덕풍동 치과 잇몸 욱신 욱신 원인 찾아
임플란트 수술하였습니다.
안녕하세요!
문제를 찾아 해결해드리는
서울바르디치과 장태현 원장입니다.
잇몸이 욱신 욱신
쑤시는듯하고 불편하신 분들이라면
오늘 저의 글이 도움이 되실꺼라 생각됩니다.
제 글을 3분만 집중해서 읽어주시길 바랍니다.
원인과 해결방법
두가지 모두 얻어가실 수 있을겁니다.

오른쪽 아래 치아
잇몸이 자꾸 욱신거려요
덕풍동 치과를 방문해주신 환자분의 말씀입니다.
x-ray 찍기보다
원장님이 먼저 보고 말씀해달라 하셔서
입안 상태를 먼저 보았습니다.

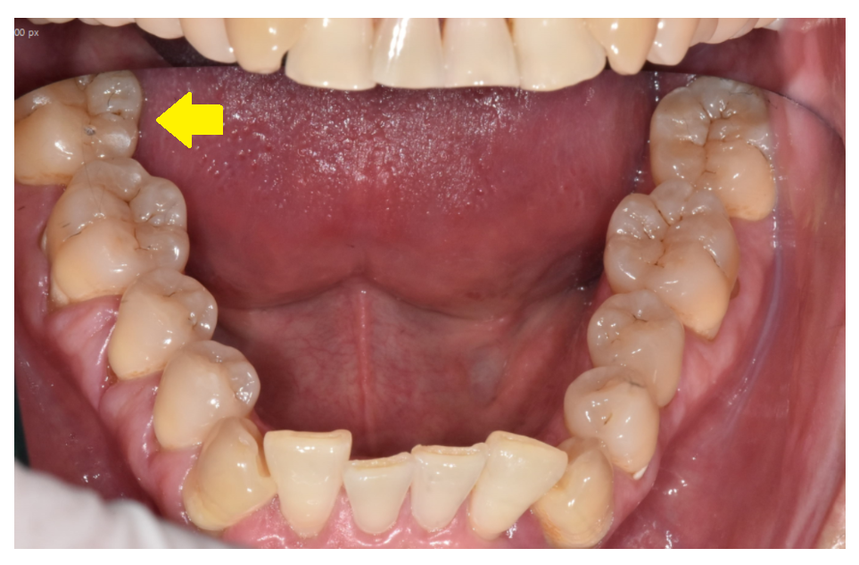
230206
불편을 호소하신 오른쪽 아래 부분
육안으로는 충치도 없고
깨져 나간 부위도
금이 간 흔적도 없었습니다.
다른 치아와 비교해서 큰 문제가 없었는데요.

눈금이 표시되어있죠~?
잇몸 깊이를 재는 도구를 사용하여
잇몸을 재보았는데
쑤욱 들어갑니다.
아 이건 별로 좋지 않은 시그널인데요.
탄탄한 잇몸은
안들어가야하거든요
환자분께 x-ray를 찍어봐야
잇몸 뼈 상태를 알 수 있다
설명드린 후 사진을 촬영해보았습니다.

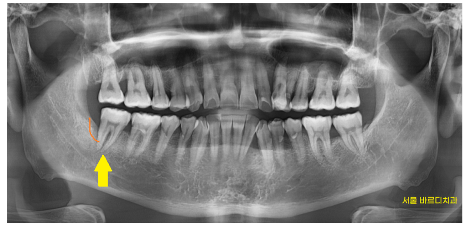
230206
잇몸 뒤쪽으로 뼈가 많이 녹았습니다.
다행히 앞쪽 뼈는 치아 뿌리를 붙잡고 있는 상황입니다.
이미 녹아버린 뼈는 재생이 안되지만
뼈가 내려가는 속도를 늦출 수는 있는데요.
▼치료방법▼
https://blog.naver.com/implant_master/223522841861
잇몸치료를 해드리고
6개월에 한번씩 점검해드리기로 해드렸습니다.

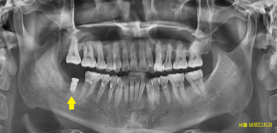
230915
6개월 뒤 덕풍동 치과 내원해주신 사진입니다.
잇몸치료를 계속 받고 있는 상황이었지만
잇몸 뒤쪽 뼈가 더 녹아있습니다.

ct 상에서 잇몸 뼈 한쪽이
움푹 패여졌네요.
뼈가 많이 녹아
치아 뿌리를 붙잡고 있는게 얼마 없다보니
잇몸 욱신 욱신
느끼셨던것 같습니다.

240416
잇몸 욱신 욱신 원인이 충치나
다른 요인이였으면
치아를 살려볼 수 있었겠지만
뼈가 녹은 경우는
다시 재생되지 않습니다.
발치 후 임플란트 해야함을 설명드렸는데요
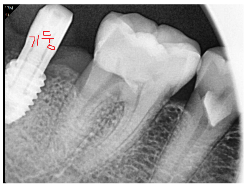
잇몸 뼈 깊이를 재어보니 12.8mm 정도 나왔습니다.
임플란트 길이는 어금니의 경우 8-10mm정도 심으니까
충분합니다.

240518
발치 후 3개월정도 기다렸습니다.
기다린 이유는
환자분의 자연 치유 능력을 기다렸습니다.
뼈이식을 하더라도
내 뼈가 얼마나 남아있느냐에 따라
임플란트 예후는 달라지니까요~
잇몸뼈가 어느정도 차고 나서
임플란트 수술을 진행하였습니다.

240622
잇몸 욱신 욱신 원인이
뼈가 녹은거라
임플란트와 내 뼈가 충분히 결합될 수 있도록
기다려주었습니다.
안정적인 상황에서
머리를 만들어드리는 과정을 진행해드렸고

240720
문제의 치아 해결해드렸기에
이제 씹을 때마다 통증
안녕~~
▼덕풍동 임플란트 결과▼

240720
▼덕풍동 치과 위치 확인▼
단 1개의 임플란트 수술이라도
오차 없이 진행되어야
편하게 쓰실 수 있습니다.
무엇보다 경험이 풍부한 치과에서
진행해보세요~!
| 예약 전화하러 가기 |
|---|
| 02-481-4278 |
▼영상으로 요약▼
오늘은 잇몸 욱신 욱신으로
병원을 내원
뼈 녹음으로 인하여
발치 후 임플란트 한 환자분의 이야기를 해드렸습니다.
치과는 안아플때 오셔야
편안하게 진료를 받으실 수 있습니다.
곧 추석 명절이 다가오는데요
그 전에 병원에 오셔서 검진 받으시고
아픔 없이 맛있는 음식 많이 드시길 바랍니다
| 본 게시물은 의료광고 법 제56조 1항을 준수하여의료 정보 제공 및 병원 홍보 목적으로 서울 바르디 치과에서 직접 작성하였습니다.제공된 정보는 참고만 하실 것을 권유 드리며 증상 파악 및 정확한 관리 방법은 의료기관에 내원 후 의료진을 통해 안내받으시길 바랍니다.치과에서 진행되는 모든 시술 / 수술은 개인에 따라 (염증, 출혈, 부기 등) 가능성이 있습니다.사전에 의료진과 충분한 상담을 통해 결정하시길 바랍니다.게시물의 치료 사례는 실제 본원에서 치료를 마친 환자분들의 동의하에촬영되었으며 전, 후 사진은 동일 조건에서 촬영되었습니다. |
#덕풍동치과 #잇몸욱신욱신