안녕하세요!
환자분들의 아픔에 공감해드리고싶은
서울바르디치과 장태현 원장입니다.
미사역 치과를 방문해주시는 많은 환자분들이
"잇몸질환"으로 찾아와주시는데요.
잇몸이 부었어요
피나요
잇몸 염증이 있어요
등등
미사역 임플란트 잇몸이 풍선처럼 부풀어오르는 치주농양 환자분
잇몸은 도대체 왜? 문제가 많을까요~?
3분만 끝까지 집중해서 읽어주세요

잇몸이 풍선처럼 부풀었다 가라앉았다해요
저는 환자분들의 말씀에 귀를 기울이는데요.
환자분들의 표현이 다양하다는 생각을
요즘 해봅니다.
풍선처럼 부풀었다는 환자분
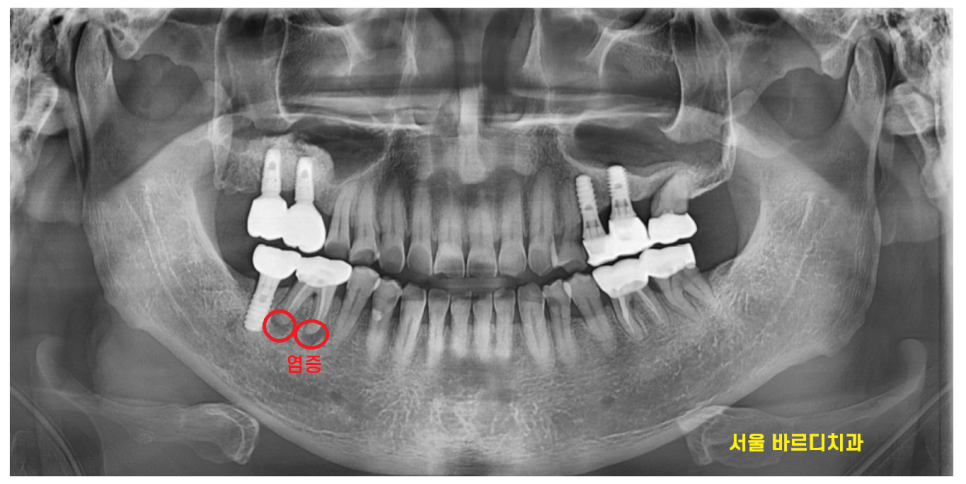
x-ray를 보실까요~?

24.03.29
오른쪽 아래 치아 뿌리 끝에 염증이 있습니다.
원인 해결이 안되니
반복적으로 잇몸 풍선마냥
부풀었다 가라앉았나보네요
잇몸이 살이다 보니까
연약합니다.
관리가 조금만 안되면
피가 나거나
문제가 생기는데요
▼스케일링은 필수!▼
https://blog.naver.com/implant_master/223556994606
최소 1년에 한번씩은 관리를 받으셔야하죠~

24.03.29
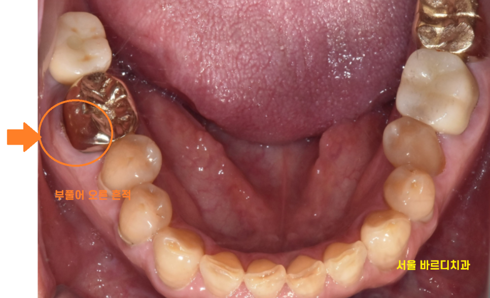
내원하셨을 때는
잇몸 풍선 터져서 오셨는데요.
여전히 고름이 나오고
좋지 않은 상황이었습니다.
신경치료도 되어있고
뼈도 많이 녹아있어서
발치 후 미사역 임플란트 하기로
상담해드렸습니다.

24.04.12
발치 후에 상태를 확인하기 위해
ct를 찍어보았는데요.
뼈가 많이 녹아있어서
2달 후 어느정도 뼈가 차오르면
그때 미사역 임플란트를 심기로 결정하였습니다.

24.06.05
발치 후 2달 정도 지나서
수술을 하였는데
아직 이 뽑은 형태 그대로인게 보이네요~
그만큼 잇몸 풍선처럼 부풀었다 가라앉으면서
뼈를 많이 녹인겁니다

24.06.12
수술 후 상태 확인을 위해 내원하셨을 때
왼쪽 위 치아도 문제가 생겼습니다.
치아가 한쪽이 없다보니
반대편으로 많이 식사하게 되어
원래도 문제가 있는 치아가
문제가 생겼네요~~
한번 잇몸에 문제가 생겨
고생을 해보셨기 때문에
왼쪽 위에 부분도 발치해달라고
말씀해주셨습니다.

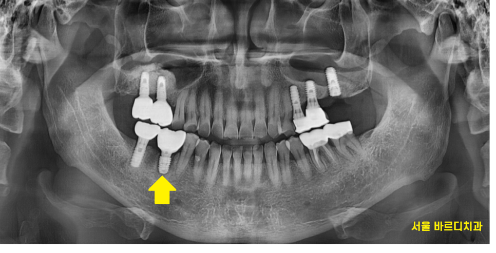
24.08.06
미사역 임플란트 수술 후 2개월 뒤
서울바르디치과를 내원하신 주된 이유인
오른쪽 아래 치료는 끝내드렸습니다.
이제는 왼쪽 위 치아를 수술 후
기다리고 있는 상황입니다.
▼미사역 치과 위치 확인▼
한번 정착하면
빠져나가기 힘든 치과
서울 바르디 치과입니다.
똑같은 치료를 하더라도
환자분들의 말씀에 집중합니다.
해결과 함께
환자분들의 아픔에 공감해드리는
치과입니다.
| 예약 전화하러 가기 |
|---|
| 02-481-4278 |
▼영상으로 요약▼
오늘은 잇몸이 부풀어서 오신 환자분
잇몸 자체의 문제보다는
뿌리에 문제가 있어서
잇몸에 신호를 보냈던 상황이었습니다.
잇몸에 문제가 있으면
원인이 다양하기에
정확한 것은 병원에 내원해주셔서
확인해주시길 바랍니다!!
오시기 전 예약은 필수입니다~
| 본 게시물은 의료광고 법 제56조 1항을 준수하여의료 정보 제공 및 병원 홍보 목적으로 서울 바르디 치과에서 직접 작성하였습니다.제공된 정보는 참고만 하실 것을 권유 드리며 증상 파악 및 정확한 관리 방법은 의료기관에 내원 후 의료진을 통해 안내받으시길 바랍니다.치과에서 진행되는 모든 시술 / 수술은 개인에 따라 (염증, 출혈, 부기 등) 가능성이 있습니다.사전에 의료진과 충분한 상담을 통해 결정하시길 바랍니다.게시물의 치료 사례는 실제 본원에서 치료를 마친 환자분들의 동의하에촬영되었으며 전, 후 사진은 동일 조건에서 촬영되었습니다. |
#미사역임플란트 #잇몸풍선