안녕하세요!
통합치의학과 전문의
서울바르디치과 장태현 원장입니다.
2030 세대는 집중해주세요!
사랑니를 뽑아야한다면
제일 적기가 2030세대인데요.
어차피 뽑아야한다면
나이가 젊을수록
쉽게 발치가 가능하고
후유증이 적기 때문입니다.
오늘은 사랑니 발치와 관련된 내용을 준비해보았습니다.
상일동 사랑니 발치 시간, 비용 절약하는 3가지 꿀팁 공개~!
안아프게 뽑을 수 있는 비법
잔뜩 공개해드릴께요~!!

상일동 사랑니 발치는?
사랑을 할 때 올라온다 하여 붙여진 이름입니다.
귀여운 이름과 달리
꽤 괴로운 녀석입니다.
어떤 환자분은 임플란트 수술이
더 안아팠다 하실 정도인데요.

23.07.25
사실 모든 사랑니가
뽑고나서 아픈것은 아닙니다.
사랑니 발치에도 난이도라는 것이 존재하거든요
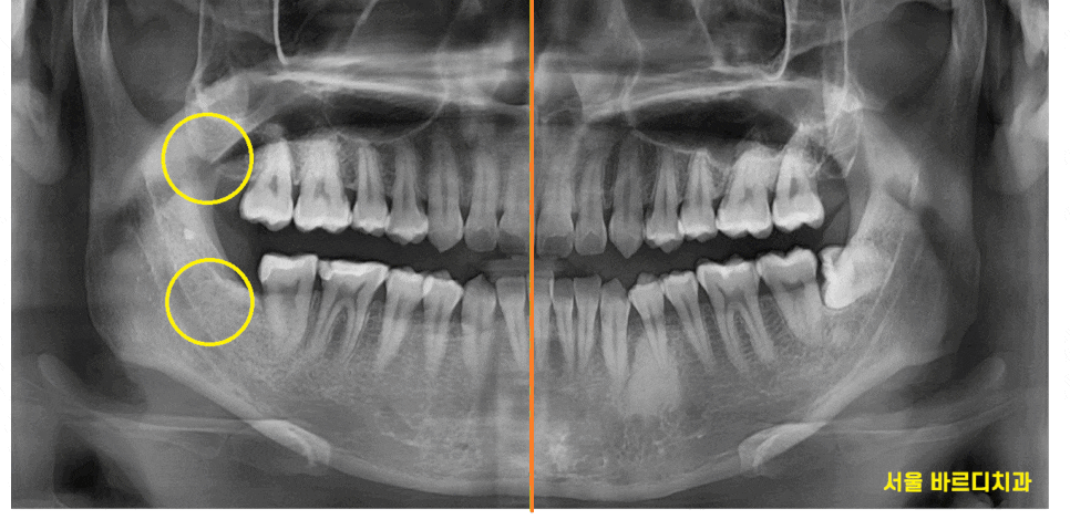
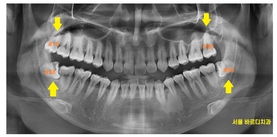
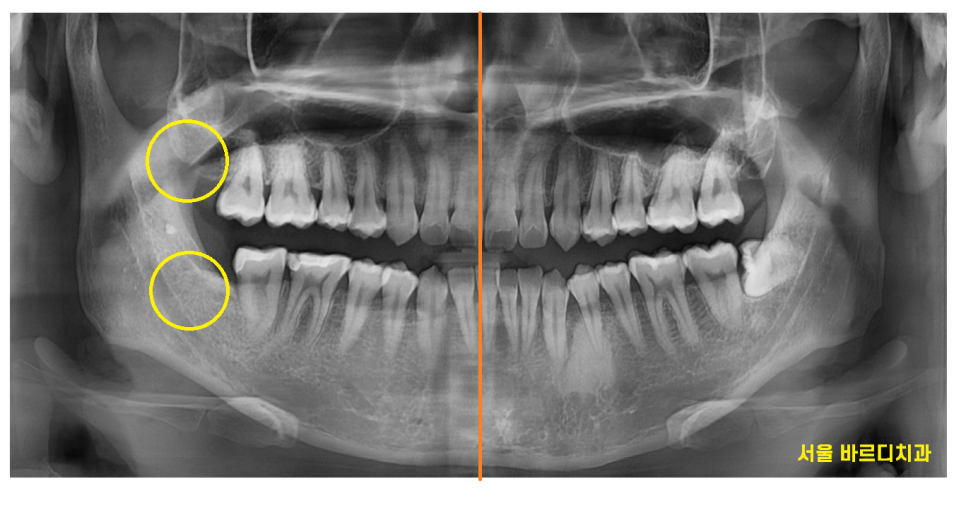
사진 속 4개의 사랑니가 있는데요.
한눈에 보기에도 아래쪽에 위치한 사랑니는
누워있죠~?
누워있고 숨어있는 사랑니는
발치 난이도가 증가하지만
예쁘게 잇몸 밖으로 올라온 사랑니,
윗니 사랑니는 수월하게 뽑을 수 있습니다 .

230731
이렇게 누워서 난 사랑니는
수직으로 뽑을 수가 없기 때문에
쪼개서 뽑아야합니다.
발치 난이도도 올라가고
뼈도 삭제해야해서
발치 후 통증이 심할 수 있습니다.
(발치 후 안아픈 방법은 끝부분에서 알려드릴께요~!)

230731
해부학적으로 하치조 신경관과 근접하기 때문에
뽑고 나서 신경 손상 가능성도 있고요
그래서 꼭 ct를 찍어
안전한 상일동 사랑니 발치를 추구합니다.

230731
위에 사랑니는 아래뼈에 비하여
뼈도 약하고
똑바로 나온 경우가 많아서
발치 난이도가 쉬운편입니다.
관리가 잘되면 그냥 두지만
잇몸 통증이 있거나
불편하실 때에는 발치를 추천드리는데요.

240827
식사하시기 편하시라고
보통은 위아래 나눠서
오른쪽, 왼쪽 반반
상일동 사랑니 발치를 진행합니다.
꿀팁 방출
사랑니 발치와 관련된 정보를 전달해드렸으니
약속은 지키겠습니다.
어떻게 하면 안아프게 뽑을 수 있나요~?
시간, 비용 절약하는거 어떻게 하는건데요?
▼상일동 치과 위치 확인▼
- 서울바르디치과에서 뽑는다.
대학병원의 경우 예약도 오래 걸리고
2, 3차 병원이다보니
진찰료, 진료비 모두 비쌉니다.
거리도 집과 떨어진 경우가 많고요
상일동역 4번출구에 위치한 서울바르디치과
누워있는 사랑니
고난이도 발치도 가능합니다.
| 예약 전화하러 가기 |
|---|
| 02-481-4278 |
예약을 하시면 최대 일주일정도 기다리시고
빠른 발치가 가능하기도 하고요
- 발치 전 진통제를 먹고 뽑는다.
마취가 깨고 나서도
약빨로 버티는겁니다.
발치 후 약을 먹게되면
작용하는데 시간이 걸리기 때문에
발치 전에 진통제 드시고 오시면
통증이 훨씬 덜합니다.
- 젊을 때 뽑는다.
2030세대분들께 집중하라는 이유가 있습니다.
나이가 들어갈수록 뼈와 사랑니가 유착이 되는데요
단단히 뼈처럼 굳어서
발치하는데 애먹을 수 있습니다.
쉽게 생각해보면
교정은 뼈가 잘 움직이는 학생때 진행을
대부분 하잖아요~?
나이가 들어서 발치가 불가능한 것은 아니지만
쉽게 쉽게 뽑으려면
한살이라도 젊을 때 뽑는 것을 강추드립니다.
▼영상으로 요약▼
오늘은 사랑니 발치
어차피 뽑아야한다면
빠르고 비용을 줄이면서
안아프게 뽑을 수 있는지
3가지 꿀팁을 마구마구 방출해드렸습니다.
상일동 사랑니 발치와 관련하여
궁금하신 부분은
댓글 남겨주시길 바랍니다.
대표원장 장태현이었습니다!!
| 본 게시물은 의료광고 법 제56조 1항을 준수하여의료 정보 제공 및 병원 홍보 목적으로 서울 바르디 치과에서 직접 작성하였습니다.제공된 정보는 참고만 하실 것을 권유 드리며 증상 파악 및 정확한 관리 방법은 의료기관에 내원 후 의료진을 통해 안내받으시길 바랍니다.치과에서 진행되는 모든 시술 / 수술은 개인에 따라 (염증, 출혈, 부기 등) 가능성이 있습니다.사전에 의료진과 충분한 상담을 통해 결정하시길 바랍니다.게시물의 치료 사례는 실제 본원에서 치료를 마친 환자분들의 동의하에촬영되었으며 전, 후 사진은 동일 조건에서 촬영되었습니다. |
#상일동사랑니