안녕하세요!
요즘 환자분들이 저를 많이 찾아와주셔서
행복한 치과의사 장태현입니다.
저는 보철이 제작되어
환자분의 구강 내에 들어가기 전에
꼭! 보여드리는데요.
환자분께서 질문해주신 내용으로
오늘 글을 쓰게되었습니다.
고덕동 임플란트 크라운 연결해서 만드는 이유는?
끝까지 집중해주세요!!

원장님
왜 임플란트끼리 붙어있어요?

완성된 보철물을 보여드리자
따로 따로 떨어져 있어야 좋은거 아닌가요??
라는 질문이 들어왔습니다.

20.09.17
그런 질문을 하실법도 한 것이
해당 환자분은 기존에 묶어두었던 치아가 문제가 생겼는데
1개 치아가 문제였습니다.
1개 치아 때문에
씌워놓은 4개의 브릿지를 모두 제거해야했기에
충분히 하실 수 있는 질문이었는데요.
아이러니하게도..
고덕동 임플란트의 경우
묶어서 들어가는 것이 유리합니다.
자연 치아랑 정 반대이지요~?
▼자세한 글 보러 가기▼
https://blog.naver.com/implant_master/223424754649
https://blog.naver.com/implant_master/223519661604
이전 글을 보고 오시면 아시겠지만
임플란트는 브릿지 형태로 치료를 많이합니다.
이 형태가 2가지인데
1)치아 갯수가 부족하여 브릿지로 연결하는경우
- 개수는 맞지만 임플란트끼리 엮는 경우
오늘 설명드릴 내용은 2번입니다.

24.01.23
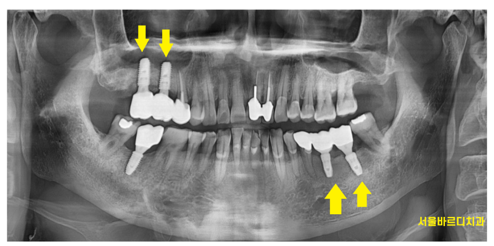
위에 사진속 환자분처럼
치아가 상실된 개수가 1개도 없지만
임플란트는 묶어서 제작해드렸습니다.
임플란트는 각각 심었는데 말이죠~?
왜 머리를 붙여서 만드느냐!!

쉽게 얘기하여
임플란트를 좀 숨쉬게 할 구멍을 만들어주는 것입니다.
힘을 덜어준다는 것인데요.
자연치아의 경우 치주인대라는 조직이 있어서
힘을 분산해줄 친구가 있습니다.
임플란트는 인공적인 구조물이다 보니
친구가 없어요~
혼자서 일을 해내야하는데요.

24.01.23
묶어서 제작하게 되면
친구가 생기죠~?
그래서 힘을 분산하게 됩니다.
임플란트 가해지는 무리한 힘을 분산해주어
좀 더 오래 쓸 수 있게 해주어요.
수명을 연장시켜 준답니다.
음식물이 덜 낀다는 장점도 있고요.
그렇다면 과도한 힘이 임플란트에
계속 가해지게 된다면?

임플란트가 부러지거나
나사가 풀려서 흔들거릴 수 있어요.
이제 임플란트 크라운 연결하는 이유를
잘 아시겠죠~?
▼고덕동 치과 위치 확인▼
고덕동 임플란트 어느 하나 놓치는 것이 없습니다.
앞으로도 환자분들이 궁금해하시는 내용
블로그를 통해 전달해드리겠습니다.
3명의 원장님들이 머리를 뭉쳐
진료를 시행하고 있습니다.
최신 의료 장비와 함께
오차없는 진료를 시행하는 서울바르디치과입니다.
| 예약 전화하러 가기 |
|---|
| 02-481-4278 |
▼영상으로 요약▼
오늘은 임플란트는 각각 심었는데
왜 머리는 묶어서 제작할까요?
환자분의 질문에 대한 답변을 해드렸습니다.
퇴근 후 시간을 내어서 블로그를 작성하는 이유는
아무리 진료시간에 설명을 열심히 해드려도
놓칠 수 있는 부분이 있기 때문입니다.
궁금하신 부분은 댓글로 달아주시면
다음 포스팅때 반영해보도록 하겠습니다.
대표원장 장태현이었습니다!!
| 본 게시물은 의료광고 법 제56조 1항을 준수하여의료 정보 제공 및 병원 홍보 목적으로 서울 바르디 치과에서 직접 작성하였습니다.제공된 정보는 참고만 하실 것을 권유 드리며 증상 파악 및 정확한 관리 방법은 의료기관에 내원 후 의료진을 통해 안내받으시길 바랍니다.치과에서 진행되는 모든 시술 / 수술은 개인에 따라 (염증, 출혈, 부기 등) 가능성이 있습니다.사전에 의료진과 충분한 상담을 통해 결정하시길 바랍니다.게시물의 치료 사례는 실제 본원에서 치료를 마친 환자분들의 동의하에촬영되었으며 전, 후 사진은 동일 조건에서 촬영되었습니다. |
#고덕동임플란트 #임플란트연결