안녕하세요!
서울바르디치과 장태현 원장입니다.
https://blog.naver.com/implant_master/223440607543
예전에 임플란트를 꼭 안해도 되는 경우에 대하여
말씀 드린적이 있습니다.
경제적인 상황으로 안하시다가
막상 씹는 힘이 잘 안가져서
나중에 하러오시는 분들이 종종 있는데요
오늘 환자분도 이 경우에 해당합니다!

내원 이유 : 잘 안씹혀요, 보험 되는거죠?

230622
오른쪽은 치아 개수가 모두 있는 환자분
왼쪽은 위 아래 어금니 1개씩 사이좋게 없었습니다.
치아가 개수가 부족하다보니
잘 안씹히는 거 같다고
보험 임플란트 혜택을 받을 수 있게 되자마자
오셨다고 하셨는데요.
만 65세 생일이 지나면
2개까지는 30% 비용만 내시면
되시기에 금액적으로 확! 부담이 줄어들거든요~

230622
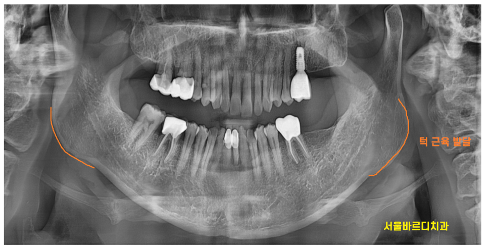
환자분이 턱 뼈가 발달된 것을 보니
씹는 힘이 좋으신 환자분입니다~
위 아래 어금니 2개 없다고
씹는게 크게 달라지겠어? 생각하실 수도 있겠지만
간혹 그 미세한 힘의 균형 차이를 느끼는 분들이 있답니다

230622
큰 어금니1개가 없다보니
나머지 치아가 일을 더 많이하게되니까요
어쨋든...
보험 임플란트 혜택도 가능한데
안 할 이유가 없죠~?
본래 개수대로 수복해드리기로 상담해드렸습니다.

230622
ct를 찍어 분석해보았습니다.
턱 뼈 상태는 아주 굿이었는데요.
뼈 이식을 안하고 그냥 심어도 되는 상태였습니다.
강동구 임플란트 식립 한번에 위, 아래 심는다고
계획을 말씀드렸는데요.
그게 가능해요??
따로 따로 해야 하는거 아닌가해서
크라운 치료같은 것도
하루에 위 아래 어금니 같이 할 수 있는데
임플란트라고 못할껀 없죠
위 아래 어금니 임플란트 동시에 하는 이유
-
치료 기간이 대폭 감소된다.
-
수술에 대한 부담감 줄이기
-
고생도 한번에
윗니 임플란트 1개 심고 실밥 제거하고
이제 아물만 한데
아래 치아를 또 수술하면
환자분 입장에서는 힘들죠~
아무리 부위가 다르다해도
결국 마취도 2번
강동구 임플란트 수술도 2번씩 하는거니까요

230804
아무는 기간을 기다리고
수술하고 또 골유착되는데 기다리고 하는데
치료 기간이 딜레이 되기때문에
굳이 나눠서해야할 이유가 없습니다.
특히 환자분처럼 같은 쪽인 경우에는
식사할 수 있는 반대편이 존재하기 때문에 더더욱요.

231227
임플란트 개수가 추가된다하여
수술 시간이 늘어나는 것은 아닙니다.
때문에 위 아래 어금니 임플란트
동시에 진행하는 것에 대하여
너무 부담감을 느끼지 마세요~

231227
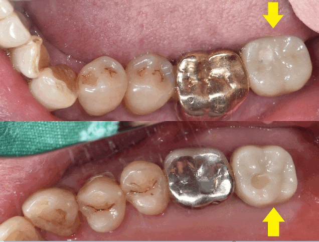
없었던 큰 어금니 1개
보험 임플란트 덕분에 회복했습니다.
크기가 큰 놈이 두개나 더 생겼으니
오른쪽, 왼쪽 대칭감있게
이제 식사하시면 되겠네요~
늘 강조드리고 싶은 말씀은
양쪽 균형이 중요하다는 얘기입니다.
어금니가 1-2개 없어도 살 수는 있지만
대칭이 무너져서
어느 한쪽이 일을 더 많이하게됩니다.
교정으로 인해 발치를 할 때도 1개만 뽑진 않거든요~
장기적인 관점에서는 치아에 악영향이기 때문에
짝짝꿍을 맞춰주는 것을 추천드릴께요.
긴 글 읽어주셔서 감사합니다!!
<강동구 임플란트 병원 위치>
<강동구 임플란트 케이스 다시보기>
| 본 게시물은 의료광고 법 제56조 1항을 준수하여의료 정보 제공 및 병원 홍보 목적으로 서울 바르디 치과에서 직접 작성하였습니다.제공된 정보는 참고만 하실 것을 권유 드리며 증상 파악 및 정확한 관리 방법은 의료기관에 내원 후 의료진을 통해 안내받으시길 바랍니다.치과에서 진행되는 모든 시술 / 수술은 개인에 따라 (염증, 출혈, 부기 등) 가능성이 있습니다.사전에 의료진과 충분한 상담을 통해 결정하시길 바랍니다.게시물의 치료 사례는 실제 본원에서 치료를 마친 환자분들의 동의하에촬영되었으며 전, 후 사진은 동일 조건에서 촬영되었습니다. |
#강동구임플란트 #위아래어금니