안녕하세요!
꼭 필요한 진료만 진행하는
서울바르디치과 장태현 원장입니다.
풍치
어르신들에게는 치주 질환이라는 것보다
풍치가 익숙하실겁니다.
바람이 불어 뿌리가 병든다는 풍치
잇몸이 전반적으로 염증이 있고
흔들거림을 뜻하는데요.
풍치의 문제점은 한개 치아가 아닌
치아 전반적으로 흔들린다는게 문제입니다.
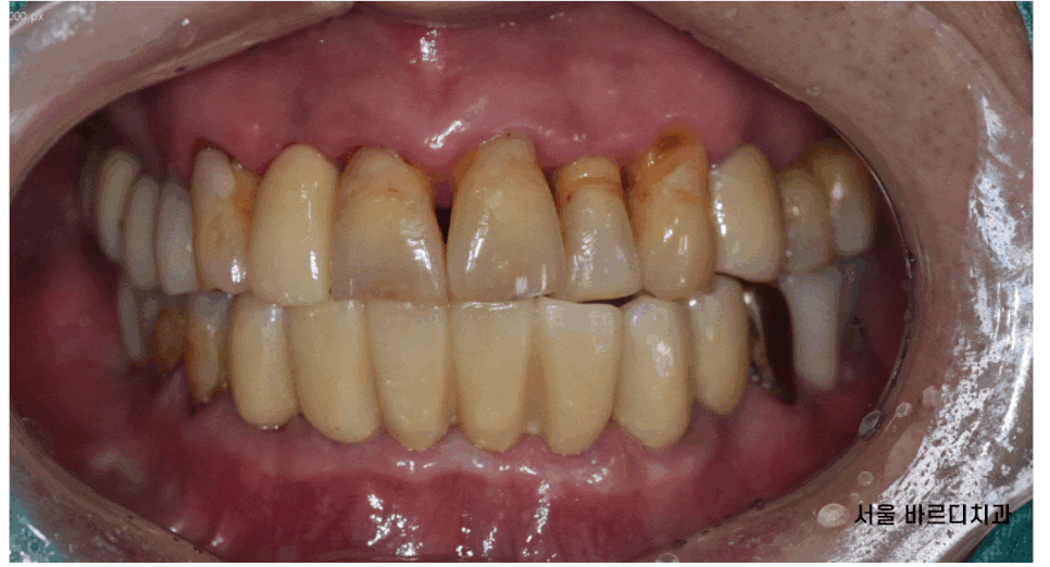
오늘 환자분도 전반적으로 치아가 흔들거려서
내원해주신 환자분입니다.
강일동 임플란트 위아래 치아 흔들림과 통증이 있을 때 방법은?
안흔들리게 할 수 있는 방법이 있을까요~?

잇몸이 염증이 있고
흔들려요
위아래로 쎄게 물었을 때
통증까지 느껴지신다고 하셨습니다.

24.04.25
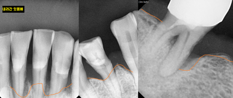
X-RAY를 촬영해보았을 때
전형적인 풍치 증상이네요~
잇몸뼈가 빨간색 라인까지
치아 머리 부분까지
채워져있어야하지만
환자분은 주황색 부분까지 내려간 상황이었습니다.

24.04.25
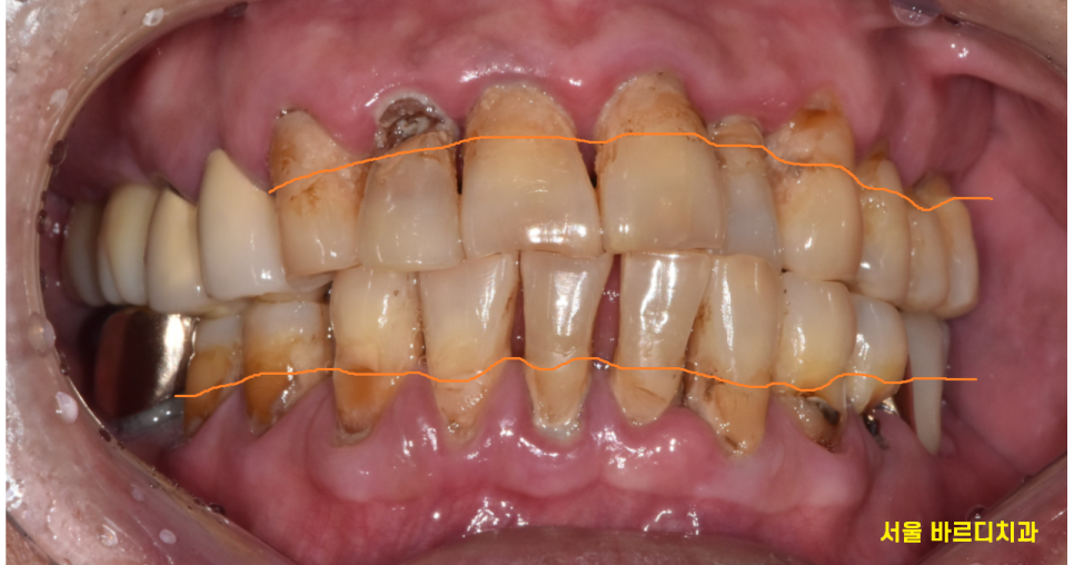
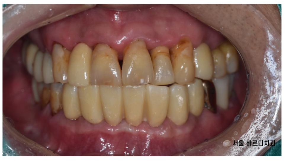
구강 내 사진을 보시면
전반적으로 치아가 길어보이죠~?
주황색 라인까지 잇몸이 덮여 있어야하는데
잇몸뼈가 내려가면서
치아도 길어져 보이는거죠~
치아 뿌리 부분만 붙잡고 있으니
위아래 치아 흔들림과 함께
통증이 있었습니다.

240508

240508
1-2개 치아가 아닌
위아래 치아 흔들림이 있을 경우에는
잇몸뼈가 얼마나 내려가 있느냐에 따라
치아 수명을 평가하게 됩니다.
최대한 치아를 많이 살리고 싶어서
치아 1개씩 사진을 찍어
평가해보았습니다.

240425
치료를 해도 오래 못쓸꺼같은 치아들은 뽑고
강일동 임플란트로 상담드렸습니다.
윗니 4개 임플란트
아랫니 6개 치아
총 10개의 강일동 임플란트 치료를 하셔야했습니다.
이렇게 다발적으로
위아래 치아 흔들림 발생하기 전에
잇몸치료를 받고
계속해서 관리를 받으셨으면
좋았을텐데
치과 방문 시기가 늦어
안타까웠습니다..
▼잇몸치료 관련 글▼
https://blog.naver.com/implant_master/223522841861

24.05.08
전반적으로 강일동 임플란트 치료가 필요할 때에는
치료 순서를
-
위 , 아래로 나눈다
-
좌,우로 나눈다.
-
하루에 전악을 수술한다.
3가지로 나뉘게 되는데요.
환자분은 이왕 치료해야하면
한번에 치료하고 싶다고 말씀해주셨습니다.
당일에 10개의 임플란트 식립으로
치료 계획을 수립

24.05.08
미리 CT를 통하여
식립 예정 부위를 분석하였기 때문에
하루에 다수 치아 수술이 가능했습니다.
강일동 임플란트 10개 식립
문제 없이 끝내드렸습니다 .

240703
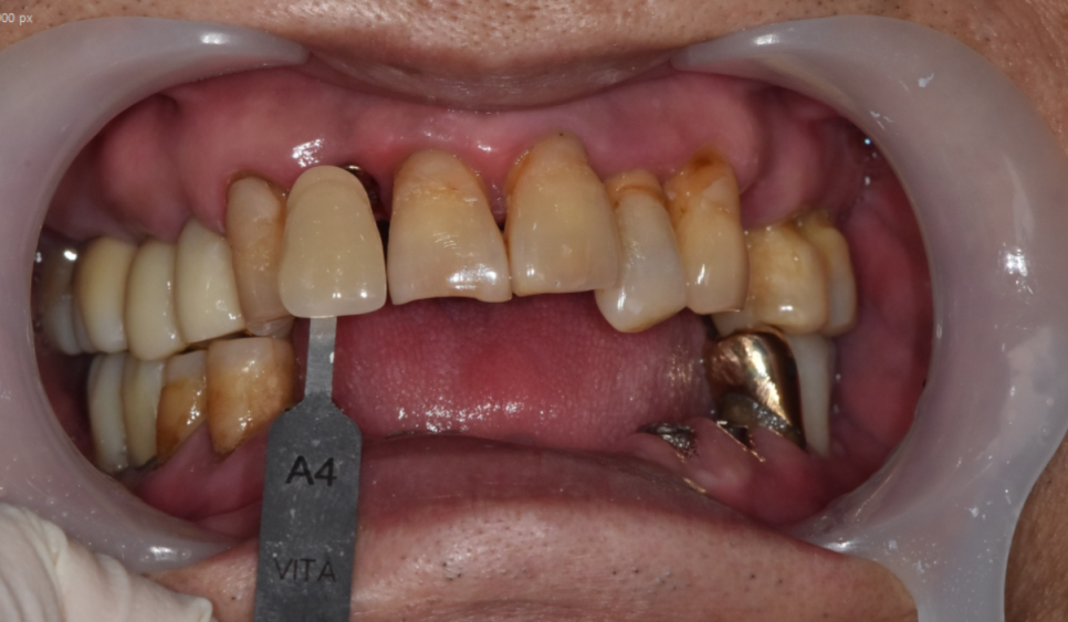
치료 부위 중 앞니가 포함되어 있었는데
무엇보다 중요한 것은 "심미"입니다.
색깔을 자연치와 비슷하게 하여
티가 나지 않도록 제작해드렸습니다.
3
2
1
결과 공개하겠습니다

240724

240724
임플란트로 치료해드렸지만
똑같이 관리가 안될 경우
임플란트를 제거해야할 수도 있음을
강조해드렸습니다.
3개월 주기로 병원에 방문하셔서
관리하기로 하고
치료를 마무리 지었습니다.
▼치과 위치 확인▼
당일 10개 임플란트 치료도
문제없는 서울 바르디치과입니다.
입소문을 듣고 환자분들께서 많이
찾아주셔서
10월달중으로 병원 확장을 진행하게 되었습니다.
요즘 예약은 필수로 하고 내원해주셔야
기대리지 않고 진료볼 수 있습니다!
☎02-481-4278
(예약 전화하러가기)
▼영상으로 요약▼
오늘은 풍치로 치과를 방문해주신 환자분의
이야기를 해드렸습니다.
이미 치아가 흔들린다는 것은
좋지 않은 시그널인데요.
조금이라도 흔들림을 느끼신다면
이 글을 보신 환자분들은
서울바르디치과에 내원해주셔서
검사해주시길 바랍니다.
"블로그 글 보고 왔어요~"
한마디 해주시면
힘내서 작성할 수 있을꺼같습니다!!!
다음 글에서 뵙겠습니다~!
| 본 게시물은 의료광고 법 제56조 1항을 준수하여의료 정보 제공 및 병원 홍보 목적으로 서울 바르디 치과에서 직접 작성하였습니다.제공된 정보는 참고만 하실 것을 권유 드리며 증상 파악 및 정확한 관리 방법은 의료기관에 내원 후 의료진을 통해 안내받으시길 바랍니다.치과에서 진행되는 모든 시술 / 수술은 개인에 따라 (염증, 출혈, 부기 등) 가능성이 있습니다.사전에 의료진과 충분한 상담을 통해 결정하시길 바랍니다.게시물의 치료 사례는 실제 본원에서 치료를 마친 환자분들의 동의하에촬영되었으며 전, 후 사진은 동일 조건에서 촬영되었습니다. |
#강일동임플란트 #위아래치아흔들림