망월동 치과 양쪽 어금니 문제가 있을때 치료 순서는?
안녕하세요!
통합치의학과 전문의
서울바르디치과 장태현 원장입니다.
오늘은 오른쪽 왼쪽
양쪽 모두 문제가 생겼을 경우의 이야기입니다.
생각보다 이런 경우를 많이 볼 수 있는데요.
한쪽씩 망가지면
다른 한쪽으로 식사가 가능하지만
양쪽이 문제가 생긴다면..?
어떻게 치료할지
해답 얻으러 가시죠!

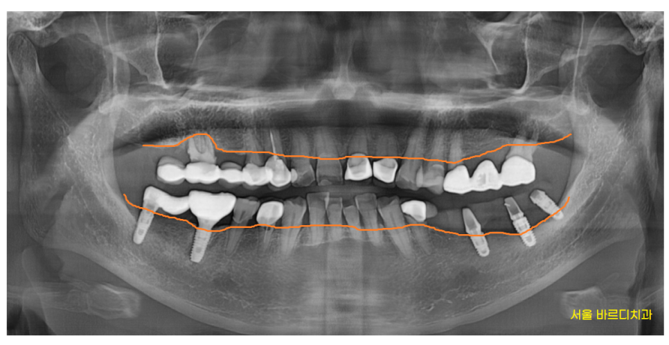
전반적으로 손봐야해요

230823
위아래 양쪽으로 치료를 하신 환자분
잇몸뼈가 전반적으로 많이 녹기도 하였고
오래 전 한 보철이 문제가 있엇습니다.

230823
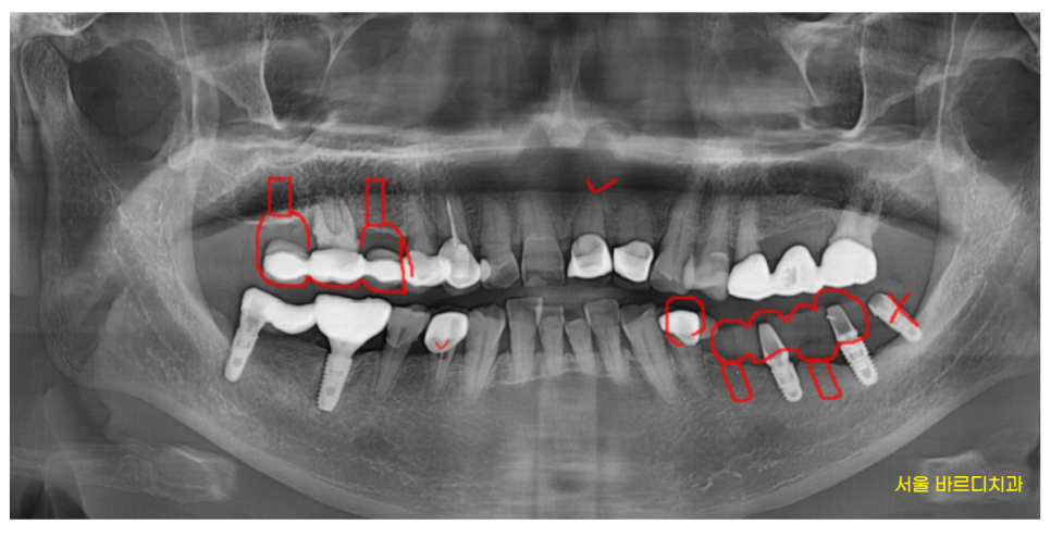
망월동 치과에서는
문제가 되는 치아들을 진단해드렸습니다.
이해하기 쉽도록
보통 이렇게 그림을 그려 말씀드립니다.
한곳이 아닌
여러곳을 치료해야할 때는
치료 순서를 정하게 되는데요.
- 통증이 있는 치아 (제일 불편한 부위).
2.환자분 1순위
- 기능에 필요한 치아
심미는 제일 마지막 고려요소입니다.
보통은 제일 불편하고
통증이 있는 부위부터 치료를 하게되죠.
물론 양쪽 어금니 문제
한번에 치료하는게 제일 좋지만 ㅠㅠ
환자분들 각각의 사정이 있으시다보니..
우선 순위를 정하게 되는거죠.

230823
환자분은 왼쪽 아래 오래전에 한 임플란트가
들썩 들썩 흔들려서
식사를 못하고 계신다 하셨습니다.

23.08.23
망월동 치과에서 발치후
왼쪽 아래 임플란트 먼저 수술하였습니다.
재수술인셈이죠.
기존에 있는 임플란트를 제거 후
교체해주는 작업을 진행하였습니다.
▼타원 임플란트 제거 후 수술한 케이스▼
https://blog.naver.com/implant_master/223504649935

230823
왼쪽 아래 임플란트 수술을 끝내놓고
보철을 만들쯔음
사건이 생겼습니다.

23.10.10
디지털 스캐너를 사용하여
뽄을 뜨고
보철 작업을 하고 있는데 말이죠
오른쪽 위 보철이 빠지셨답니다..!!
이런 경우가 굉장히 많습니다.
임플란트 반대편 치아가 문제가 생기는 경우요.
내일 예고편입니다.
왜 반대편에 문제가 생기는것인가?
망월동 치과에서
상세하게 설명드릴께요~!
▼망월동 치과 위치 확인▼
오늘 글 요약하겠습니다.
양쪽 어금니 문제가 있는 경우
-
문제가 있는 치아를 같이 치료하면 좋다.
-
사정이 안되는경우 우선 순위를 두고 치료를 한다.
-
통증, 기능, 환자 요구도에 따라 정해진다.
양쪽 어금니 문제 치료하기 위해서는
충분한 대화를 통해
합의가 필요합니다.
환자분의 모든 요구사항을 들어드리기 위해서는
예약을 하시고 방문주시면 감사하겠습니다.
환자분 1분만을 위하여
시간을 비워두겠습니다.
| 예약 전화하러 가기 |
|---|
| 02-481-4278 |
▼영상으로 요약▼
오늘은 오른쪽, 왼쪽
양쪽 치아 문제가 있었을 때
순차적으로 치료한 환자분의 이야기였습니다.
예고를 잠시 해드렸다싶이
한쪽이 끝나가는 와중에
반대편이 문제가 생겼는데...!!
다음 글도 읽으러 와주실꺼죠~??
"서로이웃"은 사랑입니다.
| 본 게시물은 의료광고 법 제56조 1항을 준수하여의료 정보 제공 및 병원 홍보 목적으로 서울 바르디 치과에서 직접 작성하였습니다.제공된 정보는 참고만 하실 것을 권유 드리며 증상 파악 및 정확한 관리 방법은 의료기관에 내원 후 의료진을 통해 안내받으시길 바랍니다.치과에서 진행되는 모든 시술 / 수술은 개인에 따라 (염증, 출혈, 부기 등) 가능성이 있습니다.사전에 의료진과 충분한 상담을 통해 결정하시길 바랍니다.게시물의 치료 사례는 실제 본원에서 치료를 마친 환자분들의 동의하에촬영되었으며 전, 후 사진은 동일 조건에서 촬영되었습니다. |
#망월동치과 #양쪽어금니문제