안녕하세요!
통합 치의학과 전문의
서울바르디치과 장태현 원장입니다.
치아가 1-2개 빠져도 사실은
식사 하는데 크게~ 지장이없습니다.
이가 없으면 잇몸으로 산다는 말이 있듯
어떻게든 식사는 가능한데요.
치과의사로써 정확한 사실은 전달을 해드려야겠어서
오늘 글을 작성하게 되었습니다.
고덕역 치과 빠진 어금니 방치 그대로 두다가는 임플란트가..?
어떻게 될 것인지
이 글을 끝까지 읽어주세요~!

빠진 어금니 방치하게 되면 어떻게될지
생각해보신 적 있으신가요?

24.03.29
작은 어금니 2개
큰 어금니 2개
총 4개가 있습니다.
우리가 음식을 잘 씹을 수 있는것은
어금니가 일을 하기 때문입니다.
어금니가 빠지면 단순히 보기 싫은정도에
그치지 않습니다.
치아와 잇몸에 여러가지 부작용이 생길 수 있는데요.
사진을 통해 설명 드릴께요~!
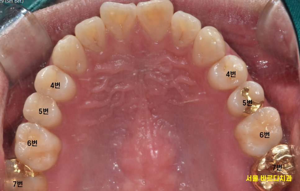
고덕역 치과에 방문해주신 환자분입니다.

24.04.29
치아가 빠지게 되면 다른 치아들이
빈 공간으로 이동하면서 배열이 엉킬 수 있습니다.
오늘 환자분도 빠진 어금니 방치하다가
멀쩡한 큰 어금니가 많이 기울어졌습니다.

24.04.29
뿌리가 이동을 하기에
겉으로 보기에는 많이 쓰러졌는지
모르는게 문제입니다.

24.04.29
x-ray를 찍어보면
치아가 기울어진게 보이는데 말이죠
빠진 어금니 방치하다가
치아가 쓰러져
해당 환자분은 임플란트를 심을 공간이
부족하셨습니다.

24.04.29
교합도 잘 안맞는게 보이시죠?
치아가 움직이면서
닿던 부위도 안닿고
해당 치아로는
음식을 제대로 씹기 어려우셨을 겁니다.
여기서 끝나지 않습니다.
빠진 어금니 방치하다가
장기적으로는 턱관절도 무리가 가게 됩니다.
줄줄이 연쇄작용이 발생 ㅠㅠ
| 빠진 어금니 방치 -> 치아 쓰러짐 -> 교합 이상 -> 턱관절 문제 |
이런 문제들을 예방하려면 조기에 문제를 발견하여
적절한 치료를 받으시는게 좋습니다.
환자분은 1개가 빠졌을 때
바로 치료받으셨으면
멀쩡한 옆에 어금니는 살릴 수 있었겠지만
너무 많이 쓰러져서..

24.05.02
고덕역 치과에서 뽑고 임플란트를 하셨습니다.
이럴때가 제일 안타깝습니다.
자연치는 정말 소중하거든요.
신속하게 대처했으면 살릴 수 있었을텐데ㅠㅠ
▼고덕역 치과 위치 확인▼
치과는 문제를 느꼈을 때
바로 오시는게
시간적, 경제적으로 제일 좋습니다.
제가 자주하는 말 중에 하나가
호미로 막을 것을 가래로 막는다라는 말입니다.
우리 제발~
일 커져서 만나지 말아요~!!
| 예약 전화하러 가기 |
|---|
| 02-481-4278 |
▼영상으로 요약▼
오늘은 이 빠짐을 방치하다가
임플란트 사이즈가 커진다는 이야기였습니다.
공간이 좁아지면 임플란트를 심더라도
음식물이 끼고 불편하고
공간이 안나오면
옆 치아도 치료해야하고
이렇게 하나 저렇게 하나
좋지않다는 것!
염두해주시고
고덕역 치과 방문을 늦추지 마시길 바랍니다.
대표원장 장태현이었습니다!!
| 본 게시물은 의료광고 법 제56조 1항을 준수하여의료 정보 제공 및 병원 홍보 목적으로 서울 바르디 치과에서 직접 작성하였습니다.제공된 정보는 참고만 하실 것을 권유 드리며 증상 파악 및 정확한 관리 방법은 의료기관에 내원 후 의료진을 통해 안내받으시길 바랍니다.치과에서 진행되는 모든 시술 / 수술은 개인에 따라 (염증, 출혈, 부기 등) 가능성이 있습니다.사전에 의료진과 충분한 상담을 통해 결정하시길 바랍니다.게시물의 치료 사례는 실제 본원에서 치료를 마친 환자분들의 동의하에촬영되었으며 전, 후 사진은 동일 조건에서 촬영되었습니다. |
#고덕역치과 #빠진어금니방치