안녕하세요~
서울바르디치과 대표원장 이주리입니다.
"어떤 곳은 골이식을 하라고
어디는 안해도 된다는데... 모르겠어요"
골이식이 뭔지도 잘 모르겠고..
많이 헷갈리셨죠~?
고덕동 임플란트 골이식 필수일까? 궁금증 여기 모두 있어요
오늘 여러분들이 가장 많이 질문하시는
치조골 이식과 관련된 답변을 준비해보았습니다.

치과 골 이식이 뭔가요?
임플란트 상담에서 골 이식과 관련된 이야기를 들어보셨을겁니다.
내 몸에 이식하는 거라 성분도 중요할꺼같고..
꼭 해야하나 싶기도 하고
마음이 복잡하셨을텐데요.
"뼈 이식" 이라고도 불리는 이 치료는
임플란트 성공을 결정하는 중요한 절차 중 하나입니다.
그렇지만 중요한 것은!!
모든 경우에 필수적이지는 않다.
그 말은 사람마다 할 수도 있고
안할 수도 있다는 거죠~?
그럼 어떨 때 필요할까요??
우선 골骨
뼈를 뜻합니다.
임플란트는 턱 뼈에 심는것인데요.
어떤 경우든 치아가 상실되고 나면
뼈가 자연스럽게 줄어들거나 흡수된답니다.
회복 되는 과정에서 기존 보다 더 늘어나지는 않아요~
특히나 염증이 심했던 경우에는요!

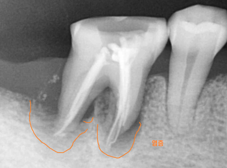
231213
해당 환자분은 뿌리 끝에 염증이 생기셨는데요~
때문에 뼈가 많이 녹아있는 상태였습니다.

231213
문제의 치아를 발치했을 때에도
육아조직
그러니까 염증 덩어리들이 잔뜩 나와서
깨끗하게 소파했습니다.
한번 손상 입은 곳은
아무리 깨끗하게 염증을 제거해도
잘 채워지지가 않아요
염증으로 인해 발치 후
임플란트 시술 시에는 골이식을 해야할 가능성이 높아집니다!
다른 치과에서는 안해도 된다는데..
병원마다 진단은 달라질 수 있기에
안해도 될 수도 있습니다.
틀린 말은 아니에요~

231213
최근에는 기술의 발전으로 뼈를 자세히 분석이 가능하지만
사실 x-ray 상에서는 정확하지 않습니다.
잇몸을 열어 눈으로 직접 보기 전까지는요!!
그러다보니 관점에 따라 병원마다 얘기가 달라질 수 있어요
잇몸 안쪽에 염증이 심할 수도 있고
뼈의 밀도
예를들어 푸석 푸석한 뼈라던가
너무 딱딱한 뼈는 예측이 어렵거든요ㅠㅠ
추측은 할 수 있지만
언제나 예외는 존재하기에,,
병원마다 말이 달라
환자분들을 혼란에 빠지게 할 수 있는데요
중요한 것은 서울바르디치과에서는
고덕동 임플란트 수술 시 불필요한 것을 권유드리지 않습니다!!
진단이 다른 경우
최소 3군데 치과에서 진료를 받아보시길 추천드립니다.
저희 병원에 오지 않으셔도 좋지만
의견 대립이 있을 경우에는
다양한 의견을 들어보시고
신뢰가 가는 병원을 선택하세요!

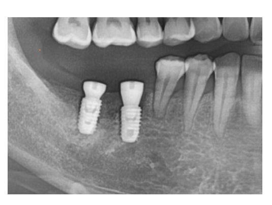
231213
뼈가 군데 군데 부족하여도
수술은 가능합니다!
다만 예후에 영향을 끼칠 수 있는데요.
위의 사진속 뼈 음영 색깔이 다른게 느껴지시나요?

231213
임플란트는 심었지만
주황색 선 위쪽으로는 뼈가 충분하지 않아요~
뼈가 충분한 아래쪽은 밀도가 높아 좀 더 하얀색이죠~?

231213
골 이식은 수술 시에만 가능하고
추후 임플란트가 심겨지고 나서는
잇몸을 열어서 골을 추가할 수 없거든요~
할때 제대로 심기 위해
꼭 필요할때만 권유해드려요!!
골 이식의 종류는요?
뼈 종류가 무엇인지 많이들 궁금해하세요~
아무래도 내 몸에 들어가는거다보니
신중해질 수 밖에 없죠!
유기농 성분이 더 비싼 이유도
몸에 좋기 때문이잖아요~
고덕동 임플란트 시술 시 사용하는 뼈는
합성골 , 내 뼈, 타인의 뼈
3가지 종류를 사용합니다.
경우에 따라 사용해야하는 뼈 종류는 달라져요.

아참, 타인의 뼈나 합성골에 대해
거부감을 많이 느끼시는데요.
수술에 사용하는 모든 재료는 멸균 상태로 나오기 때문에
균이 없습니다!
때로는 내 뼈를 채취해 이식하는 것보다
통증도 비용도
효과도 뛰어나요!
결론
고덕동 임플란트 수술 시 골 이식은 환자분 개별적인 상황에 따라 달라진다!
골 이식 유무도, 뼈의 종류도 천차만별이니까..
전문가와의 상담은 필수입니다!!!
https://blog.naver.com/implant_master/223496618245
위 환자분 케이스처럼
뼈 이식 없이 해결한 경우도 많으니
병원에 내원하셔서 상담 받아보시길 바랍니다!!
긴 글 읽어주셔서 감사해요.
도움이 되셨다면 좋아요 부탁드려요~~
| 본 게시물은 의료광고 법 제56조 1항을 준수하여의료 정보 제공 및 병원 홍보 목적으로 서울 바르디 치과에서 직접 작성하였습니다.제공된 정보는 참고만 하실 것을 권유 드리며 증상 파악 및 정확한 관리 방법은 의료기관에 내원 후 의료진을 통해 안내받으시길 바랍니다.치과에서 진행되는 모든 시술 / 수술은 개인에 따라 (염증, 출혈, 부기 등) 가능성이 있습니다.사전에 의료진과 충분한 상담을 통해 결정하시길 바랍니다.게시물의 치료 사례는 실제 본원에서 치료를 마친 환자분들의 동의하에촬영되었으며 전, 후 사진은 동일 조건에서 촬영되었습니다. |
#고덕동임플란트 #골이식