안녕하세요!
환자분들의 일상 회복을 도와드리는
서울바르디치과 장태현 원장입니다.
치아가 손상되는 원인은 다양합니다.
충치, 깨져 나감, 금 감
그 중에서 가장 대표적인 충치로 인하여
치아가 손상된 경우를 보여드릴까 합니다.
천호동 치과 충치로 인하여 손상된 치아 임플란트로 대처하기
얼마나 손상되었기에
임플란트가 필요했을까요~?
같이 보러 가시죠!!

하부 어금니 손상
아래 치아가 팝콘 먹다가 깨졌다고
도움을 요청하신 환자분입니다.
그 이전에도 몇번 시큰 시큰 하긴 했어요.
시큰 거리셨다니
치아에 이상이 있었겠구나
짐작이 가능했습니다.
입안을 먼저 살펴보았는데요.

230918
치아의 절반 가까이 깨져 나갔네요.
손상된 치아 상태가
육안으로도 거뭇 거뭇한게
충치가 확인되었습니다.
https://blog.naver.com/implant_master/223591527686
지난 시간 깨진 범위에 따라
3단계 치료방법을 안내해드렸는데요.
깨져나간 치아의 치료의 경우
범위에 따라 치료가 결정되기도 하지만
충치 범위에 따라
이 치아를 살릴 수 있을지 없을지를 판단합니다.
x-ray를 한장 더 찍어 보았습니다.

230918
절반을 비교해보았을 때
왼쪽과 오른쪽의 차이
느껴지시나요?
충치가 없는 부위는 하얗게 표시되지만
이가 썩게되면
충치 벌레가 내 치아 속을 다 파먹습니다.
내부가 텅~~비기 때문에
까맣게 보여지게 되는데요.

230918
손상된 치아 부분
이제 눈에 확! 들어오시죠~?
충치가 절반 이상 먹었네요.
뿌리쪽까지 깊게 썩었는데요.
이럴경우는 치료를 하게 되더라도
오래 못씁니다.
천호동 치과에서 치료를 결정할 때는
예후도 중요한 부분인데요.
시간, 비용을 생각하여
천호동 치과에서 발치 후 임플란트 하시기로
상담 진행해드렸습니다.

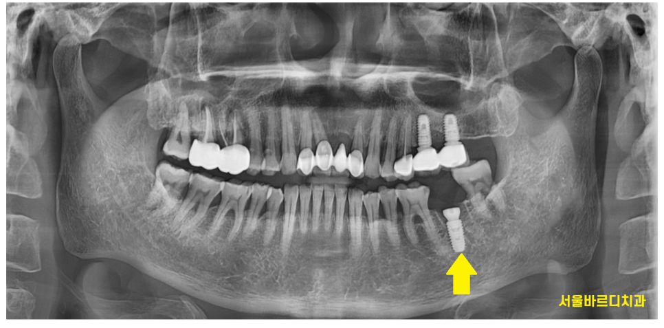
231030
천호동 치과 임플란트 수술 사진입니다.
양 옆 치아와의 간격
임플란트 각도
식립 높이
맘에 듭니다.
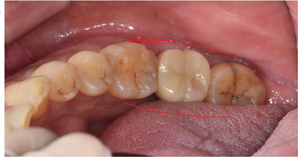
수술만 잘됐다고 되는 것이 아니라
보철까지 제대로 만들어와야
환자분이 편안하게 식사하실 수 있는데요.

240206
보철물을 제작한 모형입니다.
저는 보철을 이렇게 제작해달라 요청드리지만
요청대로 제대로 만들어왔나
제 눈으로 직접 1차 확인합니다.

240202
제작된 보철물이 맘에 안들때는
환자분께 양해를 구하고
재제작합니다.
천호동 치과를 한번 더 오시게 되더라도
잘못 만든 보철물을
끼고 가게 할 수 없죠~
추후 음식물이 낀다거나
반대편 손상된 치아가 생길 수 있기에
예리한 눈으로 제가 직접 모든 보철물을 확인합니다.
오늘 환자분도 원하는대로 제작되지 않아서
재제작을 부탁드렸고
그 결과,,?

240216
제가 원하는 방향으로
수정되어 완성해드렸습니다.
▼천호동 치과 위치 확인▼
치료 결과에 대해
만족감을 드릴 수 있게 노력하고 있습니다.
완벽함을 위해서는
집착 , 닦달하겠습니다
치료를 받고 불만족을 하셨다거나
편안함을 못느끼셨다면
지금 전화기를 들고
예약을 부탁드립니다.
| 예약 전화하러 가기 |
|---|
| 02-481-4278 |
as까지 확실하게 책임져드리는
천호동 치과니까요~
▼영상으로 요약▼
충치로 인하여 손상된 치아 임플란트로
치료한 경우를 말씀드렸습니다.
환자분께서 평소에 가끔 시큰 시큰 하셨다했는데요.
아무 이상이 없다는 것은
자각되는 증상이 없어야합니다.
시큰거림은 무엇인가 문제가 있다!!
미리 미리 점검은 필수입니다.
대표원장 장태현이었습니다!!
| 본 게시물은 의료광고 법 제56조 1항을 준수하여의료 정보 제공 및 병원 홍보 목적으로 서울 바르디 치과에서 직접 작성하였습니다.제공된 정보는 참고만 하실 것을 권유 드리며 증상 파악 및 정확한 관리 방법은 의료기관에 내원 후 의료진을 통해 안내받으시길 바랍니다.치과에서 진행되는 모든 시술 / 수술은 개인에 따라 (염증, 출혈, 부기 등) 가능성이 있습니다.사전에 의료진과 충분한 상담을 통해 결정하시길 바랍니다.게시물의 치료 사례는 실제 본원에서 치료를 마친 환자분들의 동의하에촬영되었으며 전, 후 사진은 동일 조건에서 촬영되었습니다. |
#천호동치과 #천호동임플란트
#손상된치아