안녕하세요!
아프지않게 치료하는
서울바르디치과 장태현 원장입니다.
요즘 sns에서 유행하는 릴스가 있습니다
보다보니 치과를 두려워하시는
환자분들이 생각났는데요.
시작이 제일 무서워 미룬이
내일의 나에게 일단 미루지
그러다가 돼버렸지 미룬이
미룬이가 되시지 마시고
즉각이가 되어 보아요 우리.
하남 미사 치과 공포증 치료가 두려우신 분들 컴온

미루고 미루다 왔어요.
치과가 병원중에 제일 싫어요
오늘의 환자분
제 얼굴을 보시자마자
치과가 제일 싫으시다고ㅠㅠㅠ
하남 미사 치과를 방문하시는 환자분들 중에서
기쁜 마음으로 방문하시는 분들은 없습니다
99% 이상이 정말 싫다고 표현하시는데요.
그 마음 충분히 공감합니다.

230130
왼쪽 아래 치아가 너무 아파서
도저히 못참겠다고 하셨습니다.
부러진지는 한참 됐는데
진통제를 먹으면서 참으셨답니다.
치과 공포증이 너무 심해
버틸 수 있을때까지 버텼다 말씀해주셨는데요.

230130
부러진 부위는
까맣게 변했을정도로 상태가 안좋았습니다.

230130
외관상의 문제보다
뿌러지고 방치 되면서
치아 주변 뼈가 녹은게 관찰됩니다.
통증이 있는 상태라
해결을 위해서는 치아를 뽑아야 했는데요.
치과 공포증이 심하신 관계로
여쭤보았습니다.
통증, 비용, 소리
어떤 부분 때문에
치과 내원을 힘들어하시나요~??
환자분께서는 통증때문이라고 하셨는데요.
어렸을 때 마취를 하도 많이 해서
아직까지도 치과는 공포의 존재라 하셨습니다.
환자분께 약속드렸습니다.
100% 안아프게는 못해드리지만
최대한 덜 아프게 치료해드리기로요.
두가지 방법을 사용했는데
하남 미사 치과의 아프지 않게 치료하는 방법은
다음 글에서 자세히 언급해 드릴께요~!
왼쪽 아래는
아프셔서 내원하셨기 때문에
바로 치료가 필요하였습니다.
치료할 부분은 반대편에도 있었는데요

230214
아프지는 않다고 하셨지만
오른쪽 아래 어금니 치아도 염증이 있었습니다.

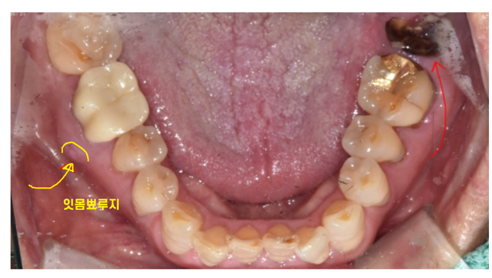
231029
이미 잇몸 밖으로 여드름 마냥
고름이 나오고 있었거든요ㅠㅠ
▼비슷한 케이스 ▼
https://blog.naver.com/implant_master/223508356538
임플란트 수술 경험도 없고
치과 공포증이 심하셨기 때문에
무리해서 치료를 한번에 하기보다
아픈거 해소부터 하시라 말씀드렸습니다.
우선 한번 저를 믿고 치료해보세요
최대한 안아프게 해드릴께요~
신뢰감을 드리기위하여
비장의 무기를 꺼냈는데요.
oo마취기
(다음 글에서 공개됩니다!)
기계빨을 사용하여
최대한 안아프게 마취를 진행하였습니다.

230214

230214
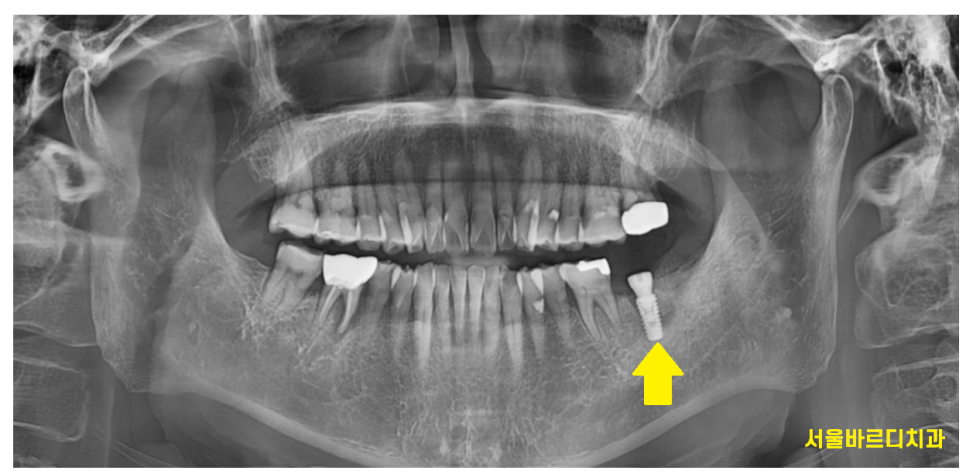
아픈 왼쪽 아래 부위는
발치한 당일에 하남 미사 치과에서
임플란트를 심어 드렸습니다.
수술 당일 원장님
겁 먹었던게 부끄러울정도로
안아팠어요.
말씀하시고 가셨습니다 ㅎㅎ

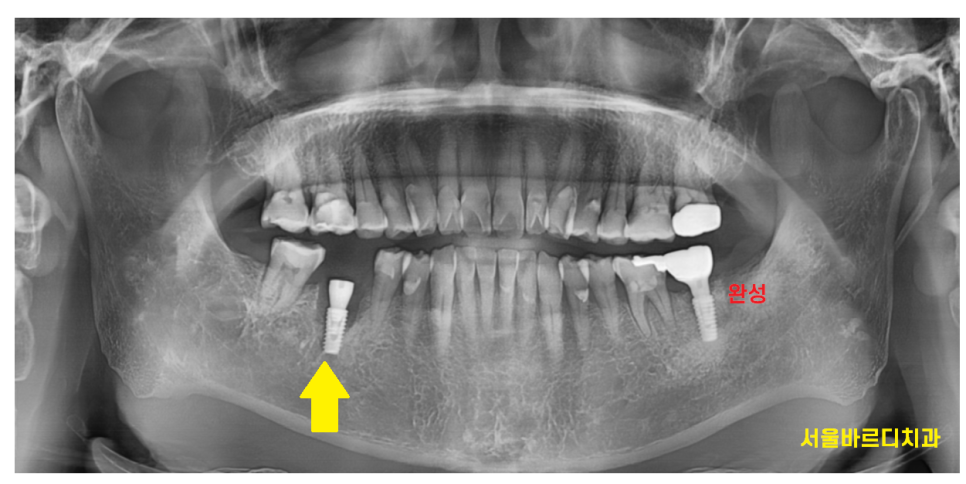
230926
치료 기간을 단축하기 위해서라면
중간에 수술을 하였어도 되었지만습니다.
임플란트 치료 경험이 없으셨기에
한쪽 우선 끝내놓고
임플란트 치료의 전 과정을 겪어보게 한 후
반대편 수술을 진행하였습니다.

240329
치과 공포증은 수술을 하고
이를 뽑고
마취를 하는 날에만 있는 것은 아니니까요
모든 치료가 끝날때까지
설명은 최대한 자세하게
살짝 따끔할 수 있는 부분도 미리 언급드리며
안아프게
공포감을 줄여드릴 수 있게 노력했습니다.
저희의 노력 덕분인지
환자분께서 중간에 포기 없이 치료를 진행해주셨는데요.
문제가 있는 부위를 무사히 끝낼 수 있어서
다행입니다!
▼하남미사치과 위치 확인▼
아프지않게 치료해드리는 서울 바르디 치과!
5호선 상일동역에 치과가 위치합니다.
| 예약 전화하러 가기 |
|---|
| 02-481-4278 |
하남 미사 치과에서는
편안한 마음으로 내원하실 수 있도록
노력하고 있습니다.
2가지의 안아픈 마취 방법을 사용하고
언제나 친절한 미소와 말투를 장착하기 위해
내부 교육에 힘쓰고 있습니다.
진료 중 불편하신 점은
병원 리뷰에 남겨주세요!
제가 매일 확인하면서
고쳐할 부분을 확인하고 있습니다.
▼영상으로 요약▼
다음 시간에는 어떻게 치과 공포증 환자분을
설득하여 치료를 시작하게 하였는지
하남 미사 치과가 아프지 않게 치료하는
방법에 대한 글을 작성해보도록 하겠습니다.
대표원장 장태현이었습니다!!
| 본 게시물은 의료광고 법 제56조 1항을 준수하여의료 정보 제공 및 병원 홍보 목적으로 서울 바르디 치과에서 직접 작성하였습니다.제공된 정보는 참고만 하실 것을 권유 드리며 증상 파악 및 정확한 관리 방법은 의료기관에 내원 후 의료진을 통해 안내받으시길 바랍니다.치과에서 진행되는 모든 시술 / 수술은 개인에 따라 (염증, 출혈, 부기 등) 가능성이 있습니다.사전에 의료진과 충분한 상담을 통해 결정하시길 바랍니다.게시물의 치료 사례는 실제 본원에서 치료를 마친 환자분들의 동의하에촬영되었으며 전, 후 사진은 동일 조건에서 촬영되었습니다. |
#하남미사치과 #치과공포증