안녕하세요!
아프지 않게 치료해드리는
서울바르디치과 장태현 원장입니다.
최근에는 치아 상실 시 임플란트 치료가
해답이 되고 있습니다.
다수의 치아가 상실될 경우
임플란트가 부담이 될 수 있는데요.
이럴때 해답이 될 수 있는 방안을
알려드릴까 합니다.
고덕역 치과 전체 치아 상실 시 자석 틀니 오버덴쳐가 해답이 될 수 있습니다.
오버덴쳐는 무엇인지
함께 공부하러 가보실까요~?

틀니 수리해주세요

230714
당뇨로 인하여 일찍부터 치아를 다수 상실하셨다는 어르신
그동안 틀니를 사용하고 계셨는데
오래 사용하다보니 낡기도 하였지만
떨어트렸다가 틀니가 깨지셨답니다.
틀니를 수리하시기 위하여
고덕역 치과를 방문해주셨는데요.

230714
윗니의 경우 전체 치아 상실이 있네요
보험 틀니의 경우 7년에 한번씩 새로 보험 적용이 가능합니다.
오래 사용하시기도 하여
새롭게 제작하시는건 어떻냐 여쭤봤는데
문제는...
워낙 오래전부터 틀니를 사용하신터라
잇몸뼈가 얇아져있었습니다.
새롭게 제작한다고 하여도
금방 껄떡껄떡거리고
쉽게 빠질께 분명하였죠.
▼틀니vs임플란트 비교글▼
https://blog.naver.com/implant_master/223560126525
틀니는 잇몸 위에 얹어서 쓰는 것인데
충분한 잇몸뼈가 없으면
쉽게 떨어져버리거든요
새롭게 제작하는 틀니도 쉽게 떨어져
불편할 수 있음을 설명드리자
그렇다면 덜 떨어지게 할 수 있는 방법은 없는지
물어보셨습니다.
해결책을 알려드렸죠.
경제적이고
틀니와 임플란트의 장점을 합한
오버덴쳐
똑딱이 틀니
오버덴쳐
자석 틀니
임플란트 틀니 등등
다양한 이름으로 불리는데요.
전체 치아 상실 시 하나의 대안이 될 수 있습니다.
전체 임플란트 심기에는
1)비용적으로 부담이 될 때
2)잇몸뼈가 거의 없을 경우
3)틀니는 싫을 경우
추천되고 있습니다.

230714
오버 덴쳐란 무엇이냐?
전체 치아 상실 시
부분적으로 임플란트를 심는겁니다.
보통 2-4개의 임플란트를 심는데
환자분의 잇몸 상태에 따라 달라지게 됩니다.
그리고 임플란트 위에 자석을 연결하여
틀니를 붙이게 되는데요.
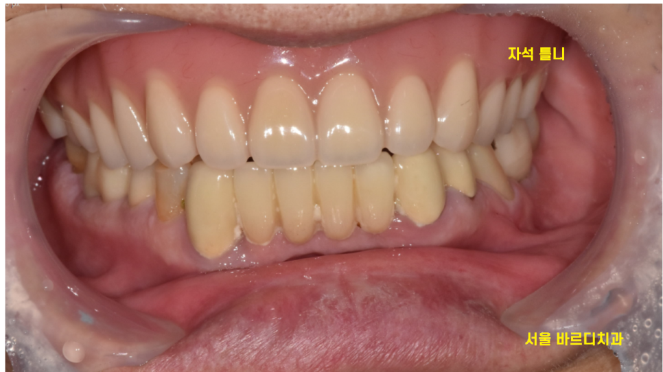
그래서 자석 틀니라고 불립니다.
틀니를 기존에 잇몸 위에 얹어서 사용했다면
임플란트와 결합하여 사용하는것이죠.

240411
겉으로 보았을 때는
일반 틀니와 똑같지만..?

240228
엑스레이를 찍어보면
임플란트가 심어져 있답니다.
임플란트와 틀니를 자석으로 연결하니
접착력이 좋다
잘 안떨어진다~~~
▼고덕역 치과 위치 확인▼
다수 치아 상실 치료 방법은
다양합니다.
임플란트
틀니
임플란트 틀니가 결합된 오버덴쳐 (자석 틀니)
고덕역 치과에서는 다양한 치료 방법을
준비해두고 있습니다.
환자분께 어떤 치료가 제일 효과가 있을 것인지?
맞춤으로 상담해드리겠습니다.
| 예약 전화하러 가기 |
|---|
| 02-481-4278 |
▼영상으로 요약▼
오늘은 오버덴쳐
자석 틀니가 다수 치아 상실의
치료 방안이 될 수 있다 설명드렸습니다.
| 전체 임플란트 식립보다 경제적이다. |
|---|
| 기존 틀니에 비하여 잘 안떨어진다 |
두가지로 오버덴쳐 장점을 정리하고
글을 마무리하겠습니다.
궁금하신 점은 언제든지 블로그 댓글을 통해 남겨주세요.
대표원장 장태현이었습니다!!
| 본 게시물은 의료광고 법 제56조 1항을 준수하여의료 정보 제공 및 병원 홍보 목적으로 서울 바르디 치과에서 직접 작성하였습니다.제공된 정보는 참고만 하실 것을 권유 드리며 증상 파악 및 정확한 관리 방법은 의료기관에 내원 후 의료진을 통해 안내받으시길 바랍니다.치과에서 진행되는 모든 시술 / 수술은 개인에 따라 (염증, 출혈, 부기 등) 가능성이 있습니다.사전에 의료진과 충분한 상담을 통해 결정하시길 바랍니다.게시물의 치료 사례는 실제 본원에서 치료를 마친 환자분들의 동의하에촬영되었으며 전, 후 사진은 동일 조건에서 촬영되었습니다. |
#고덕역치과 #오버덴쳐 #자석틀니