안녕하세요!
환자분들의 미소를 되찾아드리고 싶은
서울바르디치과 장태현 원장입니다.
어느날 갑자기 치아가 움직이는 것 같고
아픔이 느껴지면 당황스럽고
불안하실텐데요.
걱정도 많이 되실꺼고요.
발치후 치료가 필요한경우
정리를 한번 해보았습니다.
고덕동 치과 어금니 흔들림과 통증 임플란트가 답일 때!
집중해주시길 바랍니다~!


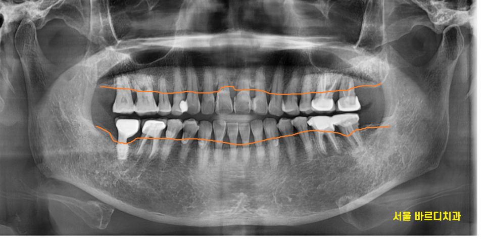
위 큰어금니 흔들림
이가 흔들려 내원한 환자분입니다.

23.10.04
치아가 흔들린다는 것은
엑스레이를 찍어보지 않아도
아.. 잇몸이 안좋으시겠구나
예측할 수 있었는데요.
역시나 잇몸뼈가 많이 내려간 것을 확인하였습니다.

23.09.26
그중에서도 왼쪽 맨 끝에 치아가 심각했습니다.
뿌리를 감싸고 있는 뼈가
까맣게 보이네요~
염증으로 많이 녹기도 하였고
어금니 흔들림을 동반한 통증
느끼실만큼 많이 상하였습니다.

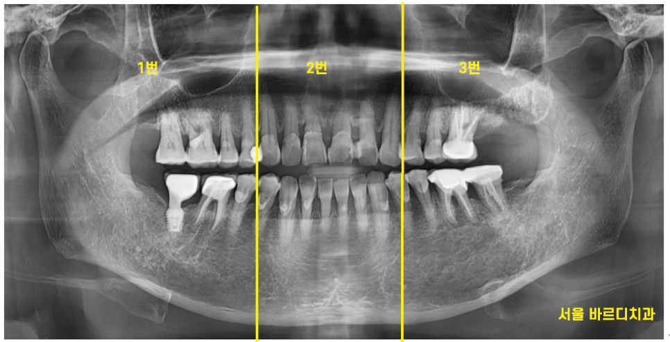
심각한 왼쪽 맨 위 치아 1개를 발치하고
어금니 흔들림 최소화 하기 위하여
나머지 치아들은 잇몸치료 하면서
써보기로 하였습니다.
▼잇몸치료 자세한 글 보러 가기▼
https://blog.naver.com/implant_master/223521900587
그렇게 잇몸치료를 하면서 쓰다가

23.11.23
반대편 치아도 결국은 버텨내지를 못했습니다.
잇몸치료는 어금니 흔들림을 근본적으로
해결해주지는 못하는데요.
브레이크 밟는 역할을 할뿐이죠.
잇몸 건강은 갑자기가 아니고
평소에 꾸준~~하게 관리를 해주어야하는 부분입니다.

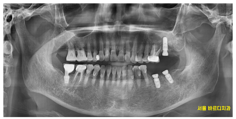
23.12.22
일반적으로 임플란트가 완성되는데 소요되는 기간
윗 어금니의 경우 4~6개월
아래 치아는 2~3개월 입니다.
어금니 흔들림과 통증이 동반되어
먼저 발치한 윗니
고덕동 치과에서 임플란트를 시행

24.02.16
2개월 뒤 아래 치아 수술도
고덕동 치과에서 임플란트 완료하였습니다.

24.05.08
수술 시점은 달랐지만
윗니 아랫니 완성은 한번에 해드렸는데요.
문제 있는 치아를 속시원하게 발치하고
고덕동 치과에서 임플란트로 진행하였기에
이제 통증으로부터 안녕~

24.05.08
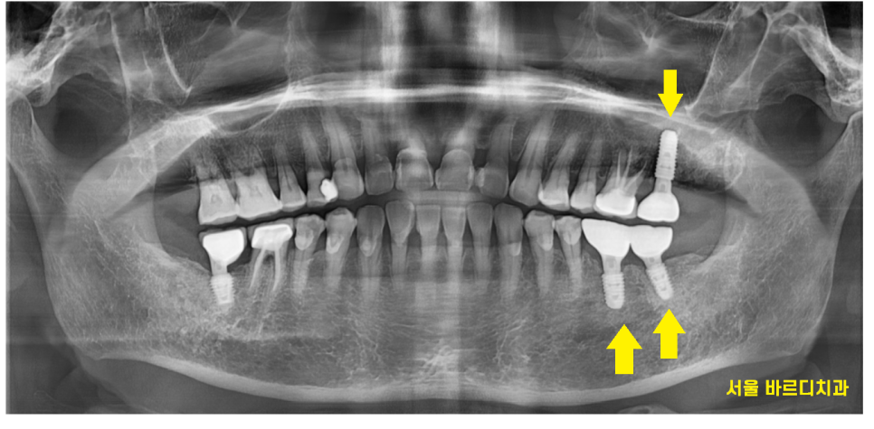
고덕동 임플란트 완성사진입니다.
잇몸 문제는 발치가 답일 때가 많습니다.
자연치아는 최대한 살리고싶은 저이지만
시기를 놓쳐서 방문한 경우
어쩔 수가 없는데요
이 글을 지금 보고 계시다면
어금니 통증 느끼시기 전에
미리미리 치과 방문은 필수~~
치과는 통증을 느끼시면 늦은겁니다!!
▼고덕동 치과 위치 확인▼
차를 가지고 내원하시는 분들은
고덕로 385를 찍어주세요~
고덕동 치과로 방문하실 수 있습니다 .
| 예약 전화하러 가기 |
|---|
| 02-481-4278 |
▼영상으로 요약▼
오늘은 어금니 흔들림과 동시에
통증도 느끼셔서 고덕동 치과를 방문하신 환자분의 이야기였습니다.
모든 치료는 적절한 시기라는 것이 존재하는데요.
잇몸은 6개월에 한번씩 입니다.
치과 오신지가 언제인지도 모르시겠다면
서울 바르디치과에 내원해주시길 바랍니다.
제 얼굴을 까먹으신 분도
내원해주시면 감사하겠습니다.
치과의사 장태현이었습니다!!
| 본 게시물은 의료광고 법 제56조 1항을 준수하여의료 정보 제공 및 병원 홍보 목적으로 서울 바르디 치과에서 직접 작성하였습니다.제공된 정보는 참고만 하실 것을 권유 드리며 증상 파악 및 정확한 관리 방법은 의료기관에 내원 후 의료진을 통해 안내받으시길 바랍니다.치과에서 진행되는 모든 시술 / 수술은 개인에 따라 (염증, 출혈, 부기 등) 가능성이 있습니다.사전에 의료진과 충분한 상담을 통해 결정하시길 바랍니다.게시물의 치료 사례는 실제 본원에서 치료를 마친 환자분들의 동의하에촬영되었으며 전, 후 사진은 동일 조건에서 촬영되었습니다. |
#고덕동치과 #고덕동임플란트 #어금니흔들림 #어금니통증