안녕하세요!
바르고 정직한 진료를 시행하는
서울바르디치과 장태현 원장입니다.
임상에서 진료를 하다보면
임플란트 하고 나서
반대편이 말썽이라고 호소하시는 분들이 많습니다.
생각보다 많이 볼 수 있는데요.
어떤 분들은 임플란트 한곳이 씹을때마다 아프다고 하시기도 하고요~!
오늘 그 이유를 말씀드릴께요~!
풍산동 치과 임플란트 시술후 통증 부작용은 아닐까?
정답 공개해드릴께요~!

지난 시간 글
모두들 읽고 오셨나요~?
망월동 치과 양쪽 어금니 문제가 있을때 치료 .. : 네이버블로그 (naver.com)
지난 시간 잠시 언급 드렸다싶이
해당 환자분은 한쪽 치료가 끝나갈즈음
반대편 보철이 빠져버렸습니다.

문제의 치아 입니다.
묶어있는 형태였는데요.

23.08.23
풍산동 치과에 처음 내원하셨을때부터
안좋긴 하였어도
워낙 치료할 부분이 많다보니ㅠㅠ
그냥 쓸때까지 쓰시라고 말씀드렸죠.
치료 끝날때까지 제발 버텨달라
부드러운 음식 위주로 식사하시라고
말씀드리기도 하였고요.

23.10.10
아직 반대편 치료가 다 끝나지 않았는데
기존 보철이 빠져버렸네요ㅠㅠ
한눈에 보기에도 상태가 좋지 않죠~?
치아 내부에 충치가 심하고
푸석거려서
살리기 어렵다 말씀드렸습니다.
원장님 ,
임플란트 시술후 통증 계속 느껴졌어요.
처음부터 불편했다니까요~
임상에서 충분히 볼 수 있는 경우입니다 .
임플란트 치료가 끝나서
이제 씹을 수 있을까 했더니
계속 임플란트 시술후 통증이 느껴지는거죠~
어떤분들은 수술이 잘못된게 아니냐?
물어보시기도합니다.

23.10.11
정답을 말씀드리자면
임플란트 대합되는
반대편 치아에 문제가 있을 확률이 높습니다.
임플란트 치아는 신경이 없어서
통증을 못느끼거든요~~
그래서 임플란트에 염증이 생겨도
통증이 느껴지지 않아
한참 뒤에 오시기도 하시고요.
이럴 경우에는
높이가 높아 아픈 것인지
반대편 치아에 문제가 있는 것인지
감별이 필요합니다.
임플란트 완성 후 한달뒤에 오시라 하는 이유는
식사를 해보시고 높이를 다시 체크하기 위해서죠.

23.10.10
해당 환자분은
반대편 치아에 문제가 있어서
임플란트 시술후 통증을 느끼셨던 경우입니다.
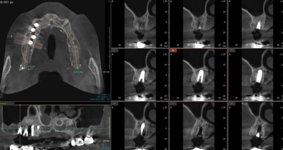
풍산동 치과에서 ct를 찍어보니
뿌리 흡수도 심하고
갈라지는 부분에 뼈도 많이 녹아있었거든요.
원래도 안좋은 치아였는데
왼쪽부터 치료하느라
오른쪽으로 주된 식사를 하셔서
보철이 빨리 빠지게 되었네요.

23.10.11
풍산동 치과에서 발치 후 임플란트 수술을
진행하셨습니다.

23.12.18
기존 금니 보철이 빠진 후
임플란트로 교체 해드렸습니다.

24.03.07
자꾸 치아가 망가져 속상해하시던 환자분께
애초에 문제가 생길 치아를 치료했다 생각하시라고
위로해드렸던 기억이 납니다.
▼풍산동 치과 위치 확인▼
위로가 필요할때는
서울 바르디치과입니다 .
환자분 감정까지 공감해드릴 수 있는
치과가 되도록 노력하겠습니다.
| 예약 전화하러 가기 |
|---|
| 02-481-4278 |
▼영상으로 요약▼
오늘은 풍산동 치과를 찾아오신 환자분의 이야기였습니다.
임플란트 시술후 통증으로
부작용이 아닐까 생각도 하셨었는데요.
오늘 글의 결론
대합되는 치아에 문제가 있을 확률이 높다~
조금이라도 이상을 느끼시면
병원을 방문해주시면
원인 파악 제대로 해드릴께요~!
대표원장 장태현이었습니다!!
| 본 게시물은 의료광고 법 제56조 1항을 준수하여의료 정보 제공 및 병원 홍보 목적으로 서울 바르디 치과에서 직접 작성하였습니다.제공된 정보는 참고만 하실 것을 권유 드리며 증상 파악 및 정확한 관리 방법은 의료기관에 내원 후 의료진을 통해 안내받으시길 바랍니다.치과에서 진행되는 모든 시술 / 수술은 개인에 따라 (염증, 출혈, 부기 등) 가능성이 있습니다.사전에 의료진과 충분한 상담을 통해 결정하시길 바랍니다.게시물의 치료 사례는 실제 본원에서 치료를 마친 환자분들의 동의하에촬영되었으며 전, 후 사진은 동일 조건에서 촬영되었습니다. |
#풍산동치과 #임플란트시술후통증