안녕하세요!
요즘 많은 분들이 찾아와주셔서
행복한 나날을 보내고있는
행복한 치과의사
서울바르디치과 장태현 원장입니다.
▼지난 시간 글▼
https://blog.naver.com/implant_master/223537787695
지난 시간 잠깐 언급해드렸듯
고덕역 근처 치과 임플란트 크라운 크기 크면 다 좋을까요??
오늘은 임플란트 보철에 대한 이야기입니다.

왜이렇게 임플란트 크라운 크기가 작아요?
이래서 씹히겠나

24.06.27
임플란트 완성이 되었다고 말씀드리면
고덕역 근처 치과 방문해주신 환자분들께서
많이 물어보시는 질문입니다. ㅎㅎ
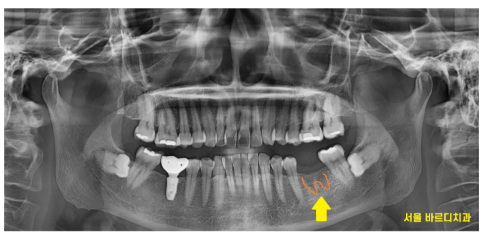
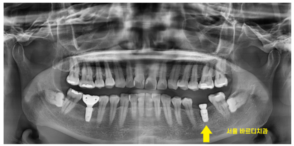
왜이렇게 작아요??
사진을 보시면 아시겠지만
일반적으로 임플란트 크라운 크기
자연치에 비하여 작게 느껴지실텐데요.
실제로도 작게 만들어드립니다.
이유는 이 글 끝부분에 나오니까
끝까지 따라오세요~!

23.12.19
일반적으로 어금니를 막 뽑은 상태면
뿌리 형태가 남아있습니다.
어금니의 뿌리는 3-4개 정도 되는데요.
그렇지만 임플란트는 뿌리가 따로 없죠?

임플란트는 1개로 들어가게 됩니다.

24.01.11
위에 사진처럼 말이죠.
임플란트의 폭경
그러니까 가로 넓이가
일반 치아에 비하여
작습니다.

24.01.11
그래서 임플란트 크라운 크기
자연 치아에 비해 작습니다.
커스텀 어버트먼트라 하여
맞춤 기둥으로 제작하게 되면
좀 더 크게 만들 수 있긴 한데...
그것도 한계라는 것이 존재합니다.
▼커스텀 어버트먼트 글▼
임플란트 기둥 맞춤으로 어느 한 과정도 놓칠 .. : 네이버블로그 (naver.com)
애초에 임플란트 크라운 크기
작게 만드니까요.
일반적으로 80-90%정도
작게 제작됩니다.
오래 사용하기 위하여!!
임플란트 수명을 늘리기위한
하나의 방법인데요.

24.01.11
임플란트는 뼈에 고정되어있습니다.
자연치와 다른 특징중 하나가
충격을 흡수해주는 인대가 없다는 것이에요.
뼈에 고정되어 있는데다가
충격을 흡수해주는 장치까지 없으니
음식을 씹을때마다 충격이 고스란히 받게됩니다.
위아래로 씹는 힘에는 강하지만
좌우로 가는 힘에는 약합니다.

24.06.27
그래서 임플란트 후에
딱딱한 음식을 피하라고 하는 것은
이 옆으로 가는 힘을 줄여주기 위해서입니다.
그렇다면 보철물 크기가 크게 만들면
어떻게 될까요???
보철을 크게 만든다고 좋은게 아니에요~
과도한 힘이 임플란트에 자꾸 가해지게 되어서
임플란트 나사가 풀리거나
임플란트 뼈가 녹을 수 있습니다.
▼오늘의 결론▼
| 1) 임플란트 직경 자체가 자연치아에 비하여 작기 때문에 |
|---|
| 2) 교합력 분산을 위하여 |
임플란트 크라운 크기
고덕역 근처 치과에서는 작게 만들어드립니다!!
그렇지만 씹는 기능에는
전혀~~ 문제가 없다!!!
▼고덕역 근처 치과 위치 확인▼
디지털 장비를 사용한 꼼꼼한 분석으로
근거 기반의 진료를 시행합니다.
5호선 상일동역.
고덕역 근처 치과입니다.
| 예약 전화하러 가기 |
|---|
| 02-481-4278 |
▼영상으로 요약▼
오늘은 임플란트 머리
왜 자연치아에 비하여 작을까?
주제로 이야기 나눠봤습니다.
궁금하신 점은 언제든지 블로그 댓글을 통해 남겨주세요.
임플란트 관련한 궁금증
제가 모두 해결해드리겠습니다.
대표원장 장태현이었습니다!!
| 본 게시물은 의료광고 법 제56조 1항을 준수하여의료 정보 제공 및 병원 홍보 목적으로 서울 바르디 치과에서 직접 작성하였습니다.제공된 정보는 참고만 하실 것을 권유 드리며 증상 파악 및 정확한 관리 방법은 의료기관에 내원 후 의료진을 통해 안내받으시길 바랍니다.치과에서 진행되는 모든 시술 / 수술은 개인에 따라 (염증, 출혈, 부기 등) 가능성이 있습니다.사전에 의료진과 충분한 상담을 통해 결정하시길 바랍니다.게시물의 치료 사례는 실제 본원에서 치료를 마친 환자분들의 동의하에촬영되었으며 전, 후 사진은 동일 조건에서 촬영되었습니다. |
#고덕역근처치과 #임플란트크라운크기