안녕하세요!
정직한 치과의사
서울바르디치과 장태현 원장입니다.
지난 시간 치아 뿌리가 부러진 환자분
소개해드렸었는데요.
▼지난 글 읽고오기▼
고덕역 치과 치아뿌리 파절 부러짐 있을 때 임.. : 네이버블로그 (naver.com)
지난 글에서 예고해드렸다 싶이
2편을 준비했습니다.
강동구 임플란트 뿌리 염증 심해질경우 대처 방법
어떻게 치료해드렸을지
시작합니다!!

오른쪽 위에 치아가 시려요

23.10.17
왼쪽 아래 임플란트를 치료중에
환자분께서 오른쪽 불편함을 호소하셨습니다.
처음 내원 시부터 치아가 흔들흔들 거리긴 했지만
잇몸이 안좋다 보니
잇몸치료 하면서 지켜보는 수밖에 없었습니다.
잠깐 정보를 알려드리자면
해당 환자분은 3년만에 치과를 방문하신 분이였습니다.
이전 치과에서도 오른쪽 위에 치아가 안좋으니
관리하며 계속 써야한다 들으셨다 하셨는데요.
바쁘다보니 때를 놓치고
악화된 것이지요.

23.11.20
잇몸이 내려가 흔들거리긴 하였지만
강동구 임플란트 과정 중에
왼쪽이 치아 1개가 없어서
오른쪽 치아로 주로 씹다보니
더 불편하실 수 있다.
잇몸치료를 하며 최대한 살려보려고
노력했습니다.

24.01.16
왼쪽 아래 강동구 임플란트 치료중
계속하여 경과관찰을 하였는데요.
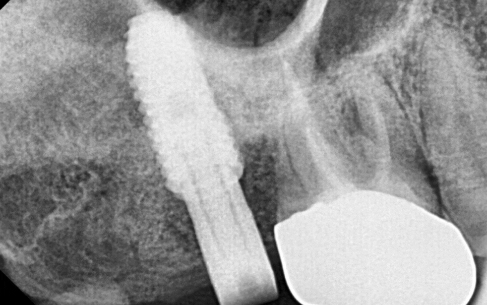
ct속 문제의 치아
뼈가 내려가다못하여
뿌리 염증까지 심해져서
이제 시기가 되었습니다.
놓아줄 시기가 되었다는 뜻이죠ㅠㅠ

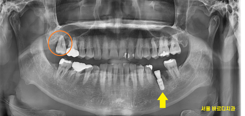
24.01.16
오른쪽 아래 임플란트 치료가 끝나자마자
왼쪽 강동구 임플란트 식립하였습니다.
잇몸뼈 내려감
뿌리 염증
2가지 원인으로 잇몸뼈가 많이 없었는데요.
깨끗하게
염증을 제거하고
부족한 뼈를 이식하여 치료를 진행하였습니다.

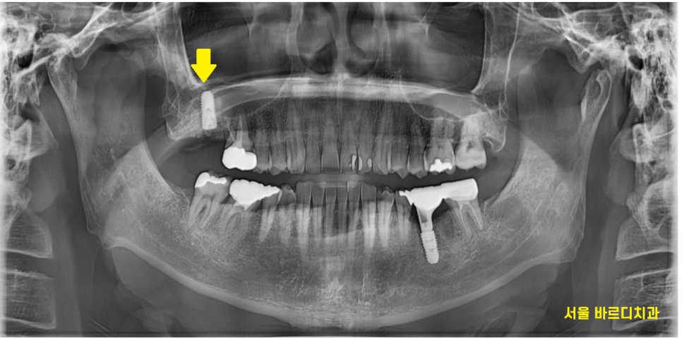
24.02.16
동그랗게 뼈가 올라간 것이
잘 보이시죠~?

24.06.07
4개월 정도 충분히 기다려준 후
기둥을 만들어 주었습니다.
▼맞춤 기둥 제작 과정▼
https://blog.naver.com/implant_master/223442537283

24.06.27
강동구 임플란트 보철까지 완성된 사진입니다.
보철 크기가 옆에 금니에 비하여
작게 느껴지실텐데요.
치료가 끝나고 환자분들이 많이 여쭤보시는
질문중에 하나입니다.
이 질문에 대한 해결법
다음시간에 알려드릴테니
열심히 쓰라고 응원 댓글 한번 부탁드리겠습니다.
▼위치 확인▼
디지털 장비를 사용한
임플란트 수술을 추구하는 서울 바르디치과
5호선 상일동역에 치과가 위치합니다.
| 예약 전화하러 가기 |
|---|
| 02-481-4278 |
▼영상으로 요약▼
오늘은 강동구 임플란트 이어서 진행한
환자분의 이야기였습니다.
모든 치료에는 시기라는 것이 존재하는 것 같습니다.
안좋은 치아도 무조건 뽑기보다는
치과의사와 상의하면서
적정한 시기에 뽑고 치료하는 것이
환자분을 만족시키면서
최상의 결과를 도출한다는 생각이 듭니다.
다음 시간은 임플란트 보철 크기에 관한
내용을 다룰 예정입니다.
궁금하신 점은 언제든지 블로그 댓글을 통해 남겨주세요.
대표원장 장태현이었습니다!!
| 본 게시물은 의료광고 법 제56조 1항을 준수하여의료 정보 제공 및 병원 홍보 목적으로 서울 바르디 치과에서 직접 작성하였습니다.제공된 정보는 참고만 하실 것을 권유 드리며 증상 파악 및 정확한 관리 방법은 의료기관에 내원 후 의료진을 통해 안내받으시길 바랍니다.치과에서 진행되는 모든 시술 / 수술은 개인에 따라 (염증, 출혈, 부기 등) 가능성이 있습니다.사전에 의료진과 충분한 상담을 통해 결정하시길 바랍니다.게시물의 치료 사례는 실제 본원에서 치료를 마친 환자분들의 동의하에촬영되었으며 전, 후 사진은 동일 조건에서 촬영되었습니다. |
#강동구임플란트