안녕하세요!
바르고 정직한 진료를 시행하는
서울바르디치과 장태현 원장입니다.
상일동 치과 잇몸 내려감 치료는 임플란트로
성인들의 발치 제 1원인은 "잇몸병"때문입니다.
충치가 없어도
뿌리를 붙잡고 있는 뼈가 내려가서
치아가 흔들거림 발생
결국은 이를 뽑아야하는 상황에 오는거죠.
오늘 환자분의 이야기
집중해주세요!!

이를 뽑아야해요

230427
이미 치아 한개가 뽑힌 상태로
상일동 치과를 내원해주셨습니다.
치아 떼운 곳도 떨어지고
전반적으로 손봐야한다고 표현해주셨는데요.

230427
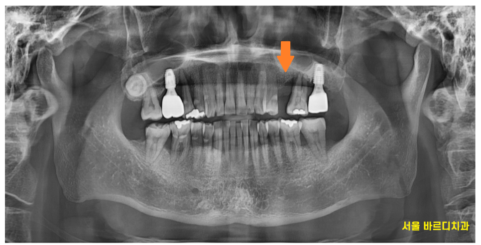
유독 안좋은 부위를
작은 x-ray를 찍어 추가 검사해보았더니..
오른쪽 윗 어금니 치아
잇몸 내려감이 관찰되었습니다.
정확하게 말해서는 잇몸 뼈가 내려간거죠


230427
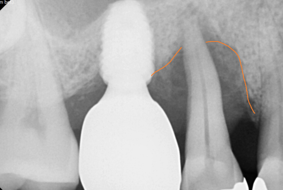
이미 이를 하나 뽑힌채로 오셨는데
치아가 없는 부위 옆에 치아도 좋지 않네요..
잇몸 내려감이 관찰
뽑은 부위는 동굴처럼 잇몸뼈가 푹 꺼졌습니다.

230427
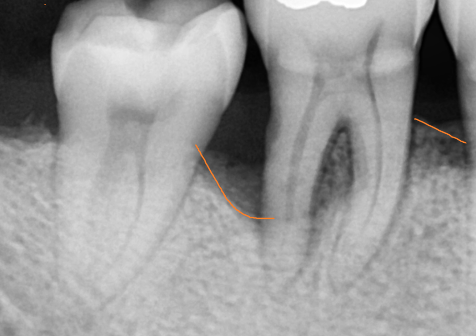
다른 부위도 잇몸이 많이 내려가긴 하였지만
흔들린다고 하여
모두 치료를 포기할 수는 없습니다.
무조건 발치는 답이 아니기에
많이 흔들리는 치아 먼저
우선순위를 두어
상일동 치과에서 치료하기로
상담해드렸습니다.

230427
왼쪽 위에 먼저 임플란트 1개를 식립하였습니다.
한쪽씩 치료를 원하셨던 환자분이라
왼쪽 치료가 끝나면
오른쪽 치료를 해드리기로 했는데요.

240622
왼쪽 치료가 끝나고
식사를 할 수 있게 된 뒤
오른쪽 치료를 시작했습니다.
잇몸 내려감으로 뼈 손실이 심하여
뼈이식을 진행하였는데요
▼상악동 거상술 진행▼
치아 쪼개짐으로 상악동 거상술 동반한 임플란트.. : 네이버블로그 (naver.com)
임플란트 수술 중 가장 고난이도 수술인
상악동 점막을 들어올려서
수술을 진행하였습니다.
상일동 치과에서는 두가지 방식의
상악동 거상술이 가능한데
다음번에 자세히 말씀 드리겠습니다.

240729
임플란트 완성한 모습입니다.
잇몸 내려감으로 뼈가 꺼져있었기에
회복에 집중했습니다.
부족한 부분은 뼈이식을 통해 보충
원상태로 복귀시켜드렸습니다.
▼상일동 치과 위치 확인▼
5호선 상일동역에 서울바르디치과가 위치합니다.
앞니, 어금니
그 어떤 어려운 임플란트 수술도
주저하지 않겠습니다.
| 예약 전화하러 가기 |
|---|
| 02-481-4278 |
상일동 치과에서는 처음 내원 시
한 분당 30분 정도의 진단 시간이 소요됩니다.
혹시나 놓치는 부분이 없을까
구강 내 사진을 남겨두고
처음 상태를 "기록"해 두는데 진심입니다.
미리 예약을 하시고 오시면
기다리시지 않고 진료가 가능합니다.
▼영상으로 요약▼
오늘은 잇몸 내려감으로
치과를 방문해주신 환자분의 이야기를 해드렸습니다.
잇몸은 한번 망가지면
회복이 참 어렵습니다.
조금의 흔들림이라도 느껴지시는 순간
바로 상일동 치과로 내원해주시길 바랍니다!
| 본 게시물은 의료광고 법 제56조 1항을 준수하여의료 정보 제공 및 병원 홍보 목적으로 서울 바르디 치과에서 직접 작성하였습니다.제공된 정보는 참고만 하실 것을 권유 드리며 증상 파악 및 정확한 관리 방법은 의료기관에 내원 후 의료진을 통해 안내받으시길 바랍니다.치과에서 진행되는 모든 시술 / 수술은 개인에 따라 (염증, 출혈, 부기 등) 가능성이 있습니다.사전에 의료진과 충분한 상담을 통해 결정하시길 바랍니다.게시물의 치료 사례는 실제 본원에서 치료를 마친 환자분들의 동의하에촬영되었으며 전, 후 사진은 동일 조건에서 촬영되었습니다. |
#상일동치과 #잇몸내려감