안녕하세요?
통합치의학과 전문의
이주리입니다.
사랑니
예쁜 이름과 달리 무시무시한놈인데요.
어떤 곳에서는 사랑니를 뽑아라
그대로 두어라
말이 참~ 많은 친구이기도 해요.
미사 사랑니 뽑아야하나 말아야하나 딱! 정리해드릴께요
그러니까 집!중!

가는 곳마다 뽑아라, 말아라 말이 달라지고
어떤 경우에는 여기서는 못뽑고
큰 병원 가서 뽑아야한다해서
참으로 혼란스러웠죠?
제 생각은...
불편하면 뽑으세요!!!
이게 답이라 생각해요.
사랑니 위치, 모양, 기능 상관없이
환자분에게 불편함을 주는 존재다?
뽑는게 답입니다.
케이스를 보면서 쉽게 설명드릴께요~

230725
누워있는 사랑니
모양은 썩 예쁘게 나지 않았습니다.
뼈를 녹이지도 않고
잇몸 염증을 일으키지 않는 착한 아이라면
굳이 뽑을 필요가 없습니다.
예쁘게 난 사랑니가 아님에도 말이죠.

230701
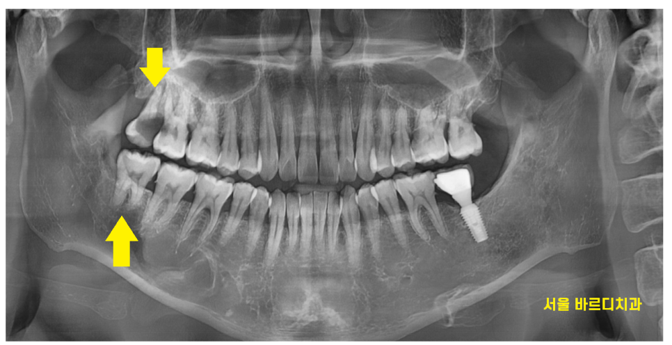
반대로 누워있는 사랑니가
문제를 일으켜 불편하다? 뽑으셔야합니다.
(위에 사진은 사랑니가 뼈 안에 숨어있어요!)
벌어진 잇몸 아래로 음식물이 박혀
냄새가 나고 붓고
앞에 치아에 충치를 일으킬 것 같으면 뽑아야죠~
간혹 이런 사랑니가 큰 병원가서 뽑아야한다
얘기를 듣는데
신경관과 근접해 있어서
신경 손상이 있을 수 있어서 그렇습니다.

230731
이 문제도 CT를 통해 분석을 잘하면
문제가 없어요.
<미사 사랑니 발치 케이스>
https://blog.naver.com/implant_master/223512235606
위의 케이스를 참고해주시고요!
다시 본론으로 돌아와서
예쁘게 올라온 사랑니
씹는 기능도 하고 있다.
그럼 뽑지 말아야할까요?

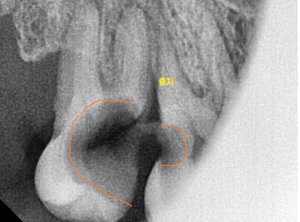
240729
예쁘게 올라오고
아래 치아와 맞닿아서 잘 쓰고 있었지만...

230725
맨 끝~~에 있어서 관리가 잘 안됐다.
충치가 생겼다.
그러면 뽑아야합니다.

240731
앞에 치아까지 충치가 먹어버렸네요..
아무리 예쁘게 올라온 사랑니도
관리가 안되면 이렇게 됩니다.
결론
미사 사랑니 발치 여부는
어떻게 올라왔냐가 중요한 것이 아니다.
불편을 주는 요소면 뽑아야한다.
| 미사 사랑니 상담 하러가기 |
|---|
| 02-481-4278 |
그러니까 제 말은..
누워있다고 묻혀있다고
미리 겁부터 먹지 마세요!
뽑을 필요가 없음 안뽑아도 되니까요~
X-RAY를 찍어보고
뽑아야한다 말아야한다
딱! 말씀드릴께요.
왜 뽑아야하는지 이유까지 같이요~
제 글이 도움이 되셨으면 좋겠습니다.
긴 글 읽어주셔서 감사해요!!
| 본 게시물은 의료광고 법 제56조 1항을 준수하여의료 정보 제공 및 병원 홍보 목적으로 서울 바르디 치과에서 직접 작성하였습니다.제공된 정보는 참고만 하실 것을 권유 드리며 증상 파악 및 정확한 관리 방법은 의료기관에 내원 후 의료진을 통해 안내받으시길 바랍니다.치과에서 진행되는 모든 시술 / 수술은 개인에 따라 (염증, 출혈, 부기 등) 가능성이 있습니다.사전에 의료진과 충분한 상담을 통해 결정하시길 바랍니다.게시물의 치료 사례는 실제 본원에서 치료를 마친 환자분들의 동의하에촬영되었으며 전, 후 사진은 동일 조건에서 촬영되었습니다. |
#미사사랑니