안녕하세요!
통합 치의학과 전문의
서울바르디치과 장태현 원장입니다.
젊을때는 안그랬는데
요즘은 치아가 왜이렇게 시린지 몰라요~
시려서 뭘 먹지를 못하겠어요~
의외로 많은 환자분들
어금니 시림으로 불편함을 호소해주시는데요.
감일동 치과 어금니 시림 충치가 아닐 수도 있다? 임플란트 하게된 사연
집중해서 읽어주세요!~

어금니가 시려서
뭘 씹지를 못하겠어요
전반적으로 이가 시리다고 내원하셨습니다.
어금니 시림의 원인은
1가지가 아닌데요.
일반적으로 충치가 생긴 것 같다고
검사해달라고 많이들 방문을 해주세요~
-
충치
-
치아 패임
-
잇몸 원인
크게 3개의 원인으로 나누어지게 됩니다.

23.07.04
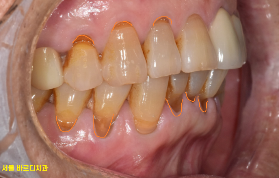
환자분은 1차 육안 소견으로
잇몸 뿌리 부분이 패인 것을 발견했지만
이것이 주요한 원인은 아닐꺼라 판단했습니다.

23.07.04
눈으로 보이는 치석도 많고
잇몸도 내려가서 잇몸이 안좋을 것이라 판단되었기 때문이죠.
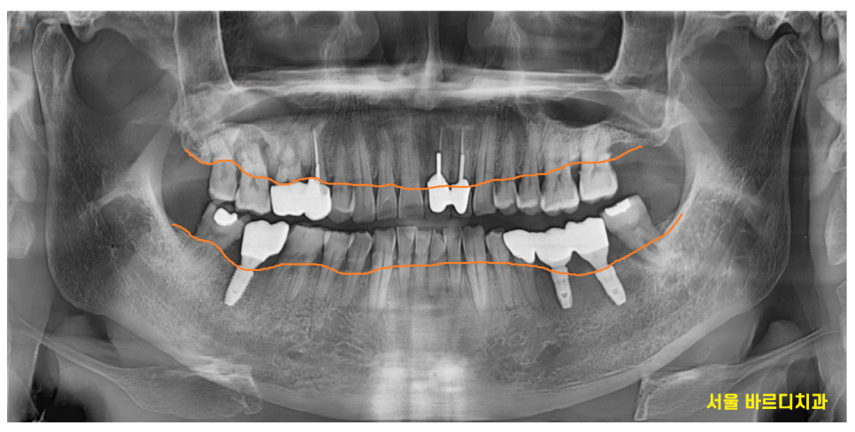
정확한 원인을 발견하기 위해
x-ray 검사를 시행하였습니다.

23.07.04
역시나 잇몸뼈가 머리까지 차 있어야하는데
많이 내려가 있는것이 보입니다.
전체 28개의 치아중에서
유독 안좋아보이는 오른쪽 윗니 치아
추가적으로 검사를 해보았는데요.

큰 어금니 2개 상태가 영 ㅠㅠ 별로네요.
잇몸뼈가 많이 내려가다보니
어금니 시림 현상이 발생
해결하기 위해서는
2가지 방법이 있습니다.
- 신경치료를 한다
-> 잇몸뼈가 짱짱할 때나 가능
- 뽑는다.
환자분은 치아가 흔들리고 있어서
방법이 없었습니다.
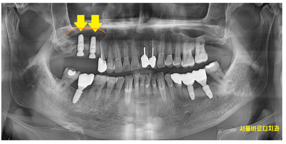
감일동 치과에서 발치 후 임플란트 하기로
결정하였습니다.

흔들리는 치아 2개를 발치 후
상악동을 들어 올려 뼈 이식을 하는
수술까지 같이 진행해드렸는데요
▼상악동 거상술이란 ??▼
https://blog.naver.com/implant_master/223407832925

이전 글에서 언급해드렸듯
상악동 거상술이 잘된 임플란트는
돔 형태로 올라간 것을 확인하실 수 있습니다.
오늘의 환자분도
상악동 막이 예쁘게 잘 올라갔네요

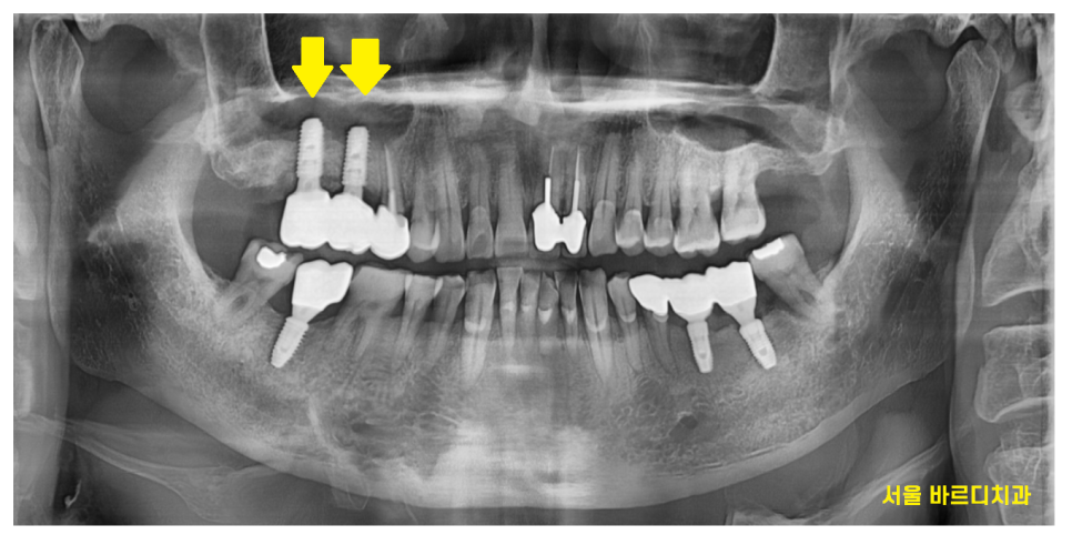
24.01.23
일반적으로 윗니 어금니의 경우 4~6개월 정도 기다리지만
감일동 치과에서는 장비를 사용하여
감일동 임플란트와 내 뼈가 단단하게 잘 붙었나 확인합니다.
안정적인 결과가 나오면
오래 기다리지 않고도
바로 씹는 부분인 머리를 만들어드리는데요.
하루라도 식사를 빨리 하셔야하니까요.
세상에는 맛있는 음식이 너무 많아요~
맛있는 음식 많이 드시고
환자분들의 건강한 삶을 응원합니다~!
▼감일동 치과 위치 확인▼
환자분들의 건강한 삶을 응원해드리는
감일동 치과입니다.
5호선 상일동역에 위치합니다.
꼭 한번 들려서 저의 의견
저의 목소리를 들어주시길 바랍니다.
치료를 결정하기 전
최소 2곳에서 진단을 받고 결정하셔도
늦지 않으니까요~~
| 예약 전화하러 가기 |
|---|
| 02-481-4278 |
▼감일동 치과 진료 보러가기▼
오늘은 어금니 시림으로 내원해주신 환자분
원인을 찾았고
감일동 임플란트로 치료해드린 이야기를 해드렸습니다
치과는 안아플때 오셔야 합니다.
시리고 아프고 찌릿하고
감각을 느낄때는 늦게 오시는 겁니다ㅠㅠ
이 글을 보신 환자분들이라면
네이버에 "서울 바르디치과"를 검색해주시고
예약 해주시면 감사하겠습니다~~
대표원장 장태현이었습니다!!
| 본 게시물은 의료광고 법 제56조 1항을 준수하여의료 정보 제공 및 병원 홍보 목적으로 서울 바르디 치과에서 직접 작성하였습니다.제공된 정보는 참고만 하실 것을 권유 드리며 증상 파악 및 정확한 관리 방법은 의료기관에 내원 후 의료진을 통해 안내받으시길 바랍니다.치과에서 진행되는 모든 시술 / 수술은 개인에 따라 (염증, 출혈, 부기 등) 가능성이 있습니다.사전에 의료진과 충분한 상담을 통해 결정하시길 바랍니다.게시물의 치료 사례는 실제 본원에서 치료를 마친 환자분들의 동의하에촬영되었으며 전, 후 사진은 동일 조건에서 촬영되었습니다. |
#감일동치과 #어금니시림