아카이브 요약
이 페이지의 역할
서울바르디치과의원의 네이버 블로그 원문을 보존한 아카이브 페이지입니다. 3D 네비게이션 임플란트 카테고리의 고덕역 치과 치아뿌리 파절 부러짐 있을 때 임플란트로 대체해야죠 글을 통해 병원의 한국어 정보 제공 방식과 진료 관련 안내 톤을 확인할 수 있습니다.
원문 검증
필요하면 원문 블로그와 병원 프로필로 바로 이동해 문맥을 다시 확인할 수 있습니다.
출처 아카이브 열기아카이브된 블로그 글
서울바르디치과의원 · Naver Blog
안녕하세요! 바르고 정직한 진료를 시행하는 서울바르디치과 장태현 원장입니다. 오늘은 딱딱한 음식을 먹지 말아야하는 이유를 환자분 사례를 통해 안내해드릴까 합니다. 고덕역 치과 치아뿌리 파절 부러짐 있을 때 임플란트로 대체해야죠 딱딱한 음식을 잘못 먹어 문제가 생긴 환자분의 사연입니다. 딱딱한거 먹...
게시일
2024년 8월 4일
원문 기준으로 확인된 발행일입니다.
카테고리
3D 네비게이션 임플란트
원문 블로그 카테고리를 정리해 함께 표시합니다.
이미지 수
8
현재 아카이브에 연결된 이미지 수입니다.
아카이브 요약
서울바르디치과의원의 네이버 블로그 원문을 보존한 아카이브 페이지입니다. 3D 네비게이션 임플란트 카테고리의 고덕역 치과 치아뿌리 파절 부러짐 있을 때 임플란트로 대체해야죠 글을 통해 병원의 한국어 정보 제공 방식과 진료 관련 안내 톤을 확인할 수 있습니다.
원문 검증
필요하면 원문 블로그와 병원 프로필로 바로 이동해 문맥을 다시 확인할 수 있습니다.
출처 아카이브 열기안녕하세요!
바르고 정직한 진료를 시행하는
서울바르디치과 장태현 원장입니다.
오늘은 딱딱한 음식을 먹지 말아야하는 이유를
환자분 사례를 통해 안내해드릴까 합니다.
고덕역 치과 치아뿌리 파절 부러짐 있을 때 임플란트로 대체해야죠
딱딱한 음식을 잘못 먹어 문제가 생긴
환자분의 사연입니다.

딱딱한거 먹고 치아가 씹을때마다 아파요

23.10.17
3년만에 치과를 방문해주신 환자분 사진입니다.
그동안은 바쁘기도 하고
불편한게 없어서 안오셨다고 하네요.
최근에 아몬드를 씹고 나서
치아가 계속 아프다고 하셨는데요.
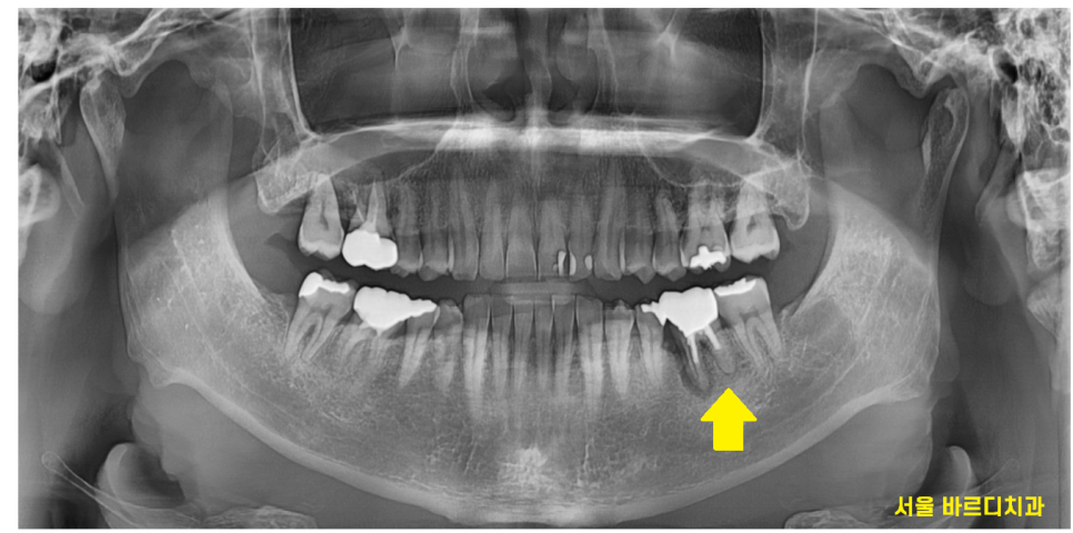
큰 사진에서도 문제가 많아보였습니다.


23.10.17
딱봐도 이상해보이는 치아를
정밀하게 검사해보니
치아뿌리 파절, 부러짐이 확인되었습니다.
그 상태에서 자꾸 씹다보니
뿌리 주변 뼈가 녹아서
까맣게 보이네요~

23.10.17
"환자분 혹시 치료할 때 딱딱한 음식 피하라고 들으시지 않으셨나요~?"
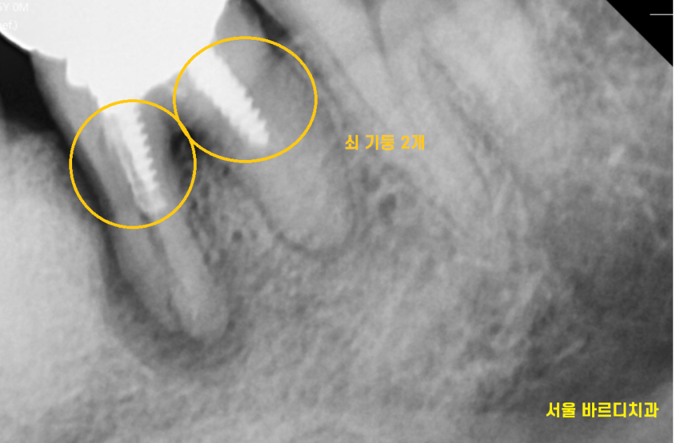
x-ray 사진을 보면서 다시 여쭤보았습니다.
왜냐면 치아가 남아있는 양이 별로 없을 때
기둥을 세워 보강하는데
2개나 있었거든요ㅠㅠ
그만큼 남아있는 치아의 양이 없다는 것으로
치아가 약했다는 것을 뜻합니다.
"맞아요 원장님, 딱딱한거 피하라했는데
아차 했지 뭐에요!"
치아뿌리 파절이 수직으로 쫘악 금이가서
부러짐 발생했습니다.
이런 경우 치료 방법이 발치하는 수밖에 없는데

23.10.17
문제의 치아
환자분께서 직장생활 때문에
시간 내기가 어렵다 하셨습니다.
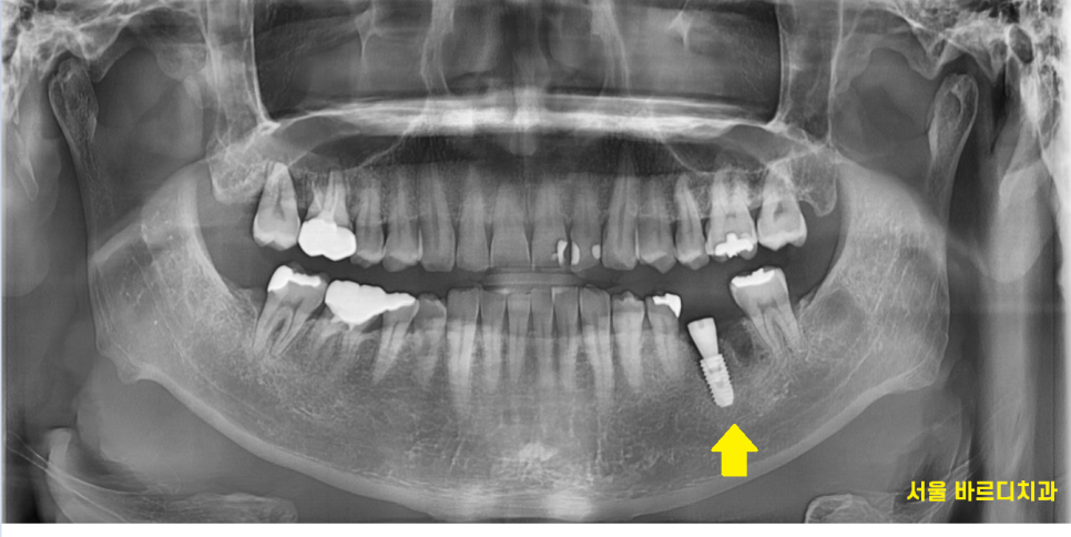
그래서 치아뿌리 파절된 부위를 발치
그리고 당일 바로 임플란트를 하기로
고덕역 치과에서 상담해드렸습니다.
▼고덕역 치과 위치 확인▼

23.10.17
고덕역 치과 방문하신 당일
진단, 상담, 치료까지 완료해드렸습니다.
치아뿌리 파절 제거
그리고 임플란트까지~~
| 당일 예약 전화하러 가기 |
|---|
| 02-481-4278 |

24.01.16
치아 뿌리 파절된 치아를 치료하는 동안
반대편 치아에도 문제가 생겼는데요.
이어서 진료한 이야기
다음편에서 계속 해드리겠습니다.
그러니까 제 글 계속해서 봐주셔야합니다~
"이웃 추가 부탁드려요"
▼영상으로 요약▼
오늘은 딱딱한 음식을 즐겨드시다
치아뿌리 파절 부러짐 발생한
환자분의 이야기를 해드렸습니다.
▼딱딱한 음식을 피해야하는 사례2▼
어금니 금감 발치 후 임플란트 풍산동 치과에서.. : 네이버블로그 (naver.com)
고덕역 치과에서는 하루에도 몇번씩
단단한 음식을 먹다
탈이 생기는 경우를 많이 볼 수 있는데요.
맛있지만
치아에는 최악입니다.
이 글을 보는 환자분들께서는
되도록 자기 치아를 지켜주시길 바라면서
이 글을 마무리하겠습니다.
궁금하신 점은 언제든지 블로그 댓글을 통해 남겨주세요.
대표원장 장태현이었습니다!!
| 본 게시물은 의료광고 법 제56조 1항을 준수하여의료 정보 제공 및 병원 홍보 목적으로 서울 바르디 치과에서 직접 작성하였습니다.제공된 정보는 참고만 하실 것을 권유 드리며 증상 파악 및 정확한 관리 방법은 의료기관에 내원 후 의료진을 통해 안내받으시길 바랍니다.치과에서 진행되는 모든 시술 / 수술은 개인에 따라 (염증, 출혈, 부기 등) 가능성이 있습니다.사전에 의료진과 충분한 상담을 통해 결정하시길 바랍니다.게시물의 치료 사례는 실제 본원에서 치료를 마친 환자분들의 동의하에촬영되었으며 전, 후 사진은 동일 조건에서 촬영되었습니다. |
#고덕역치과 #치아뿌리파절 #치아부러짐