안녕하세요!
바르고 정직한 진료를 시행하는
서울바르디치과 장태현 원장입니다.
모든 치료에는 수명이 있습니다.
예전에 했던 보철물이 문제가 생긴 환자분을
소개해드릴까해요.
미사 임플란트 금니 빠짐 보철물 빠졌을 때 대처법 알려드려요
과연 붙일 수 있었을까요~?
끝까지 집중해서 읽어주세요!

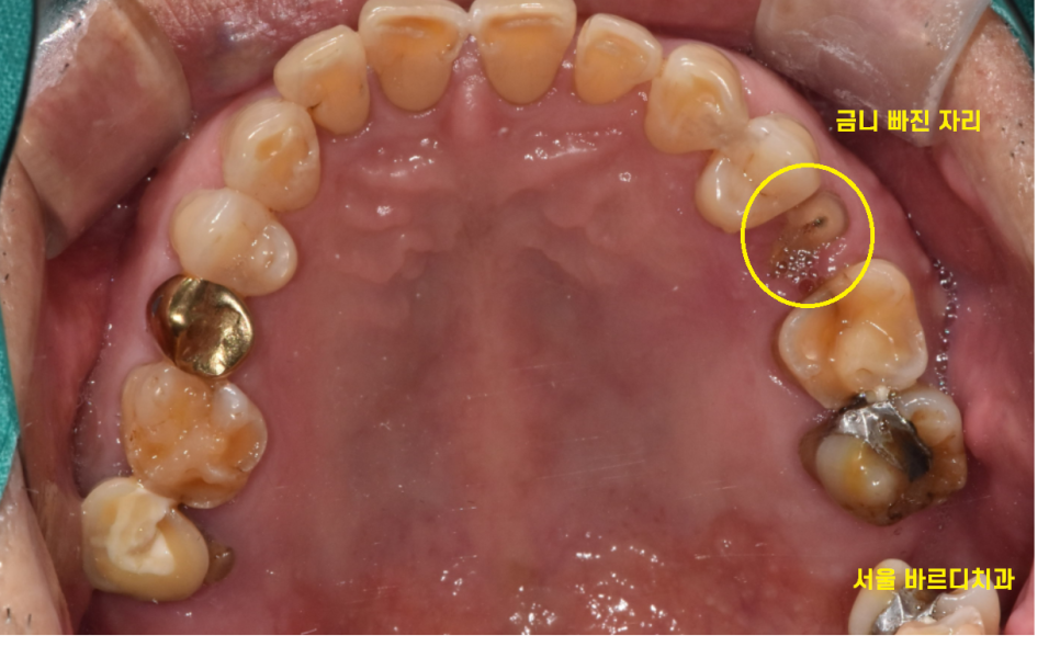
금니 빠졌어요.
다시 붙여주세요

23.11.01
오래전 하셨던 금니 보철물이 빠져
내원한 환자분입니다.
보통 명절이나 주말이 지나고 나면
많이들 금니 빠짐
보철물 빠졌을 때 어떻게 해요?
전화들을 많이 주십니다.
일반적으로는 보철만 쏙 빠지면
그대로 붙여드리면 되는데요.

23.11.01
금니 빠짐 부위가 치아와 함께
부러졌네요ㅠㅠ
보철물 빠졌을 때 대처법으로
-
그대로 붙인다
-
보철을 다시 한다.
-
미사 임플란트를 한다.
3가지의 해결법이 있습니다 .
충치가 없고 깨끗하면 그대로 붙이고
보철물에 변형이 생겼거나
충치가 있을 경우 다시 새로 만들고
오늘 환자분처럼 완전히 부러지면...
미사 임플란트를 진행하여야합니다.

23.11.14
치아 부러진 부위가 너무 커서
발치할 수 밖에 없었는데요.
아무리 보강을 해서 새로 만들어 드려도
치아의 씹는 힘은
어금니의 경우 700kg 정도의 힘을 받습니다.
때문에 비용을 들이고
시간을 들여 치료하였을 때
오래 못쓸꺼 같으면
발치하고 미사 임플란트 하는 쪽으로
상담을 진행해드리고 있습니다.

23.11.14
치아가 부러져서 뽑는 경우에는
잇몸뼈가 좋기 때문에
바로 임플란트를 심어드렸습니다.
▼발치 후 당일 임플란트 케이스▼
https://blog.naver.com/implant_master/223534562694

24.02.07
금니 빠짐으로 내원하셨고
임플란트 치료로 완료해드렸습니다.
기존 금니는 웃을 때 보이실 수 있어서
요즘 대세
하얀 색깔 보철로 치료를 끝내드렸습니다.

24.02.07
완성~!
▼미사 임플란트 치과 위치 확인▼
디지털 장비를 사용하여
오차없는 진료를 시행합니다.
오전에 전화만 주시면
환자분 상황에 맞추어
최대한 당일 임플란트 진행해드립니다.
| 예약 전화하러 가기 |
|---|
| 02-481-4278 |
▼영상으로 요약▼
오늘은 발치와 동시에 수술을 진행한
환자분의 케이스를 소개해 드렸습니다.
앞으로도 블로그를 통해 자주 소통하겠습니다.
궁금하신 점은 언제든지 블로그 댓글을 통해 남겨주세요.
대표원장 장태현이었습니다!!
| 본 게시물은 의료광고 법 제56조 1항을 준수하여의료 정보 제공 및 병원 홍보 목적으로 서울 바르디 치과에서 직접 작성하였습니다.제공된 정보는 참고만 하실 것을 권유 드리며 증상 파악 및 정확한 관리 방법은 의료기관에 내원 후 의료진을 통해 안내받으시길 바랍니다.치과에서 진행되는 모든 시술 / 수술은 개인에 따라 (염증, 출혈, 부기 등) 가능성이 있습니다.사전에 의료진과 충분한 상담을 통해 결정하시길 바랍니다.게시물의 치료 사례는 실제 본원에서 치료를 마친 환자분들의 동의하에촬영되었으며 전, 후 사진은 동일 조건에서 촬영되었습니다. |
#미사임플란트 #금니빠짐 #보철물빠졌을때