안녕하세요!
바르고 정직한 진료를 시행하는
서울바르디치과 장태현 원장입니다.
지난 시간 1편에 이어서
https://blog.naver.com/implant_master/223621857868
오늘은 2편입니다.
실제로 수술하고 완성한 이야기를 들고왔습니다.
고덕역 치과 틀니쓰다 위아래 전악 임플란트 재건했습니다.
꽤 공들인 환자분 이야기 시작~!

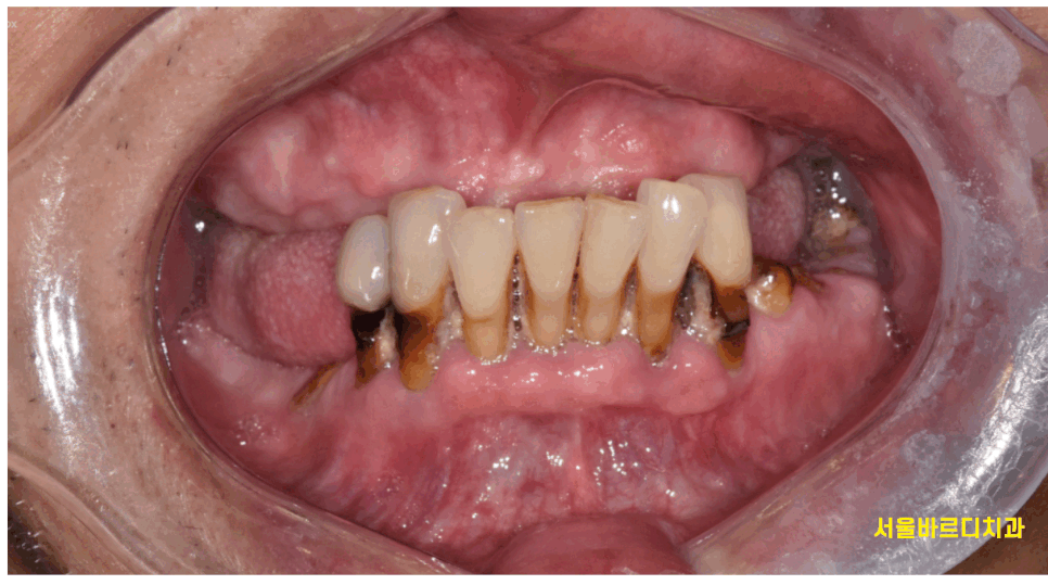
틀니 이제 지긋지긋해요
고덕역 치과를 찾아오신 a 할아버지
10년동안 틀니를 쓰셨답니다.
이젠 잘 맞지도 않고
치과에는 이골이 나서 한동안 발길을 끊으셨답니다.

231109
아래 어금니는 빠진채로
그냥 방치해두셨다는데요.
그나마 남아 있는 앞니는 충치로 가득
죽기전에 임플란트란거
나도 해보고 싶다고
고덕역 치과 찾아와주셨는데요.

231031
위아래 전악 임플란트를 하려면
여러가지 조건이 맞아야합니다.
-
환자분의 예산
-
남아있는 뼈가 충분한지
-
치료 기간이 여유있는지
-
드시는 약은 없는지
...
1년 가까이 치료가 진행되어야한다는 점에서
환자분과 충분한 상담을 진행했습니다.
환자분, 치료를 받는동안은 식사도 어렵고
발음도 잘 안될 수 있습니다.
몇번씩 치과를 방문해야하고요.
환자분은 약속된 날짜에 꼬박꼬박 와주시면
제가 최선을 다해 도와드릴 수 있습니다.
힘든 과정을 거치면
틀니의 불편함 해소도 되실꺼고요


231031
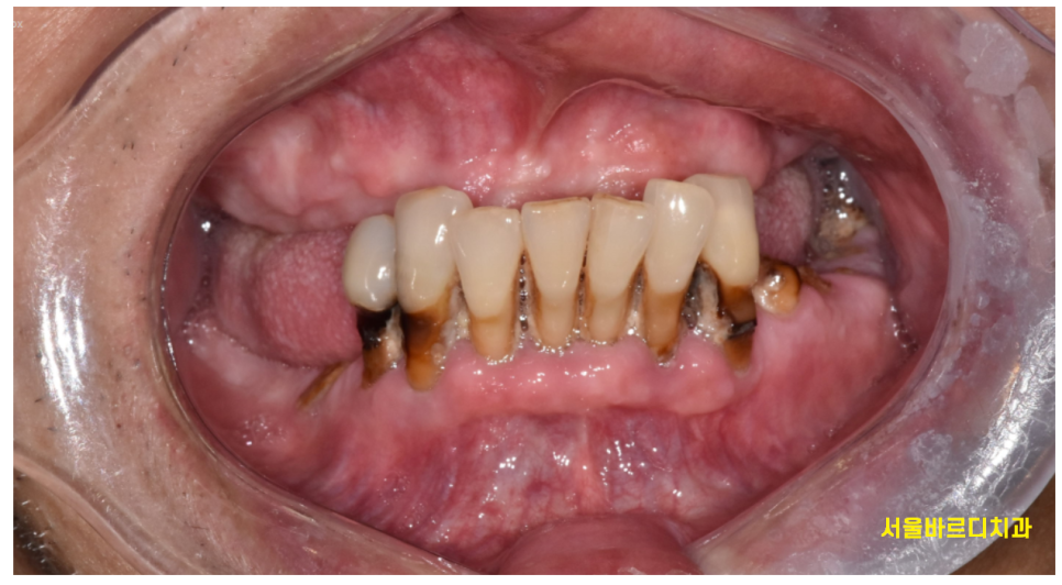
틀니를 10년 가까이 써서
뼈가 많이 흡수되었는데요.
아래 임플란트는 문제 없었지만
윗니 어금니는 ct를 통해 남아있는 뼈를
분석하였습니다.
대망의 수술날
https://blog.naver.com/implant_master/223617630131
디지털 임플란트 기술을 활용
미리 모형도 제작하여
당일 한번에 위아래 전악 임플란트를 식립하기로 하였습니다.

수술 당일 사진입니다 하핳 231109
왜 위아래 한번에 수술하나요?
죽는거 아닌가 모르겠네
환자분께서 걱정을 하셨습니다.
수술하면 피도 많이 나고 할꺼고
전악 수술이면 몇시간씩 하는거 아니냐고 ..
물론 나눠서 할 수 있죠~
현재 식사가 오른쪽 , 왼쪽 두개 다 안되시는 상황이고
수술을 나눠서 하면
치료 기간이 더 길어질 수 있어서
하루에 위아래 전악 임플란트를 심어
전체 치료 기간을 줄여드리기 위한 작업임을 말씀 드렸습니다.
고덕동 치과에서는 최소 절개로 하기 때문에
큰 무리 없이 가능하다 상담
수술은 하루에 전악이 이루어졌습니다.

231109
미리 네비게이션 기술을 활용하여
수술 식립 각도, 사이즈를 분석했습니다.
잇몸 절개를 꼭 필요한 부위만 진행
출혈, 붓기를 감소시킬 수 있었고
실제 수술 시간은 1시간이 조금 넘어 끝났습니다.
수술 후 골유착이되는 5개월 동안은
임시틀니를 만들어 드렸는데요.

240513
5개월 동안 무너진 교합도 높이고
충분히 임플란트가 붙을때까지 기다려 주었습니다.

240405
5개월 뒤 2차 수술을 진행했습니다
간단히 말해 골 유착을 위해 잇몸 안에 묻어두었다면
뽄 뜰 준비를 하는 겁니다.

240507
뼈 안에 묻혀있는 임플란트와
잇몸 밖에 나사를 연결하여
기둥 뽄을 먼저 떴습니다.

240524
일반적으로는 기둥 + 머리를 한번에 만들지만
위아래 전악 임플란트라
천천히 진행했는데요.
보철물을 바로 제작하기 보다
임시치아로 2주정도 사용할 수 있게 하였습니다.

이게 임시치아인데요.
나쁘지 않죠~?
이가 없다가 갑자기 들어가게 되면
턱도 놀라고
발음도 잘 안될 수 있습니다.
2주정도 임시치아를 사용해 보시면서 감도 익히시고
보철물의 모양이라던가 색깔 , 높이
환자분과 디테일한 부분들을 상의했습니다.
임시치아 상태에서
씹는게 낯설다고 표현하셨던 환자분이 기억납니다
틀니가 안맞아서
이가 없어서
계속 죽같은 것만 드시다
딱딱딱 치아끼리 부딪히는게 얼마만인지 모르시겠다고요~
임시치아로 씹는 것을 적응좀 하시고
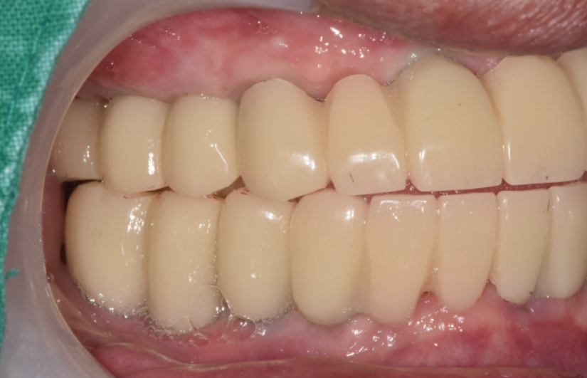
그 뒤에 보철물을 붙여드렸는데요.


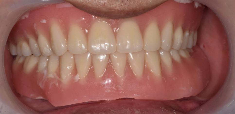
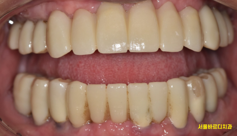
240904
짜잔~~
치료가 끝난 모습입니다.
약 9개월동안 치료를 진행하였네요.
1년은 안걸렸지만
계절이 3번이 바뀔동안
치과를 몇번이나 와주시고
약속 한번 어기지 않은 환자분께 감사함을 표합니다.
3개월 뒤에 다시 뵙기로 했는데
식사 잘 하시고
얼굴살 통통하게 차오른채로
오셨으면 좋겠네요 ㅎㅎ
<고덕역 치과 위치>
저는 월요일을 제외하고
고덕역 치과를 지키고 있습니다.
언제든 저를 찾아와주세요.
간단한 치료라도
시간이 오래걸리는 풀 케이스도
환자분에 꼭 맞는 진료를 진행하겠습니다~~
긴 글 읽어주셔서 감사합니다!!
| 본 게시물은 의료광고 법 제56조 1항을 준수하여의료 정보 제공 및 병원 홍보 목적으로 서울 바르디 치과에서 직접 작성하였습니다.제공된 정보는 참고만 하실 것을 권유 드리며 증상 파악 및 정확한 관리 방법은 의료기관에 내원 후 의료진을 통해 안내받으시길 바랍니다.치과에서 진행되는 모든 시술 / 수술은 개인에 따라 (염증, 출혈, 부기 등) 가능성이 있습니다.사전에 의료진과 충분한 상담을 통해 결정하시길 바랍니다.게시물의 치료 사례는 실제 본원에서 치료를 마친 환자분들의 동의하에촬영되었으며 전, 후 사진은 동일 조건에서 촬영되었습니다. |
#고덕역치과 #위아래전악임플란트