안녕하세요ㅎㅎ
서울바르디치과 대표원장 이주리 원장입니다.
많은 환자분께서 요구하십니다.
원장님, 저도 tv에 나오는 연예인처럼 하얀 치아를 가지고싶어요!!
치과의사이자
통합치의학과전문의로
치아미백치료 연예인 같은 치아 나도 될 수 있을까? 팩폭해드릴께요
3분만 집중해서 읽어주세요

연예인처럼 하얀 치아 , 과연 가능할까?

우리는 TV나 영화에서 반짝이는 하얀 치아를 가진 연예인들을 자주 보게 됩니다.
그리고 거울을 들어 내 치아를 봤는데
어랏..?
내 치아는 왜이렇게 누런거야!!!!!
나도 치아미백치료하면
연예인같은 하얀 치아 될 수 있겠지??
생각하실텐데요.
치아미백치료로 연예인처럼 하얀 치아를 갖기는 쉽지 않습니다.
미백이 아닌 "보철"이기 때문입니다.
라미네이트나 크라운 치료와 같은 보철이요.
애초에 치료 자체가 다른거죠~
미용실에 가서 예쁜 머리 사진을 보여주면
손님, 이건 파마가 아니라 고데기에요!
라는 답을 얻는 것과 비슷합니다.
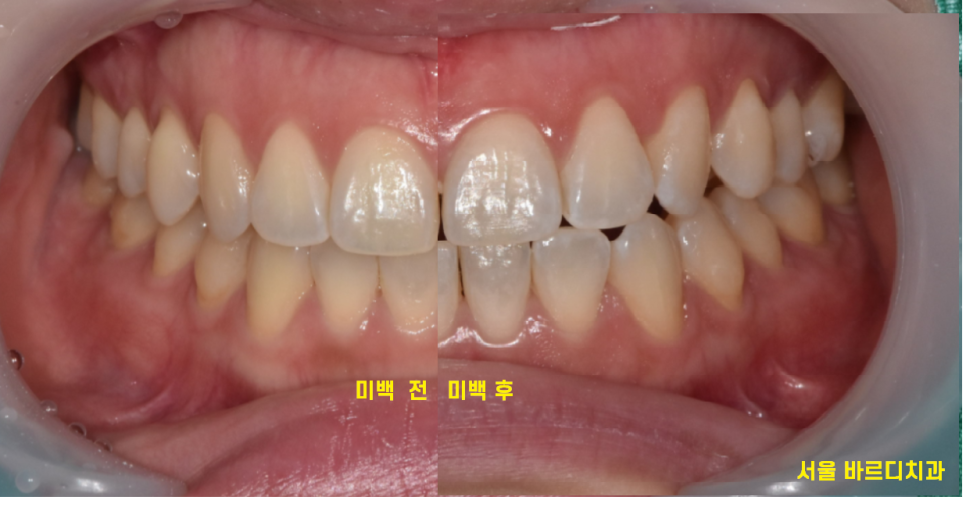
먼저 치아미백치료가 무엇인지 아셔야합니다.
치아 미백이란 ?

240618
머리 염색과 비슷합니다.
치아 색상을 밝게 만들어주는 치료인데요.
https://blog.naver.com/implant_master/223417722626
미백에는 두가지 종류가 있는데
서울 바르디치과에서는 병원에 직접 오셔야
미백치료가 가능합니다.
이것을 전문가 치아미백이라하는데
예전 미백 글을 참고해주세요!
어쨋든 머리 염색과 비슷하다고 말씀드렸죠~?
염색도 시간이 지나면 색깔이 빠지기 때문에
보색 샴푸를 사용하고
새로운 머리카락이 자라나면
뿌리 염색을 계속 해야합니다.
치아 미백도 같아요.
한계가 분명히 있다는 것입니다.
치아 색상 자체를 바꿔주지 못합니다.
일시적으로 하얗게 염색해주는 효과인 것이지
시간이 지나면 본연의 색깔로 돌아오게됩니다.
특히나 카레, 커피와 같이
착색이 심한 음식을 먹게 되면 더 빨리요!!
때문에 보색 샴푸를 사용해
최대한 염색 물이 빠지지 않게 관리하듯
치아 역시 관리가 필요합니다!

작고 귀여운 미백 기기 ㅎㅎ
한줄 결론
한계를 인정하고 치료를 시작해야한다!!
많은 분들이 미백에 대한 환상을 가지고 계십니다.
미백 치료만 하면 연예인 같은 치아가 될 수 있을꺼라고요.
그렇지만 지나친 기대는 독이 된답니다ㅠㅠ
미백 결과에 만족스럽지 못하실 수 있어요

그렇지만 서울 바르디치과에 오셔서
미백 치료를 받는다면
제가 직접 상담해드립니다.
연예인 같은 치아는 어렵지만
어디까지 밝아질 수 있을지 충분한 상담
그리고 결과물에 대하여도
직접 눈으로 확인하여
불만족스러우신 부분에 대한
리터치 해드릴꺼에요~~
염색도 어떤 사람은 잘먹고
어떤 분들은 머리카락이 두꺼워
색깔이 안나오는 것처럼
치아도 똑같거든요~~
환자분들에따라 가지고 있는 치아 환경이 다르기에
원하는 목표치가 안나오면
근접하게 해드려야하니까요.
| 치아 염색 미백치료 상담하러가기 |
|---|
| 02-481-4278 (전화 연결) |
미백치료는 최소 30분에서 1시간 가까이 걸립니다.
순전히 약을 도포하고 기다리는 시간만요.
상담까지 진행하려면 여유 있는 날짜에 오셔야해요~
갑자기 아, 나 미백하고 싶어!!!
약속 있는데 촉박하게 오시면 안된다는 것!~
알아두시고 오시기 전에 미리 연락 주시고
내원 부탁드립니다!!
| 본 게시물은 의료광고 법 제56조 1항을 준수하여의료 정보 제공 및 병원 홍보 목적으로 서울 바르디 치과에서 직접 작성하였습니다.제공된 정보는 참고만 하실 것을 권유 드리며 증상 파악 및 정확한 관리 방법은 의료기관에 내원 후 의료진을 통해 안내받으시길 바랍니다.치과에서 진행되는 모든 시술 / 수술은 개인에 따라 (염증, 출혈, 부기 등) 가능성이 있습니다.사전에 의료진과 충분한 상담을 통해 결정하시길 바랍니다.게시물의 치료 사례는 실제 본원에서 치료를 마친 환자분들의 동의하에촬영되었으며 전, 후 사진은 동일 조건에서 촬영되었습니다. |
#치아미백치료 #연예인같은치아