안녕하세요!
바르고 정직한 진료를 시행하는
서울바르디치과 장태현 원장입니다.
환자분들을 보다보면
50대 이상 환자분들은
앞니를 브릿지로 치료한 경우를 참 많이 보았습니다.
그 당시 기술로는 임플란트가 대중화 되지 않았으니
이가 빠져도
벌어져도
모든 치료를 브릿지로만! 해결했던 것인데요.
오래 쓰다보니 문제가 생긴 분들이 많습니다.
오늘은 하남미사치과 앞니 브릿지를 임플란트로 교체했습니다.
교체한 환자분 이야기를 들려드릴께요~~

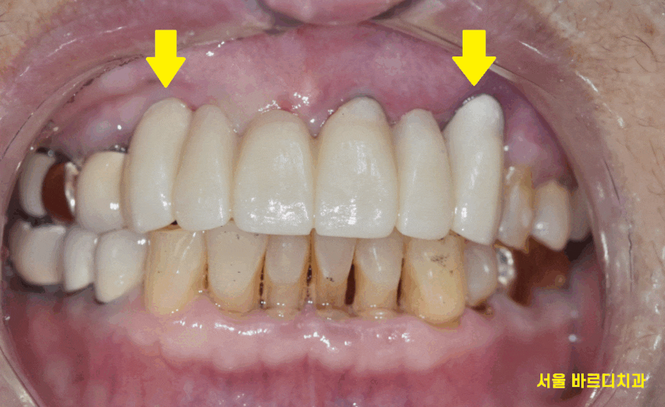
앞니 브릿지 다시 해야해요.

24.03.06
아주 오래전 앞니를 치료 받았는데
문제가 생겼다고 하남미사치과를 방문을 해주셨습니다.
송곳니부터 송곳니까지
앞니 6개를 묶어놓은 형태로 치료를 하셨더라고요~

24.03.06
눈으로 보기에는 참으로 아름답지만 말이죠.
치아는 문제가 많았습니다.

충치가 많이 먹은 송곳니
기둥까지 넣어 보강한 치아의 실금
양쪽 송곳니 두개 다 문제가 있었습니다.
브릿지는 할 때는 편안한데
문제가 생기면 치료하기가 아주 까다롭습니다.
일단 묶어둔 6개의 치아를 모두 벗겨내야하고
걸어둔 치아가 문제가 생기면
그 옆에 치아를 깎아야하는데
그 옆에 치아가 상태가 별로다?
임플란트다?
그럼 브릿지 치료가 어려워지거든요~
치료를 한다고 해도
걸어둔 치아 개수가 많아질수록
치아에 무리를 주기 때문에 좋지 않고요.

결국 문제가 되는 치아들을 발치 후
앞니 브릿지 교체를 진행하기로 상담해드렸습니다.
하남미사치과에서 앞니 임플란트 수술을 하셨는데요.
수술 과정에서 ct를 찍으면서
조심스럽게 진행하였습니다.
그 이유는,,,

24.03.15
윗니 어금니만큼 신경을 쓰는 부위가 앞니입니다.
앞니 임플란트 수술 비용이 10만원 더 비싼것도
까다롭습니다.
-
심미
-
기능
두개 다 충족하여야하고
앞니는 잇몸과 뼈가 얇아서
임플란트를 심을 공간이 안나올 때가 많습니다.
단순히 공간만 안나오는게 아니고
임플란트와 뼈가 잘 안붙을 수도 있는 문제다보니ㅠㅠ
하남미사치과에서는 이럴때를 위하여
미리 대비를 해두었죠!
앞니 전용 임플란트를 준비해두고
사용중인데요
▼자세한 글 보러 가기▼
https://blog.naver.com/implant_master/223501608746
까다롭지만 피하지는 않습니다.
앞니 브릿지 교체해야할 분들이
얼마나 많은데
외면할 수는 없으니까요.
앞니 전용 임플란트도 준비하고
최신 ct와 스캐너를 사용하여
수술을 안전하게 진행
앞니 브릿지 교체 노하우가 많습니다.

24.07.31
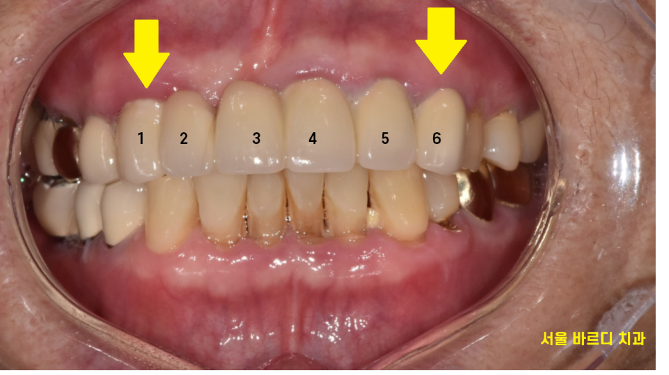
6개의 앞니 임플란트 브릿지로 완성해드렸습니다.
자연치 상태에서는 4개 치아가 6개의 치아 힘을 분산했는데
앞니 브릿지 교체하면서
임플란트는 3개만 심어드렸습니다.
1개의 비용을 덜어드린 셈이죠.
1개 가격도 무시 못합니다~~
환자분들의 지갑 사정까지 생각해드려야한다
생각하고 있습니다.
경제적으로 최소한의 계획
그렇지만 식사에는 문제가 없는
하남 미사치과가 지향하는 진료철학입니다.
▼하남미사치과 위치 확인▼
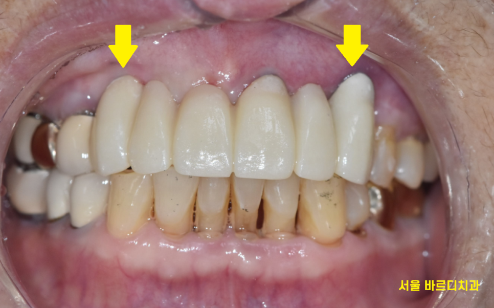
앞니는 노출이 많이 되기에
주변 치아와 자연스럽게 어우러져야하는데요.
티가 나지 않게
자연스러운 미소를 만들어드리는 서울바르디치과입니다.
| 예약 전화하러 가기 |
|---|
| 02-481-4278 |

▼영상으로 요약▼
오늘은 오래된 앞니 브릿지
임플란트로 교체하여 변신 시켜드렸는데요.
임플란트를 잘!한다의 기준
환자분들마다 다르겠지만
최소 병원을 오시기 전
제가 눈물로 쓴 글 몇개만 보시고
내원해주시면
선택에 도움되실 것이라 생각됩니다 .
대표원장 장태현이었습니다!
| 본 게시물은 의료광고 법 제56조 1항을 준수하여의료 정보 제공 및 병원 홍보 목적으로 서울 바르디 치과에서 직접 작성하였습니다.제공된 정보는 참고만 하실 것을 권유 드리며 증상 파악 및 정확한 관리 방법은 의료기관에 내원 후 의료진을 통해 안내받으시길 바랍니다.치과에서 진행되는 모든 시술 / 수술은 개인에 따라 (염증, 출혈, 부기 등) 가능성이 있습니다.사전에 의료진과 충분한 상담을 통해 결정하시길 바랍니다.게시물의 치료 사례는 실제 본원에서 치료를 마친 환자분들의 동의하에촬영되었으며 전, 후 사진은 동일 조건에서 촬영되었습니다. |
#하남미사치과 #앞니브릿지교체