안녕하세요!
통합치의학과 전문의
서울바르디치과 장태현 원장입니다.
지난 시간에 이어서
2탄을 준비하였습니다.
▼지난 글▼
https://blog.naver.com/implant_master/223559422491
안보고 오신 분은 보고 오시고
환자분이 한달정도 어떤 치료를 해야할지
고민을 많이 하셨는데요.
길동 치과 임플란트 틀니 차이 세세하게 대공개
그 이유 말씀 드릴께요~~

지난 시간 글을
짧게 요약해 드리자면
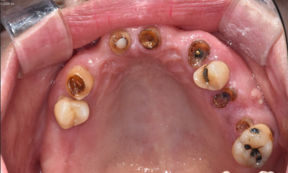
다수의 치아 상실


23.08.17
그동안 식사를 어떻게 하셨는지
잘 모르겠을 정도로
치아가 많이 상실된 상태였습니다.
1-2개 치아가 상실되었을 때는 임플란트로
치료하는데요.
다수 치아가 상실되었을 때는
틀니 치료도 고민해볼 수 있습니다.

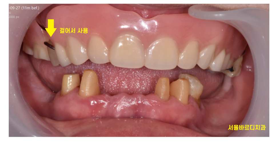
23.09.27
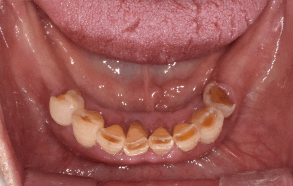
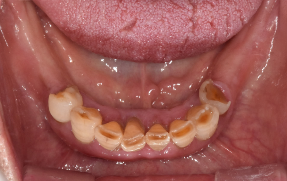
틀니는 잇몸 위에 얹어서 사용하고
양쪽 치아가 상실되었을 때
치료를 진행합니다.
장점으로는 가격이 저렴하다.
그 외에는 단점입니다.
잇몸 위에 얹어서 쓰다보니
고정하는 방식이 아닙니다.
자주 탈락하고
씹는 힘을 받지 못한다.
그래서 틀니로 김치를 씹기 위해서는
잘게 잘라서 씹어야합니다.

24.04.30
그에 비하여 임플란트는 뼈에 고정 시키기 때문에
빠지지도 않고
편안하게 식사가 가능합니다.
내 치아처럼 말이죠.
그렇지만 비용적인 부담은
틀니에 비해 비싼 편입니다.
쉽사리 환자분께서 결정을 못하시기에
길동 치과에서는 임시틀니를 한번 사용해보고
결정해보시라고 권유드렸는데요.

23.11.29
그동안 길동 치과에서는
살릴 수 있는 치아를 치료하며
환자분의 의견을 기다렸습니다.
틀니도 임플란트도 처음이라
고민이 많으실 수밖에 없고
어떤 치료로 진행하든
환자분의 남은 인생의 삶의 질이 달라지기에
충분히 기다려드렸습니다.
임시틀니로 틀니를 사용하는 방법도 익히고
어떤 느낌인지 확인해보시라고
한 부분도 있었죠.
경제적인 이유로 틀니를 선택하셨다가
적응을 못하고 임플란트로 치료를 넘어가는 환자분들
길동 치과에서는 많이 보았거든요
틀니는 아파서 못쓰겠어요
매일 꼈다 뺐다 하는것도 싫고
매번 닦는 것도 귀찮네요
생각했던 것보다 많이 불편하셨다는 환자분
결국은 길동 치과에서
임플란트로 치료 하셨습니다.
▼길동 치과 위치 확인▼
임플란트 틀니 차이
식사는 매일 하기에
드시는 음식이 달라질 수 있습니다.
임플란트 2개 가격이
틀니 1개 가격정도라 생각하시면 되는데요.
물론 환자분들에 따라
씌워야하는 치아가 생기면
금액은 달라질 수 있습니다.
개개인별로 어떤 치료가 좋을지
직접 방문해주시면
상담 도와드릴께요~!
| 예약 전화하러 가기 |
|---|
| 02-481-4278 |
▼영상으로 요약▼
오늘은 다수 치아가 상실되었을 때
어떤 치료가 좋을지 고민하시는
환자분을 위한 글이었습니다.
임플란트 틀니 차이
정리가 좀 되셨나요~?
다음 시간에 유익한 글로 돌아오겠습니다.
대표원장 장태현이었습니다!!
| 본 게시물은 의료광고 법 제56조 1항을 준수하여 의료 정보 제공 및 병원 홍보 목적으로 서울 바르디 치과에서 직접 작성하였습니다. 제공된 정보는 참고만 하실 것을 권유 드리며 증상 파악 및 정확한 관리 방법은 의료기관에 내원 후 의료진을 통해 안내받으시길 바랍니다. 치과에서 진행되는 모든 시술 / 수술은 개인에 따라 (염증, 출혈, 부기 등) 가능성이 있습니다. 사전에 의료진과 충분한 상담을 통해 결정하시길 바랍니다. 게시물의 치료 사례는 실제 본원에서 치료를 마친 환자분들의 동의하에 촬영되었으며 전, 후 사진은 동일 조건에서 촬영되었습니다. |
#길동치과 #임플란트틀니가격