아카이브 요약
이 페이지의 역할
서울바르디치과의원의 네이버 블로그 원문을 보존한 아카이브 페이지입니다. 3D 네비게이션 임플란트 카테고리의 강일동 치과 전남 완도에서 올라오셔서 발치 후 당일 임플란트 완료하였습니다. 글을 통해 병원의 한국어 정보 제공 방식과 진료 관련 안내 톤을 확인할 수 있습니다.
원문 검증
필요하면 원문 블로그와 병원 프로필로 바로 이동해 문맥을 다시 확인할 수 있습니다.
출처 아카이브 열기아카이브된 블로그 글
서울바르디치과의원 · Naver Blog
안녕하세요! 디지털 진료를 선두하는 서울바르디치과 장태현 원장입니다. 바르디치과에서는 지방에 계시는 부모님을 모시고 오시는 경우가 참 많습니다. 오늘 소개해드릴 환자분 역시 자녀 집에 있는 동안 치료를 하고 가신 분인데요. 강일동 치과 전남 완도에서 올라오셔서 발치 후 당일 임플란트 완료하였습니다. 지금부터...
게시일
2024년 8월 2일
원문 기준으로 확인된 발행일입니다.
카테고리
3D 네비게이션 임플란트
원문 블로그 카테고리를 정리해 함께 표시합니다.
이미지 수
9
현재 아카이브에 연결된 이미지 수입니다.
아카이브 요약
서울바르디치과의원의 네이버 블로그 원문을 보존한 아카이브 페이지입니다. 3D 네비게이션 임플란트 카테고리의 강일동 치과 전남 완도에서 올라오셔서 발치 후 당일 임플란트 완료하였습니다. 글을 통해 병원의 한국어 정보 제공 방식과 진료 관련 안내 톤을 확인할 수 있습니다.
원문 검증
필요하면 원문 블로그와 병원 프로필로 바로 이동해 문맥을 다시 확인할 수 있습니다.
출처 아카이브 열기안녕하세요!
디지털 진료를 선두하는
서울바르디치과 장태현 원장입니다.
바르디치과에서는 지방에 계시는
부모님을 모시고 오시는 경우가 참 많습니다.
오늘 소개해드릴 환자분 역시
자녀 집에 있는 동안 치료를 하고 가신 분인데요.
강일동 치과 전남 완도에서 올라오셔서 발치 후 당일 임플란트 완료하였습니다.
지금부터 끝까지 집중해서 읽어주세요!

왼쪽이 시골 치과에서 약을 받아 먹었는데
계속 아파요

24.02.26
전남 완도에서 거주하고 계신 환자분
서울에 따님 집에 도와주러 오셨다가
급하게 sos를 요청해주셨는데요.

24.02.26
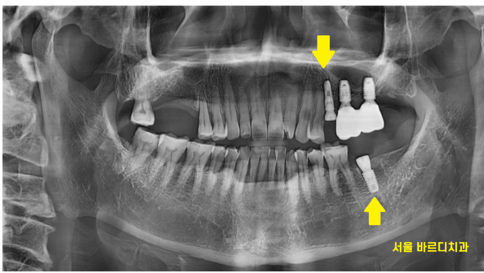
오른쪽 위에 부분은 발치 된지 오래된 상태
치아가 없어서 주로 왼쪽으로 식사를 하다보니
왼쪽이 불편하다고 하셨습니다.
약을 먹어도 통증이 잡히지 않아
급하게 강일동 치과를 방문해주셨어요.


24.02.27
문제가 있어보이는 치아 2개
너무 아파서 발치를 원하셨습니다.
전남 완도 치과에서도
뽑아야한다 했는데
약을 먹고 버티고 계셨다 하셨습니다.
뿌리쪽 충치라 예후도 안좋고
염증으로 인하여 치아가 흔들려서
발치를 해야한다 환자분을 설득 드렸죠..

24.02.27
강일동 치과에서는 환자분이 멀리서 오셨기에
발치 후 당일 임플란트 수술을 진행해드릴 수 있다
설명드렸는데요.
오른쪽은 치아 상실
왼쪽은 통증
치과 치료의 우선순위에 있어
통증 해결이 1순위라
문제 치아를 뽑고
발치 후 당일 임플란트 수술 완료해드렸습니다.
▼강일동 치과 위치 확인▼
디지털 장비를 사용한 꼼꼼한 분석으로
당일 임플란트가 가능한 서울 바르디 치과!
5호선 상일동역에 치과가 위치합니다.

24.03.15
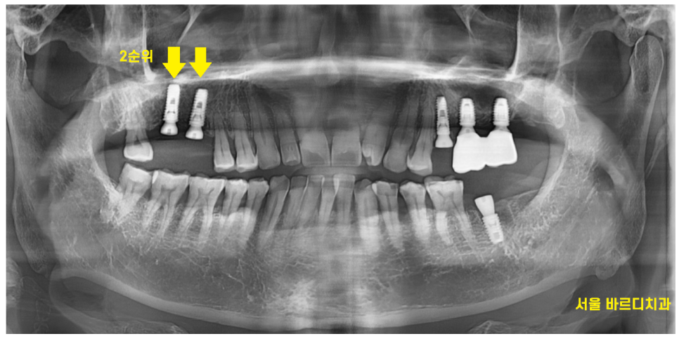
일주일 뒤 수술한 왼쪽 부위 실밥을 뽑는 날
오른쪽 치아가 없던 부위
수술까지 진행하고 가셨는데요.
이왕 서울 올라온김에
방치해둔 왼쪽까지 치료하고 싶다 하셨습니다.

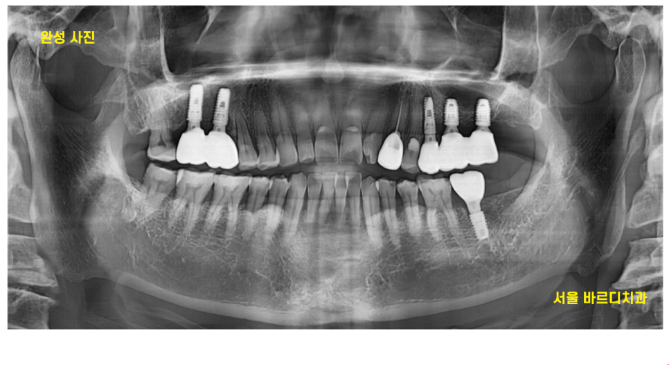
24.07.11
전남 완도에 사시기에
강일동 치과 내원 횟수를 최소한으로
오신 날에 최대한 진료를 많이 진행해드렸는데요.
3월에 수술하고
4개월만에 치료 완료해드렸습니다.
| 발치 후 당일 임플란트 예약 전화하러 가기 |
|---|
| 02-481-4278 |
▼영상으로 요약▼
오늘은 발치와 동시에 수술을 진행한
환자분의 케이스를 소개해 드렸습니다.
전남 완도에도 강일동 치과를 방문해주십니다.

약 427km
대장정이셨을텐데요.
먼 시간이 걸려
저희 병원을 방문해주셔서 감사했습니다!
거리가 멀더라도
치료를 주저 하지 않겠습니다
환자분 상황에 맞춰 치료를 진행해드리는
저의 이름은
대표원장 장태현입니다.
| 본 게시물은 의료광고 법 제56조 1항을 준수하여의료 정보 제공 및 병원 홍보 목적으로 서울 바르디 치과에서 직접 작성하였습니다.제공된 정보는 참고만 하실 것을 권유 드리며 증상 파악 및 정확한 관리 방법은 의료기관에 내원 후 의료진을 통해 안내받으시길 바랍니다.치과에서 진행되는 모든 시술 / 수술은 개인에 따라 (염증, 출혈, 부기 등) 가능성이 있습니다.사전에 의료진과 충분한 상담을 통해 결정하시길 바랍니다.게시물의 치료 사례는 실제 본원에서 치료를 마친 환자분들의 동의하에촬영되었으며 전, 후 사진은 동일 조건에서 촬영되었습니다. |
#강일동치과 #발치후당일임플란트