안녕하세요!
통합치의학과 전문의
서울바르디치과 장태현 원장입니다.
임플란트 2차 수술 과정 아직도 안끝났어요?
죄송합니다!!
임플란트 치료 도중에 환자분들께 죄송합니다~를 외쳐야하는 순간
바로 임플란트 2차 수술을 할 때인데요
"머리 끼워주는줄 알았는데..."
환자분들의 실망한 모습도 보이고ㅠㅠ
전 빨리 끝내드리고 싶은 죄송한 마음도 들고
참 어렵습니다.
오늘은 임플란트 2차 수술 과정에 대해
설명 드릴께요~


임플란트 2차 수술이란?
https://blog.naver.com/implant_master/223631715498
지난 시간 잠깐! 언급해드렸지만
어라..?
나는 뚜껑이 없는데? 생각하신 분들 있으시죠?
뼈 상태에 따라서
임플란트 뚜껑이 없을 수도 있습니다.
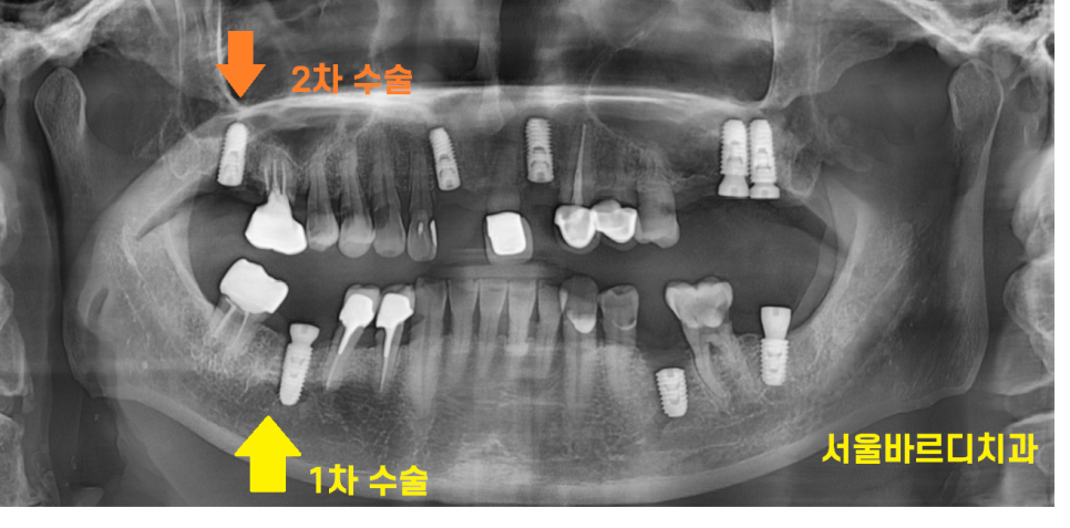
먼저 x-ray 한장을 보실께요~

240223
위의 사진을 보시면 아시겠지만
뚜껑이 있는게 있고
없는게 있죠~?
뚜껑이 있는 것은 1차 수술법으로 치료
뚜껑이 없는 것이 임플란트 2차 수술이 필요한 것들입니다.
똑같이 임플란트 수술을 하되,
(심긴 심었습니다.)
임플란트 뚜껑을 한번 더 연결해주는
수술을 해야하는 것이 2차 수술입니다.
- 2차 수술의 필요성
"원장님, 왜 두번씩 수술해요?
처음부터 뚜껑을 끼우면 되는거 아닌가요?"
저도 그러고 싶습니다..ㅠ
대부분의 경우 1차 수술로 끝내려고 하지만
2차 수술이 꼭 필요한 환자분들이 계세요
뼈가 너무 없어 임플란트 초기 고정이 안나올경우
잇몸을 덮어 묻어둡니다.
잇몸은 아무래도 음식물 섭취를 통해
양치질도 해야하고 외부 자극이 계속 됩니다.
때문에 감염이 될 수도 있고
가뜩이나 뼈와 고정이 잘 안되어 불안한 임플란트가
치유가 더디게 되거나
정말 최악의 경우 빠질 수 있거든요~

231109
또한 임플란트 치료가 끝날 때까지
임시 틀니를 쓰셔야하는 전악 임플란트 환자분
앞니 임플란트 수술 환자분들은 2차 수술법으로 진행합니다.
임플란트 2차 수술 과정

뼈 안에 임플란트는 심어져 있고
임플란트 위에 "커버스크류" 라는 재료를 끼워둡니다.
이 커버스크류라는 재료를
잇몸 밖으로 꺼내는 것이 2차 수술인데
꺼내고 나면 이런 모습이에요!

240416
작은 기둥을 연결하는 것이 임플란트 2차 수술 과정입니다.
또 수술을 해야하니 마취 하나요 아픈가요?
궁금한게 많으실텐데요~
임플란트 2차 수술 과정을 자세히 적어봤어요!
- 수술 전 준비
치과에서 사전 검진을 받습니다.
엑스레이 촬영 등을 통해 임플란트와 뼈의 결합 상태를 확인하고
때가 되었다! 하면 2차 수술을 진행합니다.
- 마취
너무 죄송하지만 국소 마취를 진행합니다..
잇몸을 살짝 절개해야하기 때문이에요~
이때 통증을 최소화하기 위해 무통마취기나 마취 연고를 발라드려요!!
- 힐링 (뚜껑) 장착
. 마취가 완료되면, 잇몸을 절개하여 커버스크류를 제거합니다.
소독하고 힐링 (뚜껑)을 연결합니다.
- 필요 시 꼬맵니다.
이 과정에서 잇몸 상태를 확인하고,
절개 부위가 크면 꼬맬 수 있어요~
뚜껑을 연결할 정도만 잇몸을 절개하므로
절개 부위가 크지는 않습니다.
때문에 꼬매지 않을 경우도 있는데
상황에따라서 꼬매는게 잇몸이 잘 아물꺼 같으면
꼬맵니다!
"약은 먹어야하나요??
네!
잇몸을 열어야하기 때문에
감염 예방을 위해 약처방은 해드립니다~
임플란트 2차 수술 과정 이후는요?

241019
똑같아요~
1-2주 정도 잇몸이 회복되는 시간을 가지고
힐링 (뚜껑)을 제외해주고
뽄을 뜰 준비를 합니다.
드디어 머리를 만들 준비를 하는거죠~
기둥을 연결해준 뒤 임플란트 머리 뽄을 뜹니다.
결론
임플란트 2차 수술 과정은 중간에 하나가 더 추가된다! 라고 생각하시면 됩니다.
성공적인 임플란트 수술을 위해
잇몸 안에 묻어두는 것이므로
시간이 걸리고
마취를 한번 더 하더라도 양해해주세요~!
임플란트 치료에 대한 추가적인 질문이나 상담이 필요하시면
언제든지 치과에 문의해 주세요!
| 궁금한거 물어보러가기 |
|---|
| 02-481-4278 (바로 연결) |
추가적으로..
임플란트 1차 수술로 진행하냐
2번 하는 방법으로 하냐
이것은 수술 방법이기 때문에
의료진에 의해 결정됩니다.
수술 시 정확하게 결정 될 수 있어요~
무리하게 뚜껑을 끼웠다가
수술을 다시 하실 수 있어서ㅠㅠ
저를 믿고 맡겨주시면 감사하겠습니다.
신뢰감을 드릴 수 있도록
저 역시 노력할께요~!
| 본 게시물은 의료광고 법 제56조 1항을 준수하여의료 정보 제공 및 병원 홍보 목적으로 서울 바르디 치과에서 직접 작성하였습니다.제공된 정보는 참고만 하실 것을 권유 드리며 증상 파악 및 정확한 관리 방법은 의료기관에 내원 후 의료진을 통해 안내받으시길 바랍니다.치과에서 진행되는 모든 시술 / 수술은 개인에 따라 (염증, 출혈, 부기 등) 가능성이 있습니다.사전에 의료진과 충분한 상담을 통해 결정하시길 바랍니다.게시물의 치료 사례는 실제 본원에서 치료를 마친 환자분들의 동의하에촬영되었으며 전, 후 사진은 동일 조건에서 촬영되었습니다. |
#임플란트2차수술 #임플란트2차수술과정