안녕하세요!
환자분들의 해결사
서울바르디치과 장태현 원장입니다.
명절에 딱딱한 음식을 조심하시라고
언급해드린적 있는데요.
https://blog.naver.com/implant_master/223586135038
명절이 끝나자마자
치아가 쪼개진 환자분들이 속출하고 있습니다.
이 쪼개짐도 정도에 따라 치료를 하는데
풍산동 치과 어금니 쪼개짐 임플란트를 해야할 때는?
언제일까요~?
이 글을 끝까지 따라와주시고 호흡해주세요!!

오른쪽 위가 어금니쪽으로 아파요 깨진 것 같기도하고
환자분 스스로
느낌이 싸하다...하시면서
풍산동 치과를 방문해주셨습니다.

231102
엑스레이를 찍어보았는데
오른쪽 위에 부분에 크게 충치라던가
잇몸 염증은 보이지 않았는데요.
저는 오히려 왼쪽 아래가
더 눈에 잘 들어오더라고요.
우선 환자분께서는 오른쪽 위에가
불편하다고 하셨기에
입안 상태를 보았습니다.

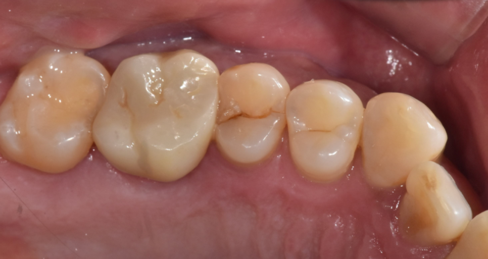
문제의 오른쪽 윗부분을 보는데..
딱 보입니다.
어금니 쪼개짐이 보입니다.

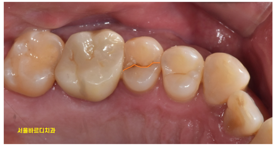
231102
정확히 절반으로 어금니 쪼개짐
발생했습니다.

231102
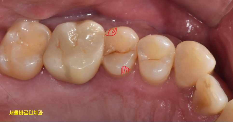
확대해서 보면
이런 모습이죠
환자분 혹시 딱딱한거 드셨나요~?
오돌뼈를 드셨답니다.
저도 오돌뼈를 참 좋아하는데요.
오독오독 식감이 살아있죠ㅠㅠ
그렇지만 딱딱하기 때문에
약해진 치아를 잘못 씹었을경우
이번처럼 어금니 쪼개짐 발생할 수 있습니다.
치료는 부위에 따라 달라지는데요.

231102
이렇게 귀퉁이가 약간 깨졌으면
레진

231102
한쪽 귀퉁이가 다 깨졌다.
깨진 부위가 크면 크라운 치료로
치아를 살려볼 수 있습니다.
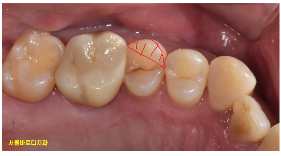
하지만 오늘처럼 치아가 수직으로
도끼로 나무를 내려찍은듯한 형태인 경우
살리기가 힘듭니다.

231102
결국 풍산동 치과에서
발치 후 임플란트 하는 쪽으로 설명드렸는데요.
환자분께서 많이 속상해하셨어요.
다시는 오돌뼈를 안먹겠다 다짐하셨답니다.

231117
풍산동 치과 방문하신 날
어금니 쪼개짐 치아 발치
그리고 임플란트 진행하였습니다.

240126
동그라미 구멍이 있는 치아가
풍산동 임플란트 한 부위입니다.
구멍이 있는 것은 추후 임플란트에 문제가 생겼을 때
수리하기위함인데
다음 포스팅에서 설명드리겠습니다.
딱딱한 음식이 참으로 맛있지만
치아에는 최악입니다.
특히 나이가 들어갈 수록
치아도 수분을 잃어가기 때문에
작은 충격에도 쉽게 쪼개지고 깨지고
문제가 생길 수 있어요.
딱딱한 음식은 우리 이제
최대한 먹지 말아요~~~
▼풍산동 치과 위치 확인▼
풍산동 치과는 근거 기반의 치료를 진행합니다.
처음 내원 시
자세하게 구강 상태를 기록해 놓는데요.
직접 환자분께서 눈으로 보고
쉽게 설명드리기 위해서입니다.
환자분께 최대한 자세하게
치료를 할 수 밖에 없는 이유를 설명드립니다.
| 예약 전화하러 가기 |
|---|
| 02-481-4278 |
작은것도 놓치지 않는 치과
서울 바르디치과입니다!!
▼풍산동 임플란트 케이스 보러가기▼
예약 환자 위주로 진료를 진행하기 때문에
당일에 방문하시게 되면
오래 기다리실 수 있습니다.
아침에 전화 한통 하시고
내원 부탁드립니다!!!
대표원장 장태현이었습니다!!
| 본 게시물은 의료광고 법 제56조 1항을 준수하여의료 정보 제공 및 병원 홍보 목적으로 서울 바르디 치과에서 직접 작성하였습니다.제공된 정보는 참고만 하실 것을 권유 드리며 증상 파악 및 정확한 관리 방법은 의료기관에 내원 후 의료진을 통해 안내받으시길 바랍니다.치과에서 진행되는 모든 시술 / 수술은 개인에 따라 (염증, 출혈, 부기 등) 가능성이 있습니다.사전에 의료진과 충분한 상담을 통해 결정하시길 바랍니다.게시물의 치료 사례는 실제 본원에서 치료를 마친 환자분들의 동의하에촬영되었으며 전, 후 사진은 동일 조건에서 촬영되었습니다. |
#풍산동치과 #어금니쪼개짐
#풍산동임플란트