안녕하세요!
고덕동 치과 대표원장 장태현입니다.
https://blog.naver.com/implant_master/223597861950
지난 시간에는
치아 검은 점이 있더라도
모두 필요할 필요는 없다~
알려드렸는데요.
고덕동 치과 검진 시 이게 빠지면 말짱 도루묵!!!
오늘은 "x-ray의 중요성"에 대한 글입니다.
뭐가 빠지면 의미가 없는걸까요~?
끝까지 따라와주세요!

충치 검진
눈으로도 충분히 검사가 가능한데
x-ray를 찍는지
생각해보신 적 있으신가요?
고덕동 치과에 처음 오신 분들이나
오랜만에 내원하신분들은
x-ray를 찍어 확인해봅니다.

230620
거울로 보이는 화면들
이렇게 생겼을텐데요
지난 시간 설명드린 정지성 우식도 보이고
이를 씌운 치아도 확인이 되네요~~
겉으로 드러난 부분은 보이지만
볼 수 없는 부분도 있죠~?
잇몸 안쪽 부위 확인이 어렵습니다.

230620
뿌리 쪽 부분은 눈으로 확인이 어렵기 때문에
x-ray를 찍지 않으면
뿌리 염증이라던가
치아 부러짐
잇몸 내려감
볼 수 있는 부분이 한계가 있습니다.
눈으로 보는 검진, 가능은 하다
그렇지만 정확하지 않을 수 있다!!
문제가 있어도
놓칠 수도 있다는 말이죠~
그래서 가끔 직장인 검진에서 이상 없다했는데
충치요..?
이런 경우가 많습니다.
직장인 검진은 눈으로 보다보니
증상이 크지 않는 이상
확인이 어렵거든요~
고덕동 치과 검진을 하러 가셨는데
x-ray 검사를 안하면
검진 한게 말짱 도루묵이 될 수 있다는 말이죠!
x-ray 확인이 꼭 필요할 때

231111
x-ray 촬영은 보험이 되기 때문에
8,000원 정도 합니다.
그래도 육안 검진을 먼저 원하시는 분들은
문제가 발생하면 x-ray를 촬영하는데요.
기존에 떼운 주변으로 충치가 관찰되는 경우
사이에 까맣게 비춰보인다거나
충치가 의심될 때에는 x-ray를 찍어서
정확하게 확인해 보아야합니다!

231111
떼운 부분의 깊이도 확인이 가능하고
충치인지 아닌지 판별할 때
x-ray가 아주 도움이 되기 때문이죠.
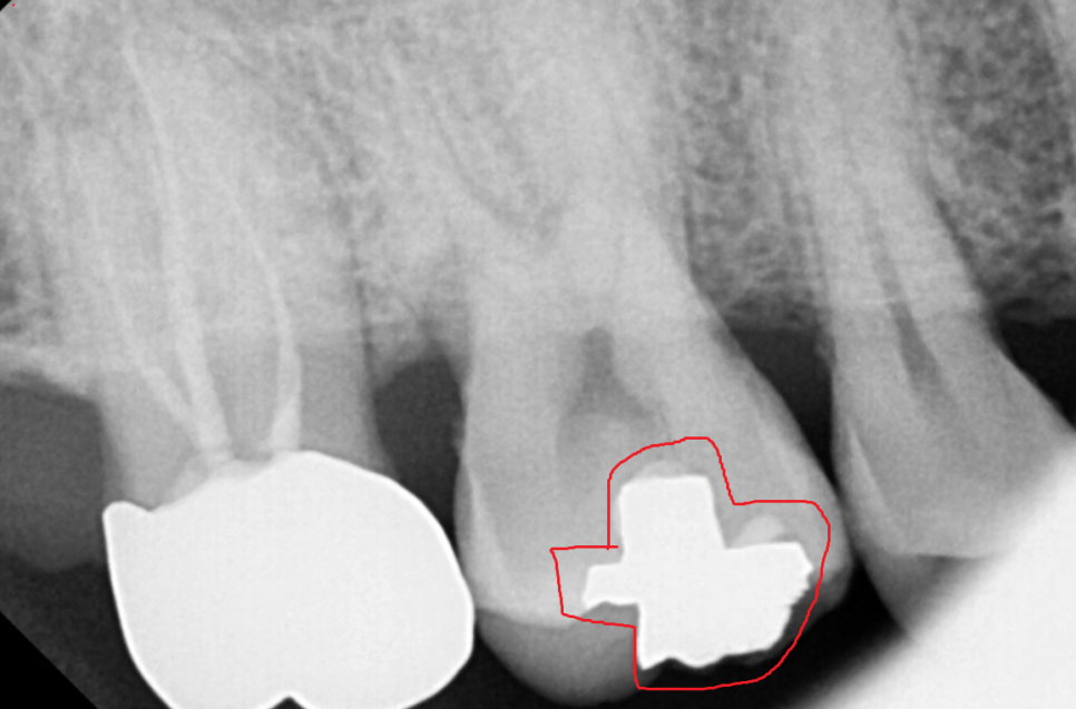
치아는 하얗게 나와야하는데
충치가 생긴 치아의 경우
내부가 텅 비게되어
까맣게 표시됩니다.

240513
위에 사진처럼 말이에요!
x-ray를 많이 찍는 것에 대한
부담감 잘 알고 있습니다.

x-ray는 몸에 유해하다
생각하실텐데요.
치과에서 찍는 방사선의 양은
아주 극소량이라
하루 100장씩
365일 찍어도 안전합니다!!
그러니까 제말은...
정확한 고덕동 치과 검진을 위해서는
x-ray 꼭 필요하다!!
읍소 드리는 글이었습니다.
☎02-481-4278
아주 작은 부분도
놓치고 싶지 않은
저의 욕심
이해해주시고
알아봐주실꺼죠..?
▼고덕동 치과 위치 확인▼
고덕 그라시움에 위치하고 있습니다.
고덕동 주민 분들
치과 도움이 필요하실 때
편하게 "댓글" 남겨주세요!
제 의견이 도움이 되셨으면 좋겠습니다.
| 본 게시물은 의료광고 법 제56조 1항을 준수하여의료 정보 제공 및 병원 홍보 목적으로 서울 바르디 치과에서 직접 작성하였습니다.제공된 정보는 참고만 하실 것을 권유 드리며 증상 파악 및 정확한 관리 방법은 의료기관에 내원 후 의료진을 통해 안내받으시길 바랍니다.치과에서 진행되는 모든 시술 / 수술은 개인에 따라 (염증, 출혈, 부기 등) 가능성이 있습니다.사전에 의료진과 충분한 상담을 통해 결정하시길 바랍니다.게시물의 치료 사례는 실제 본원에서 치료를 마친 환자분들의 동의하에촬영되었으며 전, 후 사진은 동일 조건에서 촬영되었습니다. |
#고덕동치과 #고덕동치과검진