안녕하세요!
디지털 기술로 환자분들을 치료해드리는
서울바르디치과 장태현 원장입니다.
한국사람은 어금니는 없어도
앞니가 없으면 못산다는 것을 알고 계신가요~?
어금니 치아 개수가 16개다보니
1-2개 빠진다고
식사에 큰 타격이 없습니다.
그런데 앞니의 경우 너무 잘보이죠~
눈에 보이는 부위는 1개라도 문제가 생기면
바로바로 오시는데ㅠㅠ
오늘의 환자분
어금니가 이곳저곳 빠진채로
오신 분입니다 .
강동구 임플란트 어금니 상실 방치하다 치매까지 옵니다.
시작할께요~!

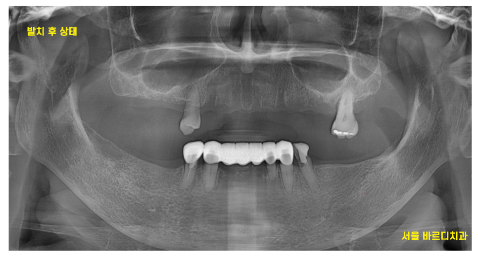
전체 검진해주세요

23.08.17
전반적인 어금니 상실로 내원해주신 환자분입니다.
딱 보기에도 제 기능을 하는 어금니가
몇개 없어보입니다.

23.08.17
큰 어금니는 다 뽑히고
작은 어금니 1지점씩만 닿고 있습니다.
양쪽 1개씩 물리는 것으로
그동안 식사를 하셨다해요.
식사의 제약이 많으셨을텐데 ㅠㅠㅠ
제가 빨리 치료해드려야겠네요.



23.09.02
이미 어금니 상실이 많은 상황에서는
치료 방안이 크게 틀니와 임플란트 치료로 나누어집니다.
두개 치료의 선택지의 장,단점 비교를 충분히 해드리고
선택은 환자분께서 해주시는거지만
이 상황에서 단 1개의 자연치라도 더 살리는 것은
앞으로의 치료 방향에 중요한 결정이됩니다.
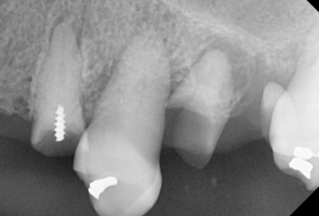
그래서 치아 뿌리 상태를 확인하는
작은 x-ray도 찍고
평가하였습니다.

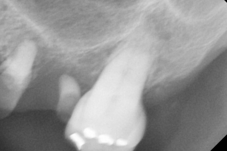
23.10.10
예후가 좋지 않은 치아는
발치를 하고
뼈가 차기를 기다리며
아래 앞니를 치료한 사진입니다.

환자분께서는 어떻게 치료해야할지 고민이 많으셨는데
그동안은 임시틀니를 사용하며 지내셨어요~
(틀니와 임플란트를 고민한 이야기는
2탄으로 올려드릴께요~)
딱 1달 임시틀니를 사용해보시더니
강동구 임플란트로 어금니 상실 치료하시기로
결정하셨습니다.

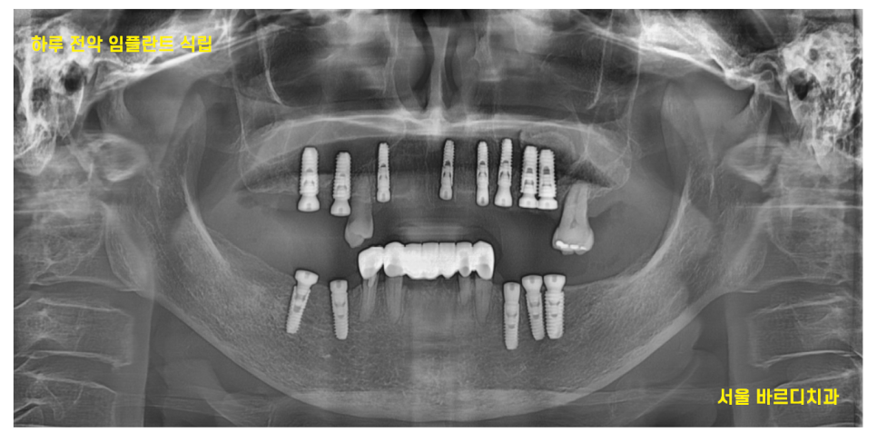
23.10.18
보험 임플란트 2개 사용이 가능해서
▼관련 글▼
https://blog.naver.com/implant_master/223423829595
2개는 보험 임플란트로
나머지 11개까지 합해서
총 13개의 강동구 임플란트
하루에 다 식립해드렸습니다.
어금니 상실
앞니 빠진 부분 모두 모두요~


디지털 기술이 있었기에
하루만에 전체 임플란트가 가능했는데요~

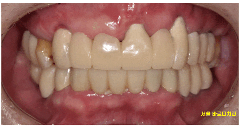
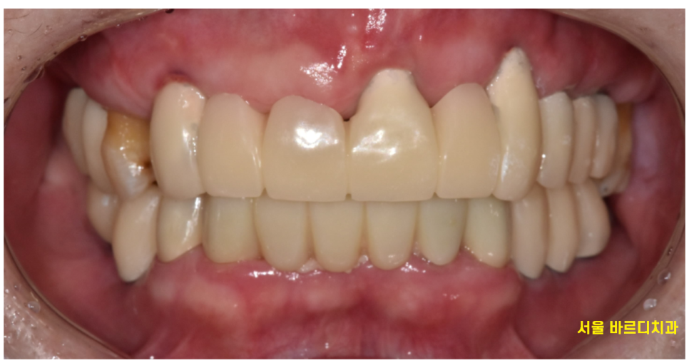
24.04.30
6개월 정도 지나
강동구 임플란트 치료 끝내드렸습니다.

24.04.30
완성 후 씹는게 낯설다고
하셨던 환자분 말씀이 기억이 납니다.
씹는 즐거움을 잊어버릴만큼
오랫동안 어금니 상실을 겪으셨다는 건데요.
어렵게 되찾으신만큼
유지 잘하시라고
임플란트 관리법을 교육해드리면서
치료를 마무리해드렸습니다.
▼강동구 임플란트 치과 위치 확인▼
디지털 장비를 사용한 꼼꼼한 분석으로
부위 상관없이
난이도 문제없이
전신질환이 있으셔도
임플란트가 가능한 서울 바르디 치과!
5호선 상일동역에 치과가 위치합니다.
▼영상으로 요약▼
오늘은 전반적인 치아 상실로
내원해주신 환자분
디지털 기술을 사용해
하루만에 수술해드린 이야기를 해드렸습니다.
요즘 병원에 환자분들이 참 많이 찾아와주십니다.
(기쁨의 눈물을 흘리는중이에요!!!)
☎02-481-4278
미리 전화주시면
안기다리시는 시간대로 안내해드리겠습니다.
빠른 입장, 즉시 치료
진행해드릴께요~
궁금하신 점은 언제든지 블로그 댓글을 통해 남겨주세요.
대표원장 장태현이었습니다!!
| 본 게시물은 의료광고 법 제56조 1항을 준수하여 의료 정보 제공 및 병원 홍보 목적으로 서울 바르디 치과에서 직접 작성하였습니다. 제공된 정보는 참고만 하실 것을 권유 드리며 증상 파악 및 정확한 관리 방법은 의료기관에 내원 후 의료진을 통해 안내받으시길 바랍니다. 치과에서 진행되는 모든 시술 / 수술은 개인에 따라 (염증, 출혈, 부기 등) 가능성이 있습니다. 사전에 의료진과 충분한 상담을 통해 결정하시길 바랍니다. 게시물의 치료 사례는 실제 본원에서 치료를 마친 환자분들의 동의하에 촬영되었으며 전, 후 사진은 동일 조건에서 촬영되었습니다. |
#강동구임플란트 #어금니상실