안녕하세요~
서울 바르디치과 대표원장 장태현입니다.
오랫동안 틀니 썼는데..
이제 그만 쓰고 싶어요
임플란트 가능할까요??
틀니 쓴지 워낙 오래되었다고
나이도 많고.. 전체 임플란트 가능하냐 물어보셨는데요.
앞으로 2탄에 걸쳐서
감동적인 스토리를 전달해드리겠습니다.
틀니 쓰다가 임플란트 어려움은 ? 높이를 높여주는게 킥!!!
집중해주세요!!

경제적인 이유로
다수의 치아가 상실했을 때 쉽게 접근 할 수 있는게 틀니였던
a 할아버지
죽기전에 딱딱한것좀 씹어 보고 싶으시다며
서울바르디치과를 찾아와주셨습니다.

231031
윗니는 치아가 1개도 없는 상태로
"완전 틀니"를 사용하고 계셨습니다.
하나부터 열끝까지 내 치아 말고 가짜이로 살고 계셨다는거죠~
틀니 쓰다가 임플란트 교체할 때 어려움은
교합이 무너진 것을 얼마나 회복시켜주냐에 달려있습니다.
이게 킥이에요~~
물론 잇몸뼈 흡수가 일어나 임플란트 식립할 부분의
뼈를 찾는것도 문제이지만
틀니를 오래 사용한 경우 교합 고경이 무너진 경우가 많아
이게 더 큰 문제입니다.
이걸 회복 시켜주지 않으면
임플란트 심을 공간도 없거든요~
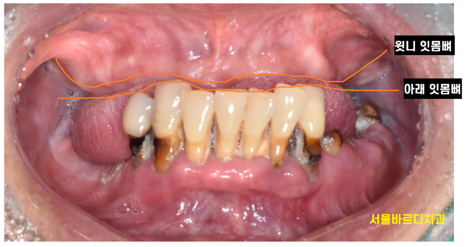
교합고경이 뭔지 사진 한장으로 설명드릴께요~

231031
교합 = 앙 다물었을 때 상태
고경 = 수직 높이
위아래 치아를 물었을 때 위턱과 아래턱 사이의 거리를 뜻합니다.
교합고경이 무너진다는 것은
높이가 안나온다는것인데요.
오늘 환자분도 위아래 높이가 거의 차이가 없었습니다.

231031
틀니를 안껴도
아래 치아가 위에 잇몸에 닿고 있었거든요~
이 교합고경을 잘 맞춰주지 않으면
저작이 불편하고 턱관절 문제는 계속
치아 손상이 발생할 수 있습니다.
틀니 쓰다가 임플란트 식립할 때
이 높이를 얼마나 회복해주는지가
앞으로 치료방향을 결정해준다 말할 정도니까요~

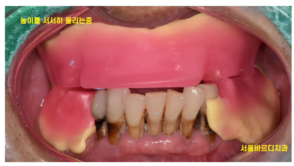
231103
해당 환자분도 임플란트를 무작정 심기보다
높이를 먼저 올려 적응하는 단계를 가졌습니다.
그동안은 임시틀니를 사용하시면서 지냈는데요.
틀니에서 임플란트로 전환할 때 환자들이 적응하는 데 시간이 걸려요ㅠㅠ
윗니와 아랫니가 닿던거를 높여버리니
씹는 느낌도 달라지고
발음도 잘 안된다고 해주시거든요
충분한 적응기간을 거친 후에
임플란트 식립을 진행하게됩니다.
결론
-
틀니를 오래쓰다보면 높이가 무너져 회복하는 것이 킥이다
-
흡수된 잇몸뼈를 찾는건 그 다음 문제이다.
▼다음 글 예고 ▼

240904
같은 분이라는 게 느껴지시나요??
다음번에는 전악 임플란트로 치료해드린 이야기를 해드릴겁니다.
10년동안 틀니를 쓰셨어도
임플란트 수술이 가능한 이곳은..?
▼서울 바르디치과▼
<틀니가 안된다 들었던 환자분 케이스>
https://blog.naver.com/implant_master/223477459850
대표원장 장태현이었습니다.
궁금하신 부분은 언제든지 "댓글" 달아주세요!
환자분들의 고민도 남겨주시면
상담 도와드릴께요~~~!!
| 본 게시물은 의료광고 법 제56조 1항을 준수하여의료 정보 제공 및 병원 홍보 목적으로 서울 바르디 치과에서 직접 작성하였습니다.제공된 정보는 참고만 하실 것을 권유 드리며 증상 파악 및 정확한 관리 방법은 의료기관에 내원 후 의료진을 통해 안내받으시길 바랍니다.치과에서 진행되는 모든 시술 / 수술은 개인에 따라 (염증, 출혈, 부기 등) 가능성이 있습니다.사전에 의료진과 충분한 상담을 통해 결정하시길 바랍니다.게시물의 치료 사례는 실제 본원에서 치료를 마친 환자분들의 동의하에촬영되었으며 전, 후 사진은 동일 조건에서 촬영되었습니다. |
#틀니쓰다가임플란트