안녕하세요!
환자분들의 고통을 해소해드리는
서울바르디치과 장태현 원장입니다.
명절이 다가옵니다.
명절에 맛있는 음식을 많이 드시고
문제가 생겨서 방문하시는 경우가 많습니다.
약해진 치아에 딱딱한 갈비나 게장같은걸 먹다가
부러지거나,,
벗겨지거나 등등요
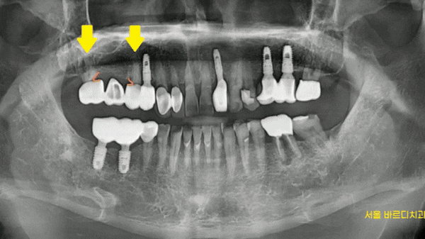
예전에 씌운 이 상악동 거상술 뼈이식 동반하여 임플란트 완료
그만큼 예전에 치료한 치아들은
시간이 흐를수록 약해지고 있기 때문에
최대한 달래서 사용해야하는데요.
오늘 환자분도 관리하시다가 문제가 생긴 경우입니다.

오른쪽 위에가 건들거려요

230313
서울바르디치과를 내원하신 환자분입니다.
예전에 씌운 이가 건들거린다고
봐달라고 하셨는데요.
x-ray 를 우선 찍어보니
충치가 먹은게 보였습니다.

230313
요즘은 잘 쓰지 않는
은색 치아인걸보니
치아를 씌운지 정말 오래되셨나봅니다.
우선 예전에 씌운 이를 벗겨내봐야
내부 상태를 정확히 알 수 있어서
보철물을 벗겨보았는데요.

230322
환자분께 설명 드렸던 사진입니다.
동그라미로 표시한 부위가 충치입니다.
단순히 충치만 있는 것이 아니라
한쪽 뿌리 뼈도 많이 녹아
검정색으로 보이네요~

230515
해당 치아는 치료를 하더라도 몇개월 안가
문제가 생길듯 하였습니다
기회비용을 생각하여
당일 문제 치아 발치 후 상악동 거상술을 동반한 뼈이식
진행하였는데요.
▼상악동 거상술이란?▼
치아 쪼개짐으로 상악동 거상술 동반한 임플란트.. : 네이버블로그 (naver.com)

230531
서울 바르디치과의 장점 중 하나는
90% 이상 무절개 임플란트를 시행합니다.
CT를 통해 정확히 분석 후
꼭 필요한 부위만 구멍을 뚫어 수술을 진행하기때문에
불필요한 잇몸절개가 필요없습니다.

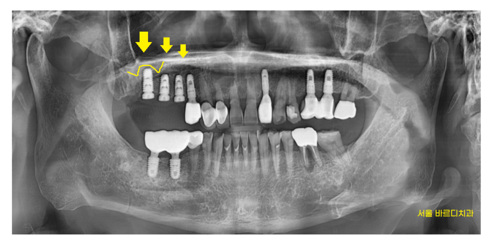
230704
시간이 흘러 뽄을 뜨는 날 사진입니다.
예전에는 1개 어금니가 없었지만
예전에 씌운 이 임플란트로 교체하면서
치아 개수에 맞춰 치료를 해드렸습니다.
그 결과..?


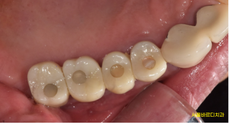
240122
치아 개수가 부족해
씹는 힘이 약했던 부위를
임플란트로 교체 완료하였습니다.
▼치과 위치 확인▼
디지털 장비를 사용한 꼼꼼한 분석으로
최소 절개를 실시한 서울바르디치과입니다.
5호선 상일동역에 치과가 위치합니다.
| 예약 전화하러 가기 |
|---|
| 02-481-4278 |
오늘은 예전에 씌운 이가 충치가 생겨
보철 제거를 하였는데
도저히 치료할 수 없어
발치 후 상악동 거상술을 동반한 임플란트 한
환자분의 이야기를 해드렸습니다.
▼영상으로 요약▼
제일 좋은 것은 보철을 벗겼을 때
내부 상태가 깨끗하여
다시 보철을 하는게 치아한테는 최고입니다.
환자분들에 따라 내부 보철 상황은 달라지기에
오셔서 검사받아주시면 감사하겠습니다!
| 본 게시물은 의료광고 법 제56조 1항을 준수하여의료 정보 제공 및 병원 홍보 목적으로 서울 바르디 치과에서 직접 작성하였습니다.제공된 정보는 참고만 하실 것을 권유 드리며 증상 파악 및 정확한 관리 방법은 의료기관에 내원 후 의료진을 통해 안내받으시길 바랍니다.치과에서 진행되는 모든 시술 / 수술은 개인에 따라 (염증, 출혈, 부기 등) 가능성이 있습니다.사전에 의료진과 충분한 상담을 통해 결정하시길 바랍니다.게시물의 치료 사례는 실제 본원에서 치료를 마친 환자분들의 동의하에촬영되었으며 전, 후 사진은 동일 조건에서 촬영되었습니다. |
#예전에씌운이 #상악동거상술뼈이식