안녕하세요!
끝까지 내 치아를 살리려 노력하는
서울바르디치과 장태현 원장입니다.
즐거운 추석 명절 연휴입니다.
제 글을 읽으시는 환자분들
가족과 함께하는 즐거운 연휴 보내시길 바랍니다.
추석 연휴인만큼 맛있는 음식을 많이 드실텐데요.
강일동 치과 추석 명절 딱딱한 음식은 절대 피하세요
치아 골절 생깁니다.
자칫 잘못하다가는..?
이렇게 됩니다!

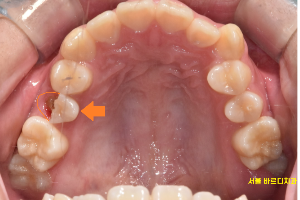
치아가 골절됐어요
급하게 치아가 세로로 골절 되었다고
강일동 치과에 연락을 주신 환자분입니다.

231109
정확히 치아가 절반으로 나누어졌습니다.
환자분께 어쩌다 이렇게 되셨나요~?
여쭤보니...
딱딱한 누룽지를 드셨답니다.
오마이갓..!
한국 음식 중에는 딱딱한 음식이 참으로 많습니다.
딱딱한 음식을 잘못 먹게되면
오늘 환자분처럼
불의의 사고가 발생하게 됩니다.
치아가 쪼개지기도 하고
치아 골절 발생
지속적으로 드시면
턱관절에 무리를 일으키게 됩니다.

231109
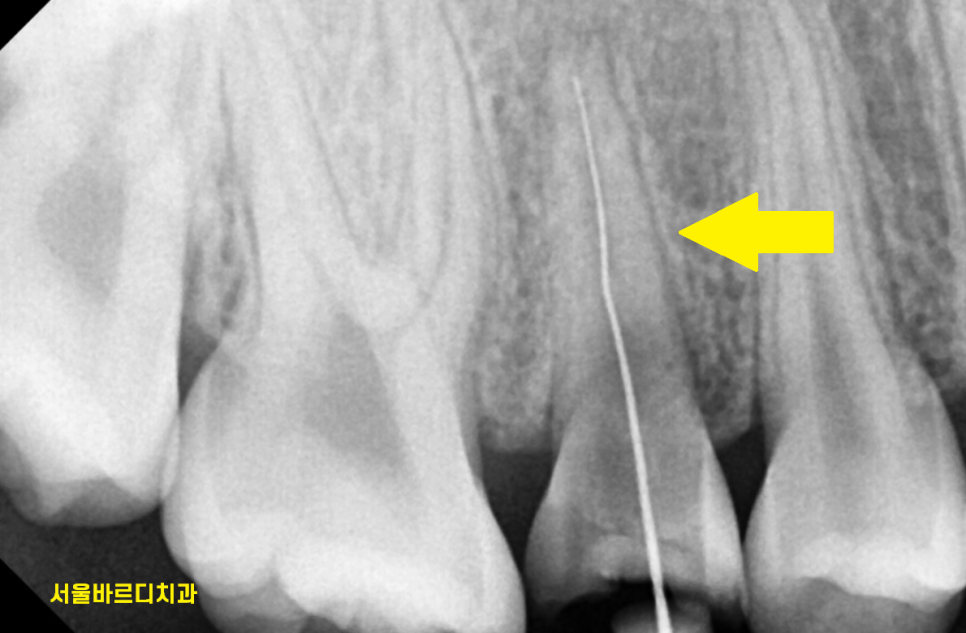
치아가 뿌리쪽까지 부러지긴 했지만
절반 정도가 남아 있어서
신경치료 후 살려보기로 하였습니다.

231109
환자분은 x-ray를 찍어보았을 때
뿌리 끝에 염증이 없고
치아 흔들림이 없기에
살려볼 수 있었는데요.
▼치아 쪼개짐 다른 케이스▼
https://blog.naver.com/implant_master/223408720869
똑같이 치아 골절 있더라도
경우에 따라 뽑아야 할 수 있어서
병원에 오셔야 정확한 진단이 가능합니다.
▼강일동 치과 위치 확인▼

231109
한쪽 부분이 잇몸에 박힐 정도로
많이 부러져서
잇몸도 절제하고
보철물 제작을 시행하였는데요.

231215
작은 어금니라 힘을 많이 받지 않는 부위라
살려 볼 수 있었습니다.
추석 명절 맛있는 음식을 많이 드실겁니다.
딱딱한 음식은 절대 피하셔야하는데요.
예를들어..
밤, 감, 꽃게 무침, 누룽지 , 옥춘 사탕
얼음도 딱딱합니다.
자칫잘못하다가는
치아가 오늘 환자분처럼
쪼개지고 부러집니다.
| 예약 전화하러 가기 |
|---|
| 02-481-4278 |
강일동 치과에서는 최대한 자연 치아 살리기를
시행합니다.
1년을 쓰더라도 내 치아만큼 좋은 것은 없기 때문인데요.
내 치아를 최대한 오래 쓰기 위하여
안좋은 습관은 이제 최대한 줄여보자고요~!
▼영상으로 요약▼
오늘은 딱딱한 음식을 드시고
치아가 쪼개져
강일동 치과를 내원한 환자분의 이야기였습니다.
부디 제 글을 읽으신 환자분들이라면
딱딱한 음식 최대한 안드셨기를 바랍니다.
궁금하신 점은 언제든지 블로그 댓글을 통해 남겨주세요.
대표원장 장태현이었습니다!!
| 본 게시물은 의료광고 법 제56조 1항을 준수하여의료 정보 제공 및 병원 홍보 목적으로 서울 바르디 치과에서 직접 작성하였습니다.제공된 정보는 참고만 하실 것을 권유 드리며 증상 파악 및 정확한 관리 방법은 의료기관에 내원 후 의료진을 통해 안내받으시길 바랍니다.치과에서 진행되는 모든 시술 / 수술은 개인에 따라 (염증, 출혈, 부기 등) 가능성이 있습니다.사전에 의료진과 충분한 상담을 통해 결정하시길 바랍니다.게시물의 치료 사례는 실제 본원에서 치료를 마친 환자분들의 동의하에촬영되었으며 전, 후 사진은 동일 조건에서 촬영되었습니다. |
#강일동치과 #딱딱한음식 #치아골절