안녕하세요!
바르고 정직한 진료를 시행하는
서울바르디치과 장태현 원장입니다.
어느덧 8월이 마무리되고 있습니다.
이번 여름은 유독 더웠던 것 같아요ㅠㅠ
치료 언제쯤 끝날까요??
환자분들께서 가장 많이 물어보시는 질문인데요.
오늘은 왜 지금 당장 치료를 시작해야하는지
말씀드리고자 합니다.
명일동 치과 임플란트 치료 기간 얼마나 걸릴까요???
지금 시작하셔도 치료는 내년에 끝날 수 있습니다.
무슨 얘기인지 들으러 가보실까요?

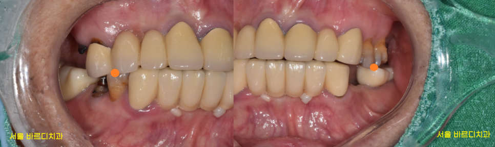
임플란트 이곳 저곳 해야해요

23.06.13
식사를 할 수 있는
어금니가 여러군데 빠진채로 내원해주신 환자분입니다.
치아 개수가 빠진게 많다보니
그러려니~ 하고
사셨다고 하네요ㅠㅠ

23.06.13
오른쪽 왼쪽 각각 1개 치아만
물리고 있는 상황이라
더이상은 버티시기 힘드셨대요
치아는 1-2개 빠져도
다른 치아가 있다보니 식사는 가능하신데요.
환자분처럼 여러개가 상실되면
여러가지로 많이 불편하실겁니다.
식사도 어렵고
사람들 만나기도 꺼려지고
발음도 어려워지고요!

23.06.13
자연 치아 중에서도
많이 닳고 좋지는 않았지만
워낙 상실된 치아가 많아서
문제가 생기면 하나씩 치료하기로
상담해드리고..

23.06.13
임플란트 위아래 합하여 6개
식립이 필요하다
명일동 치과에서 상담을 진행해드렸습니다.
원장 선생님 빨리좀 끝내줘요
식사좀 하게
막상 치료받기로 하시니까
이번에는 임플란트 치료 기간
빨리 끝내달라고 말씀하셨는데요.
단호하게 말씀드렸습니다.
환자분, 지금 시작하셔도 내년에 끝나요~
그 이유는...

23.07.25
윗니 어금니의 경우
코 막을 들어올리는 상악동 거상술이 필요했기 때문입니다.
▼상악동거상술이란?▼
치아 쪼개짐으로 상악동 거상술 동반한 임플란트.. : 네이버블로그 (naver.com)
잠시 어려운 이야기를 해드리자면
위턱뼈는 해면골로 이루어져 있습니다.
해골이 떠오르시죠~?
타고나기를 뼈가 스펀지의 구멍처럼
뼈에 숭덩숭덩 구멍이 뚫려있다보니
약합니다.
그래서 임플란트 치료 기간도 위턱기준 4-6개월
아래턱 기준 2-3개월 소요되는데요.
아래에 비해 2배 이상 걸리는 이유가
타고 나기를 약한 뼈라
뼈와 임플란트가 고정되기까지
시간이 걸리는 편입니다.

23.06.21
23년 6월에 치료를 시작하시고
임플란트 치료 기간
얼마나 걸렸을까요?
▼결과 공개▼

24.02.20
24년 2월에 치료를 끝내드렸습니다.
약 8개월정도 걸렸네요~
환자분께 지금 시작하셔도 내년에 끝난다
말씀드렸었는데
진짜죠~?
임플란트가 뼈와 붙은 시간이 필요해
한두달만에 치료가 완성되는 것이 아닙니다.
벌써 8월도 다 지나가니
지금 명일동 치과에 방문하셔서
수술을 하셔도
아래 어금니는 올해 말
윗니 어금니는 내년 꽃이 필때쯤 마무리가 되겠네요~
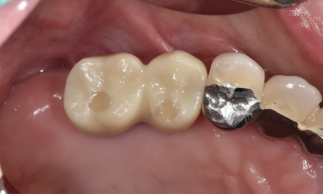
▼완성 사진▼




▼명일동 치과 위치 확인▼
▼영상으로 요약▼
오늘은 명일동 치과에서
임플란트 치료 기간과 관련한 이야기를 해드렸습니다.
사람마다 치료 기간은 다릅니다.
그렇지만 중요한 것은
늦게 치료하러 오실 수록
치료기간은 길어진다는 것
| 예약 전화하러 가기 |
|---|
| 02-481-4278 |
더 늦기전에
조금이라도 불편함을 느끼시면
바로 명일동 치과 방문을 부탁드립니다~!

요즘 명일동 치과를 찾아주시는
환자분들이 많습니다.
오시기 전에 예약을 안하고 오시면
오래 기다리실 수 있어서
전화 한통 하시고 내원 부탁드릴께요~~
| 본 게시물은 의료광고 법 제56조 1항을 준수하여 의료 정보 제공 및 병원 홍보 목적으로 서울 바르디 치과에서 직접 작성하였습니다. 제공된 정보는 참고만 하실 것을 권유 드리며 증상 파악 및 정확한 관리 방법은 의료기관에 내원 후 의료진을 통해 안내받으시길 바랍니다. 치과에서 진행되는 모든 시술 / 수술은 개인에 따라 (염증, 출혈, 부기 등) 가능성이 있습니다. 사전에 의료진과 충분한 상담을 통해 결정하시길 바랍니다. 게시물의 치료 사례는 실제 본원에서 치료를 마친 환자분들의 동의하에 촬영되었으며 전, 후 사진은 동일 조건에서 촬영되었습니다. |
#명일동치과