해주신 분입니다. 상일동 임플란트 치아 솟음으로 불편함을 느낄 때 어떻게 해결해드렸는지 끝까지...
게시일
2024년 8월 1일
원문 기준으로 확인된 발행일입니다.
카테고리
3D 네비게이션 임플란트
원문 블로그 카테고리를 정리해 함께 표시합니다.
이미지 수
9
현재 아카이브에 연결된 이미지 수입니다.
아카이브 요약
서울바르디치과의원의 네이버 블로그 원문을 보존한 아카이브 페이지입니다. 3D 네비게이션 임플란트 카테고리의 상일동 임플란트 치아 솟음으로 불편함을 느낄 때 글을 통해 병원의 한국어 정보 제공 방식과 진료 관련 안내 톤을 확인할 수 있습니다.
원문 검증
필요하면 원문 블로그와 병원 프로필로 바로 이동해 문맥을 다시 확인할 수 있습니다.
출처 아카이브 열기안녕하세요!
바르고 정직한 진료를 시행하는
서울바르디치과 장태현 원장입니다.
치아가 제자리에 딱! 고정되어 있을 것 같지만
조금씩 움직이는 것을 알고 계시나요?
오늘 환자분의 경우
그 미세한 차이를 느끼시고
방문해주신 분입니다.
상일동 임플란트 치아 솟음으로 불편함을 느낄 때
어떻게 해결해드렸는지 끝까지 읽어주세요~

이가 시리고
치아가 솟은 느낌이에요

23.07.04
음식을 먹을 때마다
치아가 시리다는 환자분
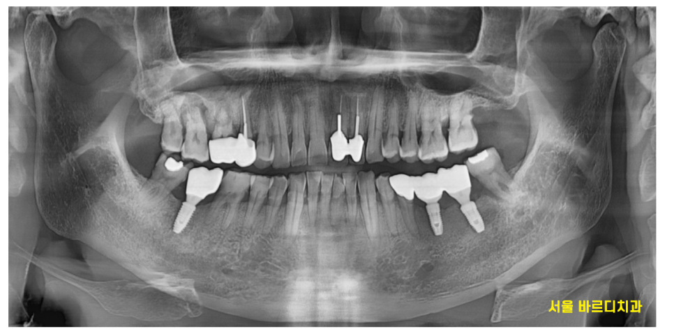
x-ray를 찍어보니
잇몸이 전반적으로 안좋으셨습니다.
그 중에서도 유독~~
눈에 보이는 한 부분이 있네요.

23.07.04
오른쪽 위에 치아가 뿌리 모양이 이상해보였습니다.
역시나 작은 사진을 통하여
검사를 해보니
뼈가 많이 녹았네요.
염증으로 인하여 잇몸 뼈가 녹고
그로 인하여 잇몸이 들뜨니
치아 솟음 느낌을 받으신거죠.
제 위치를 벗어나 솟구쳐서
불편하셨나봅니다.

23.07.04
실제로도 미세하게
치아 높이가 다르셨어요~

23.07.04
뼈가 적당히 녹았으면
해볼만한 치료가 많았을텐데
ct를 찍어보니
치아의 반 이상이 녹아서
발치 후 상일동역 치과에서 임플란트 하시기로 하였습니다.
▼상일동역 치과 위치 확인▼

23.08.22
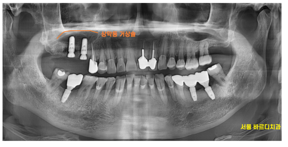
치아 솟음으로 문제를 일으킨
치아 두개를 뽑고
부족한 뼈를 이식하였습니다.
단단하게 땅을 만든 뒤
상일동역 임플란트를 식립
▼비슷한 케이스▼
치아 쪼개짐으로 상악동 거상술 동반한 임플란트.. : 네이버블로그 (naver.com)

24.01.04
상일동역 임플란트 수술 이후
6개월정도 기다렸습니다.

24.01.23
상일동역 임플란트의 원인이
치아 솟음이기에
잇몸뼈가 단단해질때까지
기다리고 기다렸습니다.
그동안 치아가 없는쪽으로
볼이 밀고 들어왔는데요.
(다음번에 자세히 말씀 드릴께요~)
그래서 보철을 만들 때
신경써서 만들어드렸습니다.

24.01.23
볼이 밀고 들어오다보면
음식을 씹으면서
볼까지 씹을 수 있기에
보철 각도도 제작해주시는 소장님과
여러번 회의끝에
만들어드리며 치료는 끝이 났습니다.
| 예약 전화하러 가기 |
|---|
| 02-481-4278 |
상일동역 치과에서 수술하는
임플란트
치료를 잘한다!의 기준을
환자분이 편안하게 쓰시는 것
그리고 뒤탈없게 만드는 것이 목표입니다.
▼영상으로 요약▼
오늘은 치아 솟음으로 인하여 제거
상일동역 임플란트를 하신 환자분의 이야기입니다.
환자분이 느끼시는 불편감
더이상 참지 마세요!
궁금하신 점은 언제든지 블로그 댓글을 통해
고민 상담 남겨주시길 바랍니다.
대표원장 장태현이었습니다!!
| 본 게시물은 의료광고 법 제56조 1항을 준수하여 의료 정보 제공 및 병원 홍보 목적으로 서울 바르디 치과에서 직접 작성하였습니다. 제공된 정보는 참고만 하실 것을 권유 드리며 증상 파악 및 정확한 관리 방법은 의료기관에 내원 후 의료진을 통해 안내받으시길 바랍니다. 치과에서 진행되는 모든 시술 / 수술은 개인에 따라 (염증, 출혈, 부기 등) 가능성이 있습니다. 사전에 의료진과 충분한 상담을 통해 결정하시길 바랍니다. 게시물의 치료 사례는 실제 본원에서 치료를 마친 환자분들의 동의하에 촬영되었으며 전, 후 사진은 동일 조건에서 촬영되었습니다. |
#상일동역임플란트 #치아솟음